Mitä ikenien vetäytyminen on ja miksi sitä tapahtuu?


Kirjoittanut ja tarkastanut hammaslääkäri Vanesa Evangelina Buffa
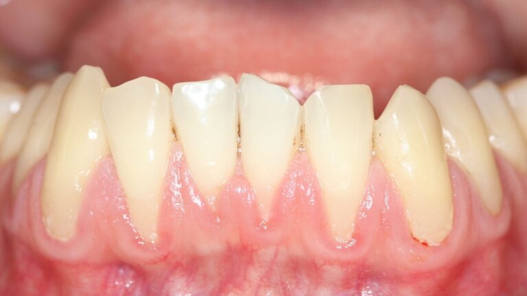
Jotkut ihmiset toteavat peiliin katsoessaan, että heidän hampaansa ovat normaalia pidemmät. He saattavat myös huomata, että hampaiden vaaleanpunainen kudos näyttää ohuemmalta. On todennäköistä, että kyseessä on ikenien vetäytyminen.
Tämä tila voi esteettisten seurausten lisäksi vaikuttaa suun normaaliin toimintaan. Siksi on tärkeää puuttua siihen ajoissa hammaslääkärin avulla.
Mitä ikenien vetäytyminen tarkoittaa?
Ienkudos on pehmeä, kiinteä ja vaaleanpunainen osa, joka ympäröi hampaita. Toisin sanoen se peittää hampaiden juuret, joita emme normaalioloissa näe.
Ienkudoksen tehtävänä on suojata luuta ja hampaan juurta. Se myös antaa hampaille lujuutta, jotta ne pysyvät paikoillaan.
Voimme puhua ikenien vetäytymisestä, kun tämä kudos on siirtynyt, jolloin juuret alkavat tulla näkyviin. Vuonna 2015 julkaistun tieteellisen julkaisun mukaan tila paljastaa hammassementin ja kiilteen välisen sidoksen.
Tämä aiheuttaa “pidempien hampaiden” vaikutuksen. Todellisuudessa jokaisen hampaan mitat ovat samat, vain nyt pystymme havaitsemaan osan, jonka pitäisi olla ikenien alla.
Lue tämäkin: Uusi TikTok-haaste vaarantaa hampaiden terveyden
Mitä ongelmia ikenien vetäytyminen aiheuttaa?
Sen lisäksi, että ikenien vetäytyminen vaikuttaa estetiikkaan, sillä on myös fyysisiä terveydellisiä vaikutuksia. Ensinnäkin juuret, joiden pitäisi olla suojassa, ovat alttiita bakteeriplakin vaikutukselle.
Lisäksi juuret ovat hyvin herkät ulkoisille ärsykkeille. Yli puolella potilaista, joilla on tämä ongelma, kärsivät herkistä hampaista, erityisesti pureskeltaessa tai harjatessa.
Toisaalta hampaiden sementti, joka on juurten pintaa peittävä kudos, ei ole valmistautunut selviytymään ulkoisista olosuhteista. Niinpä häiriöön liittyy lisääntynyt reikiintymisriski.
Tilanne yleistyy ikääntymisen myötä. Iäkkäillä aikuisilla on ikääntymiseen liittyvän vetäytymisen vuoksi suurempi riski sairastua juurikariekseen eli hampaiden juurten reikiintymiseen.
Yleiset oireet
Sen lisäksi, että hampaat tuntuvat näyttävän pidemmiltä tai että ikenet ovat siirtyneet, on mahdollista kokea joitakin vetäytymiseen liittyviä oireita, kuten seuraavat:
- Epämukavuutta syödessä, koska hampaat ovat herkät kuumille tai kylmille elintarvikkeille.
- Ikenien verenvuoto, koska kudoksen vetäytyminen altistaa ikenet tulehduksille ja vahingoittumiselle hampaita harjatessa.
- Pahanhajuinen hengitys, joka johtuu bakteeriplakin lisääntyneestä esiintymisestä. Tämä johtuu yleensä siitä, että potilaat harjaavat vähemmän tai väärällä tekniikalla herkkyyden aiheuttaman epämukavuuden vuoksi.
Mitkä ovat ikenien vetäytymisen syyt?
Ikenien vetäytymisen syyt ovat moninaiset. On mahdollista, että samalla henkilöllä yhdistyy samanaikaisesti useampia eri riskitekijöitä.
Syiden tunteminen on tärkeää, jotta tilaa voidaan hoitaa ajoissa ja ehkäistäkin. Seuraavassa on lueteltu olosuhteet, joihin tila useimmiten liittyy.
Ientulehdus ja parodontiitti
Ientulehdus liittyy huonoon suuhygieniaan, joka helpottaa bakteeriplakin ja hammaskiven kertymistä. Kun tämä kertyminen on liiallista, se johtaa ienkudoksen ärsytykseen.
Parodontiitti on kehittynyt ientulehduksesta, jota ei hoidettu ajoissa. Ylimääräinen plakki ja hammaskivi kerääntyvät ja muodostavat “taskuja” hampaita ympäröiviin pehmytkudoksiin. Taskut täyttyvät bakteereilla, jotka käynnistävät infektioprosessin ja vakavan tulehduksen.
Prosessin edetessä hampaita ympäröivä pehmytkudos tuhoutuu. Tämä koskee myös ikeniä, jotka vetäytyvät saman ainehäviön vuoksi. Vakavin seuraus on hampaiden mahdollinen menetys, sillä ne putoavat pois, koska ne eivät saa riittävästi tukea.
Kuitenkin myös päinvastainen prosessi voi tapahtua. Muista syistä johtuva ikenien vetäytyminen voi johtaa parodontiittiongelmiin (ientulehdus ja parodontiitti).

Tupakointi
Tupakointi vaikuttaa suun terveyteen monin tavoin. Yksi niistä on ien tulehdus, joka johtuu savukkeiden myrkyllisistä aineista.
Tupakoivilla ihmisillä on myös suurempi riski sairastua ientulehdukseen ja parodontiittiin. Siksi heidän ikenensä vetäytyvät useammin.
Bruksismi
Bruksismi on hampaiden tiedostamatonta puristamista ja narskuttelua. Puristamisen mekaaniset voimat ovat niin voimakkaita, että ne vaurioittavat parodontologista kudosta. Tämä tapa ei ainoastaan kuluta hampaita, vaan johtaa myös ikenien vetäytymiseen.
Huono hampaidenharjaustekniikka
Liian harvaan tehty hampaiden harjaus johtaa plakkiin, sitten ientulehdukseen ja mahdollisesti myös ikenien vetäytymiseen, mutta myös päinvastoin voi käydä. Liian tiheään tai liian kovaa harjaaminen (hammashygieniapakkomielle) vahingoittaa ienkudosta.
Harjaaminen kovalla paineella tai voimakkailla liikkeillä vahingoittaa ikeniä. Se on riskitekijä kudoksen vaurioitumiselle ja siirtymiselle kohti hampaiden juurta.
Oikomishoito
Oikomishoidon todellisesta vaikutuksesta ikenien vetäytymiseen käydään kiistaa. Vaikka hoito ei yksinään kykene aiheuttamaan tilaa, se lisää riskiä henkilöillä, joilla on ohuet ikenet.
Siksi on tärkeää, että oikomishoidon suorittaa sertifioitu ja kokenut ammattilainen. Näin hampaiden liikuttaminen tapahtuu tarkasti ja asteittain, ja ikeniin kohdistuvat traumat pyritään pitämään mahdollisimman vähäisinä.
Lävistykset
Korujen käyttäminen suussa ei ole riskitöntä. International Journal of Dental Hygiene -lehdessä julkaistussa tieteellisessä tutkimuksessa huomautetaan, että huuli- ja kielilävistykset ovat suoraan yhteydessä ikenien vetäytymiseen.
Todennäköisin selitys on, että korujen kitka ikeniä vasten aiheuttaa traumoja. Siksi kudos vetäytyy takaisin puolustusmekanismina.

Onko ikenien vetäytymiseen olemassa tehokkaita hoitoja?
Ikenet eivät pysty uusiutumaan. Jos ikenien taantuma on diagnosoitu, hoidon tulee tehdä hammaslääkäri.
Hän selvittää ongelman todennäköisimmän syyn. Tämä diagnoosi on avainasemassa suunniteltaessa asianmukaista ja parasta hoitoa.
Jos syynä on esimerkiksi koru suussa tai liiallinen harjaaminen, lähestymistapa on yksinkertaisempi ja vie vähemmän aikaa, koska pääpaino on syyn poistamisessa. Jos kyseessä taas on parodontiitti, hoito on pitkäaikaista, koska suun yleisen terveyden parantamiseksi on käsiteltävä eri näkökohtia.
Hoitomenetelmät voidaan jakaa kahteen pääryhmään:
- Ei-kirurgiset
- Kirurgiset
Ikenien vetäytymisen ei-kirurgiset hoidot
Jos ongelma on lievä eikä komplikaatioita esiinny, leikkausta ei tarvitse tehdä. Vaihtoehto on käyttää kemiallisia aineita, jotka vähentävät vetäytymiseen liittyvää herkkyyttä.
Hammaslääkäri käyttää tai määrää jotakin seuraavista aineista:
- Fluoridi: Lakkojen avulla tai hammastahnojen ja suuvesien ainesosana.
- Sinkkioksidi: Joidenkin hammastahnojen ainesosa, joka voi sulkea hammasväylät.
- Strontiumkloridi: Estää hammashermon hermosignaaleja kivun hallitsemiseksi ja on hammastahnojen ainesosa.
- Arginiini: Tätä aminohappoa käytetään myös dentinaalisten tubulusten sulkemiseen, mikä auttaa vähentämään kivuliaiden ärsykkeiden välittymistä.
- Kaliumnitraatti: Yhdiste, joka salpaa hermosignaaleja kuten strontiumkloridi. Sitä löytyy myös herkille hampaille tarkoitetuista hammastahnoista.
Ikenien vetäytymisen hoitoon tarkoitettujen kotilääkkeiden ja muiden aineiden käyttö on lääkärin harkinnan varassa, sillä monet vaihtoehdot ovat perustelemattomia tai vielä kokeellisia. On esimerkiksi raportoitu tapauksista, joissa on käytetty propolista. Silti näitä yhdisteitä on aina arvioitava erikoissairaanhoidon yhteydessä.
Adhesiiviset komposiittikorjaukset ovat puolestaan ei-kirurgisia lähestymistapoja, joissa hampaiden väristä ainetta asetetaan paljastuneen juuren peittämiseksi. Näin vältetään herkkyysongelma.
Lue lisää: 14 syytä sille, miksi ikenet vuotavat verta hampaita harjatessa
Ikenien vetäytymisen kirurgiset hoidot
Kuten vuonna 2018 julkaistussa kirjallisuuskatsauksessa todetaan, ikenien vetäytymistä voidaan hoitaa eri tavoin. Useimmiten kirurginen lähestymistapa on välttämätön ja väistämätön, jos halutaan parantaa estetiikkaa ja ehkäistä tulevia komplikaatioita.
Hammaslääkärien yleisimmin käyttämät tekniikat ovat seuraavat:
- Ikenien venytys: Jotta tekniikka olisi käyttökelpoinen ja tehokas, suun on täytettävä tietyt edellytykset. Esimerkiksi hammasvälipapillojen (hampaan ja hampaan väliset ienkolmiot) on oltava hyvin säilyneet. Itse leikkaus koostuu siitä, että osa ikenestä irrotetaan “kirjekuoren” tapaan, siirretään viillon avulla, siirretään ja täytetään sillä tyhjäksi jääneet tilat.
- Ikenien siirto: Sitä kutsutaan myös limakalvoplastiseksi kirurgiaksi, ja siinä otetaan osa suulakihalkion limakalvosta ja siirretään se puuttuvalle ikenialueelle, joka halutaan täyttää. Tällä tavoin hampaiden juuret peitetään. Vaikka se saattaa kuulostaa hieman monimutkaiselta, se on yksinkertainen ja nopea leikkaus. Sen vasta-aiheena on parodontiitti. Vaikka siirteellä on erilaisia toteutusvaihtoehtoja, tieteellisissä analyyseissä ei ole vielä todettu, että yksi olisi parempi kuin toinen.
- Parodontologinen kirurgia: Vaikeissa tapauksissa, joissa parodontiitti on pitkälle edennyt, kudos on hyvin puutteellinen ja hampaat saattavat kadota, on käytettävä monimutkaista kirurgiaa. Tavoitteena on sijoittaa täytemateriaalia tai suuria siirtoja, jotka peittävät paitsi puuttuvan ikenen myös tulehdusprosessin hajottaman luun.
Parhaillaan tehdään eläinkokeita, joilla pyritään parantamaan tulevia hoitovaihtoehtoja ihmisille. Näihin vaihtoehtoihin kuuluu kantasolujen käyttö menetetyn ikenen uudistamiseksi sekä biosynteettisten kudosten istuttaminen.

Potilaan sitoutuminen on olennaisen tärkeää, jotta hoito onnistuisi. Muuttamalla käyttäytymistapoja, jotka ovat saattaneet aiheuttaa vetäytymisen, voidaan estää ongelman toistuminen.
Tässä mielessä on hyvä oppia ja harjoitella oikeaa harjaustekniikkaa, jotta vältetään virheet hampaiden harjauksessa. Hammaslääkärin kanssa voi keskustella parhaasta hammasharjasta ja hammastahnoista, jotka saattavat vähentää herkkyyttä.
Haitalliset tavat, kuten tupakointi, on lopetettava. Ja jos sinulla on suulävistys, se on poistettava, sillä sen aiheuttama trauma ei mahdollista kunnollista paranemista.
Voiko ikenien vetäytymistä ehkäistä?
Vetäytymisen riskiä on mahdollista vähentää joillakin toimenpiteillä. Se ei ehkä ole aina mahdollista, mutta soveltamalla seuraavia vinkkejä voit parantaa mahdollisuuksiasi pysyä ienvapaana:
- Harjaa hampaat kaksi kertaa päivässä. Käytä hellävaraista harjaustekniikkaa ja yhdistä siihen päivittäinen hammaslangan käyttö. Voit hankkia sähköhammasharjan, sillä joissakin malleissa on paineanturit, jotka varoittavat, kun käytät liikaa voimaa.
- Käy hammastarkastuksessa säännöllisesti, jotta vetäytyminen voidaan huomata ajoissa. Noudata sitten hammaslääkärin hoito-ohjeita.
- Jos tarvitset oikomishoitoa, valitse paras ammattilainen ja vastaanotto.
- Käytä hammassuojaa, jos kärsit bruksismista.
- Lopeta tupakointi, jos sinulla on tämä tapa.
Jos sinulla on jo vahvistettu diagnoosi, tavoitteena on välttää uusiutuminen. Tätä varten hammaslääkärin osoittamat toimenpiteet eivät ole vapaaehtoisia. Niiden noudattaminen kirjaimellisesti auttaa sinua saamaan terveytesi takaisin ja hymyilemään jälleen itsevarmasti.
Jotkut ihmiset toteavat peiliin katsoessaan, että heidän hampaansa ovat normaalia pidemmät. He saattavat myös huomata, että hampaiden vaaleanpunainen kudos näyttää ohuemmalta. On todennäköistä, että kyseessä on ikenien vetäytyminen.
Tämä tila voi esteettisten seurausten lisäksi vaikuttaa suun normaaliin toimintaan. Siksi on tärkeää puuttua siihen ajoissa hammaslääkärin avulla.
Mitä ikenien vetäytyminen tarkoittaa?
Ienkudos on pehmeä, kiinteä ja vaaleanpunainen osa, joka ympäröi hampaita. Toisin sanoen se peittää hampaiden juuret, joita emme normaalioloissa näe.
Ienkudoksen tehtävänä on suojata luuta ja hampaan juurta. Se myös antaa hampaille lujuutta, jotta ne pysyvät paikoillaan.
Voimme puhua ikenien vetäytymisestä, kun tämä kudos on siirtynyt, jolloin juuret alkavat tulla näkyviin. Vuonna 2015 julkaistun tieteellisen julkaisun mukaan tila paljastaa hammassementin ja kiilteen välisen sidoksen.
Tämä aiheuttaa “pidempien hampaiden” vaikutuksen. Todellisuudessa jokaisen hampaan mitat ovat samat, vain nyt pystymme havaitsemaan osan, jonka pitäisi olla ikenien alla.
Lue tämäkin: Uusi TikTok-haaste vaarantaa hampaiden terveyden
Mitä ongelmia ikenien vetäytyminen aiheuttaa?
Sen lisäksi, että ikenien vetäytyminen vaikuttaa estetiikkaan, sillä on myös fyysisiä terveydellisiä vaikutuksia. Ensinnäkin juuret, joiden pitäisi olla suojassa, ovat alttiita bakteeriplakin vaikutukselle.
Lisäksi juuret ovat hyvin herkät ulkoisille ärsykkeille. Yli puolella potilaista, joilla on tämä ongelma, kärsivät herkistä hampaista, erityisesti pureskeltaessa tai harjatessa.
Toisaalta hampaiden sementti, joka on juurten pintaa peittävä kudos, ei ole valmistautunut selviytymään ulkoisista olosuhteista. Niinpä häiriöön liittyy lisääntynyt reikiintymisriski.
Tilanne yleistyy ikääntymisen myötä. Iäkkäillä aikuisilla on ikääntymiseen liittyvän vetäytymisen vuoksi suurempi riski sairastua juurikariekseen eli hampaiden juurten reikiintymiseen.
Yleiset oireet
Sen lisäksi, että hampaat tuntuvat näyttävän pidemmiltä tai että ikenet ovat siirtyneet, on mahdollista kokea joitakin vetäytymiseen liittyviä oireita, kuten seuraavat:
- Epämukavuutta syödessä, koska hampaat ovat herkät kuumille tai kylmille elintarvikkeille.
- Ikenien verenvuoto, koska kudoksen vetäytyminen altistaa ikenet tulehduksille ja vahingoittumiselle hampaita harjatessa.
- Pahanhajuinen hengitys, joka johtuu bakteeriplakin lisääntyneestä esiintymisestä. Tämä johtuu yleensä siitä, että potilaat harjaavat vähemmän tai väärällä tekniikalla herkkyyden aiheuttaman epämukavuuden vuoksi.
Mitkä ovat ikenien vetäytymisen syyt?
Ikenien vetäytymisen syyt ovat moninaiset. On mahdollista, että samalla henkilöllä yhdistyy samanaikaisesti useampia eri riskitekijöitä.
Syiden tunteminen on tärkeää, jotta tilaa voidaan hoitaa ajoissa ja ehkäistäkin. Seuraavassa on lueteltu olosuhteet, joihin tila useimmiten liittyy.
Ientulehdus ja parodontiitti
Ientulehdus liittyy huonoon suuhygieniaan, joka helpottaa bakteeriplakin ja hammaskiven kertymistä. Kun tämä kertyminen on liiallista, se johtaa ienkudoksen ärsytykseen.
Parodontiitti on kehittynyt ientulehduksesta, jota ei hoidettu ajoissa. Ylimääräinen plakki ja hammaskivi kerääntyvät ja muodostavat “taskuja” hampaita ympäröiviin pehmytkudoksiin. Taskut täyttyvät bakteereilla, jotka käynnistävät infektioprosessin ja vakavan tulehduksen.
Prosessin edetessä hampaita ympäröivä pehmytkudos tuhoutuu. Tämä koskee myös ikeniä, jotka vetäytyvät saman ainehäviön vuoksi. Vakavin seuraus on hampaiden mahdollinen menetys, sillä ne putoavat pois, koska ne eivät saa riittävästi tukea.
Kuitenkin myös päinvastainen prosessi voi tapahtua. Muista syistä johtuva ikenien vetäytyminen voi johtaa parodontiittiongelmiin (ientulehdus ja parodontiitti).

Tupakointi
Tupakointi vaikuttaa suun terveyteen monin tavoin. Yksi niistä on ien tulehdus, joka johtuu savukkeiden myrkyllisistä aineista.
Tupakoivilla ihmisillä on myös suurempi riski sairastua ientulehdukseen ja parodontiittiin. Siksi heidän ikenensä vetäytyvät useammin.
Bruksismi
Bruksismi on hampaiden tiedostamatonta puristamista ja narskuttelua. Puristamisen mekaaniset voimat ovat niin voimakkaita, että ne vaurioittavat parodontologista kudosta. Tämä tapa ei ainoastaan kuluta hampaita, vaan johtaa myös ikenien vetäytymiseen.
Huono hampaidenharjaustekniikka
Liian harvaan tehty hampaiden harjaus johtaa plakkiin, sitten ientulehdukseen ja mahdollisesti myös ikenien vetäytymiseen, mutta myös päinvastoin voi käydä. Liian tiheään tai liian kovaa harjaaminen (hammashygieniapakkomielle) vahingoittaa ienkudosta.
Harjaaminen kovalla paineella tai voimakkailla liikkeillä vahingoittaa ikeniä. Se on riskitekijä kudoksen vaurioitumiselle ja siirtymiselle kohti hampaiden juurta.
Oikomishoito
Oikomishoidon todellisesta vaikutuksesta ikenien vetäytymiseen käydään kiistaa. Vaikka hoito ei yksinään kykene aiheuttamaan tilaa, se lisää riskiä henkilöillä, joilla on ohuet ikenet.
Siksi on tärkeää, että oikomishoidon suorittaa sertifioitu ja kokenut ammattilainen. Näin hampaiden liikuttaminen tapahtuu tarkasti ja asteittain, ja ikeniin kohdistuvat traumat pyritään pitämään mahdollisimman vähäisinä.
Lävistykset
Korujen käyttäminen suussa ei ole riskitöntä. International Journal of Dental Hygiene -lehdessä julkaistussa tieteellisessä tutkimuksessa huomautetaan, että huuli- ja kielilävistykset ovat suoraan yhteydessä ikenien vetäytymiseen.
Todennäköisin selitys on, että korujen kitka ikeniä vasten aiheuttaa traumoja. Siksi kudos vetäytyy takaisin puolustusmekanismina.

Onko ikenien vetäytymiseen olemassa tehokkaita hoitoja?
Ikenet eivät pysty uusiutumaan. Jos ikenien taantuma on diagnosoitu, hoidon tulee tehdä hammaslääkäri.
Hän selvittää ongelman todennäköisimmän syyn. Tämä diagnoosi on avainasemassa suunniteltaessa asianmukaista ja parasta hoitoa.
Jos syynä on esimerkiksi koru suussa tai liiallinen harjaaminen, lähestymistapa on yksinkertaisempi ja vie vähemmän aikaa, koska pääpaino on syyn poistamisessa. Jos kyseessä taas on parodontiitti, hoito on pitkäaikaista, koska suun yleisen terveyden parantamiseksi on käsiteltävä eri näkökohtia.
Hoitomenetelmät voidaan jakaa kahteen pääryhmään:
- Ei-kirurgiset
- Kirurgiset
Ikenien vetäytymisen ei-kirurgiset hoidot
Jos ongelma on lievä eikä komplikaatioita esiinny, leikkausta ei tarvitse tehdä. Vaihtoehto on käyttää kemiallisia aineita, jotka vähentävät vetäytymiseen liittyvää herkkyyttä.
Hammaslääkäri käyttää tai määrää jotakin seuraavista aineista:
- Fluoridi: Lakkojen avulla tai hammastahnojen ja suuvesien ainesosana.
- Sinkkioksidi: Joidenkin hammastahnojen ainesosa, joka voi sulkea hammasväylät.
- Strontiumkloridi: Estää hammashermon hermosignaaleja kivun hallitsemiseksi ja on hammastahnojen ainesosa.
- Arginiini: Tätä aminohappoa käytetään myös dentinaalisten tubulusten sulkemiseen, mikä auttaa vähentämään kivuliaiden ärsykkeiden välittymistä.
- Kaliumnitraatti: Yhdiste, joka salpaa hermosignaaleja kuten strontiumkloridi. Sitä löytyy myös herkille hampaille tarkoitetuista hammastahnoista.
Ikenien vetäytymisen hoitoon tarkoitettujen kotilääkkeiden ja muiden aineiden käyttö on lääkärin harkinnan varassa, sillä monet vaihtoehdot ovat perustelemattomia tai vielä kokeellisia. On esimerkiksi raportoitu tapauksista, joissa on käytetty propolista. Silti näitä yhdisteitä on aina arvioitava erikoissairaanhoidon yhteydessä.
Adhesiiviset komposiittikorjaukset ovat puolestaan ei-kirurgisia lähestymistapoja, joissa hampaiden väristä ainetta asetetaan paljastuneen juuren peittämiseksi. Näin vältetään herkkyysongelma.
Lue lisää: 14 syytä sille, miksi ikenet vuotavat verta hampaita harjatessa
Ikenien vetäytymisen kirurgiset hoidot
Kuten vuonna 2018 julkaistussa kirjallisuuskatsauksessa todetaan, ikenien vetäytymistä voidaan hoitaa eri tavoin. Useimmiten kirurginen lähestymistapa on välttämätön ja väistämätön, jos halutaan parantaa estetiikkaa ja ehkäistä tulevia komplikaatioita.
Hammaslääkärien yleisimmin käyttämät tekniikat ovat seuraavat:
- Ikenien venytys: Jotta tekniikka olisi käyttökelpoinen ja tehokas, suun on täytettävä tietyt edellytykset. Esimerkiksi hammasvälipapillojen (hampaan ja hampaan väliset ienkolmiot) on oltava hyvin säilyneet. Itse leikkaus koostuu siitä, että osa ikenestä irrotetaan “kirjekuoren” tapaan, siirretään viillon avulla, siirretään ja täytetään sillä tyhjäksi jääneet tilat.
- Ikenien siirto: Sitä kutsutaan myös limakalvoplastiseksi kirurgiaksi, ja siinä otetaan osa suulakihalkion limakalvosta ja siirretään se puuttuvalle ikenialueelle, joka halutaan täyttää. Tällä tavoin hampaiden juuret peitetään. Vaikka se saattaa kuulostaa hieman monimutkaiselta, se on yksinkertainen ja nopea leikkaus. Sen vasta-aiheena on parodontiitti. Vaikka siirteellä on erilaisia toteutusvaihtoehtoja, tieteellisissä analyyseissä ei ole vielä todettu, että yksi olisi parempi kuin toinen.
- Parodontologinen kirurgia: Vaikeissa tapauksissa, joissa parodontiitti on pitkälle edennyt, kudos on hyvin puutteellinen ja hampaat saattavat kadota, on käytettävä monimutkaista kirurgiaa. Tavoitteena on sijoittaa täytemateriaalia tai suuria siirtoja, jotka peittävät paitsi puuttuvan ikenen myös tulehdusprosessin hajottaman luun.
Parhaillaan tehdään eläinkokeita, joilla pyritään parantamaan tulevia hoitovaihtoehtoja ihmisille. Näihin vaihtoehtoihin kuuluu kantasolujen käyttö menetetyn ikenen uudistamiseksi sekä biosynteettisten kudosten istuttaminen.

Potilaan sitoutuminen on olennaisen tärkeää, jotta hoito onnistuisi. Muuttamalla käyttäytymistapoja, jotka ovat saattaneet aiheuttaa vetäytymisen, voidaan estää ongelman toistuminen.
Tässä mielessä on hyvä oppia ja harjoitella oikeaa harjaustekniikkaa, jotta vältetään virheet hampaiden harjauksessa. Hammaslääkärin kanssa voi keskustella parhaasta hammasharjasta ja hammastahnoista, jotka saattavat vähentää herkkyyttä.
Haitalliset tavat, kuten tupakointi, on lopetettava. Ja jos sinulla on suulävistys, se on poistettava, sillä sen aiheuttama trauma ei mahdollista kunnollista paranemista.
Voiko ikenien vetäytymistä ehkäistä?
Vetäytymisen riskiä on mahdollista vähentää joillakin toimenpiteillä. Se ei ehkä ole aina mahdollista, mutta soveltamalla seuraavia vinkkejä voit parantaa mahdollisuuksiasi pysyä ienvapaana:
- Harjaa hampaat kaksi kertaa päivässä. Käytä hellävaraista harjaustekniikkaa ja yhdistä siihen päivittäinen hammaslangan käyttö. Voit hankkia sähköhammasharjan, sillä joissakin malleissa on paineanturit, jotka varoittavat, kun käytät liikaa voimaa.
- Käy hammastarkastuksessa säännöllisesti, jotta vetäytyminen voidaan huomata ajoissa. Noudata sitten hammaslääkärin hoito-ohjeita.
- Jos tarvitset oikomishoitoa, valitse paras ammattilainen ja vastaanotto.
- Käytä hammassuojaa, jos kärsit bruksismista.
- Lopeta tupakointi, jos sinulla on tämä tapa.
Jos sinulla on jo vahvistettu diagnoosi, tavoitteena on välttää uusiutuminen. Tätä varten hammaslääkärin osoittamat toimenpiteet eivät ole vapaaehtoisia. Niiden noudattaminen kirjaimellisesti auttaa sinua saamaan terveytesi takaisin ja hymyilemään jälleen itsevarmasti.
Kaikki lainatut lähteet tarkistettiin perusteellisesti tiimimme toimesta varmistaaksemme niiden laadun, luotettavuuden, ajantasaisuuden ja pätevyyden. Tämän artikkelin bibliografia katsottiin luotettavaksi ja akateemisesti tai tieteellisesti tarkaksi.
- Bahal, P., Malhi, M., Shah, S., & Ide, M. (2019). Managing the consequences of periodontal diseases/treatment: gingival recession. Dental Update, 46(10), 966-977. https://www.magonlinelibrary.com/doi/abs/10.12968/denu.2019.46.10.966
- Heasman, P. A., Ritchie, M., Asuni, A., Gavillet, E., Simonsen, J. L., & Nyvad, B. (2017). Gingival recession and root caries in the ageing population: a critical evaluation of treatments. Journal of clinical periodontology, 44, S178-S193. https://onlinelibrary.wiley.com/doi/full/10.1111/jcpe.12676
- Hennequin‐Hoenderdos, N. L., Slot, D. E., & Van der Weijden, G. A. (2016). The incidence of complications associated with lip and/or tongue piercings: a systematic review. International journal of dental hygiene, 14(1), 62-73. https://onlinelibrary.wiley.com/doi/abs/10.1111/idh.12118
- Jati, A. S., Furquim, L. Z., & Consolaro, A. (2016). Gingival recession: its causes and types, and the importance of orthodontic treatment. Dental press journal of orthodontics, 21, 18-29. https://www.scielo.br/j/dpjo/a/Q5JFsKRd6fm3kvkT3QsKmsq/
- Masud, M., Al-Bayaty, F. H., Muhamed, N. A. H., Alwi, A. S., Takiyudin, Z., & Hidayat, M. F. H. (2017). Gingival Recession and Dentine Hypersensitivity in Periodontal Patients: is It Affecting Their Oral Health Related Quality of Life?. Journal of International Dental and Medical Research, 10(3), 909-914. https://search.proquest.com/openview/88de5fcb72ee17782249edfe600545ae/1?pq-origsite=gscholar&cbl=1036416
- Mostafa, D., & Mandil, O. A. (2021). Treatment of gingival recession defects using non-invasive pinhole technique with propolis application, a case report. International Journal of Surgery Case Reports, 83, 106042. https://www.sciencedirect.com/science/article/pii/S2210261221005447
- Mythri, S., Arunkumar, S. M., Hegde, S., Rajesh, S. K., Munaz, M., & Ashwin, D. (2015). Etiology and occurrence of gingival recession-An epidemiological study. Journal of Indian Society of Periodontology, 19(6), 671. https://www.ncbi.nlm.nih.gov/pmc/articles/PMC4753713/
- Rubnikovich, S. P., Denisova, Y. L., Vladimirskaya, Т. E., Andreyeva, V. А., Kvacheva, Z. B., Panasenkova, G. Y., & Volotovsky, I. D. (2018). Regenerative cell technologies for gingival recession treatment. Современные технологии в медицине, 10(4 (eng)), 94-102. https://cyberleninka.ru/article/n/regenerative-cell-technologies-for-gingival-recession-treatment
- Shkreta, M., Atanasovska-Stojanovska, A., Dollaku, B., & Belazelkoska, Z. (2018). Exploring the gingival recession surgical treatment modalities: A literature review. Open access Macedonian journal of medical sciences, 6(4), 698. https://www.ncbi.nlm.nih.gov/pmc/articles/PMC5927507/
- Sidharthan, S., Dharmarajan, G., Kale, S., Dharmadhikari, S., & Chordia, D. (2023). Comparison of the effectiveness of Gingival unit transfer and free Gingival graft in the management of localized Gingival recession-A systematic review. Journal of Oral Biology and Craniofacial Research, 13(2), 130-137. https://www.sciencedirect.com/science/article/pii/S221242682200166X
- Zucchelli, G., Stefanini, M., Ganz, S., Mazzotti, C., Mounssif, I., & Marzadori, M. (2016). Coronally Advanced Flap with Different Designs in the Treatment of Gingival Recession: A Comparative Controlled Randomized Clinical Trial. https://pubmed.ncbi.nlm.nih.gov/27100801/
Tämä teksti on tarkoitettu vain tiedoksi eikä se korvaa ammattilaisen konsultaatiota. Jos sinulla on kysyttävää, konsultoi asiantuntijaasi.







