Mikä on keuhkopaise?

Syöpä on yleensä ensimmäinen asia joka potilaan mieleen tulee, kun diagnoosi on keuhkopaise. Pelottavasta nimestään huolimatta se on kuitenkin suurimmassa osassa tapauksia hyvänlaatuinen tila, vaikka syövänkin mahdollisuus on olemassa.
Keuhkopaise on läpimitaltaan on tavallisesti 5 – 30 millimetriä suuri massa. Se on aina vain yleisempi tila, ja tämänhetkisten arvioiden mukaan sitä esiintyy noin 0,2 %:lla väestöstä. Hyvä asia on, että lähes 60 % näistä paiseista on hyvänlaatuisia.
Tämän taudin syyt vaihtelevat tulehduksesta aina kasvaimeen. Suurin osa kasvaimista löytyy ihan vahingossa silloin, kun potilaalle tehdään tietokonetomografia (TT-kuvaus) tai röntgenkuvaus jostain muusta syystä.
On tärkeää diagnosoida tämä tila jo varhaisessa vaiheessa, jotta voidaan välttää komplikaatioita ja sulkea pois vakavimmat vaihtoehdot. Tässä artikkelissa kerrommekin kaiken, mitä keuhkopaiseesta on hyvä tietää, mukaanlukien sen oireet.
Keuhkopaiseen aiheuttajat
Kuten edellä jo mainitsimme, keuhkopaise on massa keuhkoissa ja sillä on eri aiheuttajia. Suurin osa niistä johtuu tulehduksesta; joko bakteerin, sienen tai parasiittien aiheuttamasta infektiosta.
Mitä infektioperäisiin aiheuttajiin tulee, on hyvä tietää, että keuhkopaise on yleinen potilailla, joilla on tuberkuloosi-infektio. Kyllä, sitä esiintyy edelleen joissakin maissa, vaikka se ei olekaan enää yleinen.
Saatat pitää tästäkin artikkelista: 6 ruokaa, jotka auttavat edistämään keuhkojen toimintaa
Neoplastinen sairaus
Tällä hetkellä lääkärien ensimmäinen tehtävä keuhkopaiseen diagnosoinnissa on sulkea pois syövän mahdollisuus. Keuhkosyöpä on yksi yleisimmistä syövistä, ja se todellakin on joskus myös keuhkopaiseen aiheuttaja.
Tällaisissa tapauksissa paiseella on epäsäännöllinen ulkonäkö ja rosoiset tai epäsäännölliset reunat; tämä voidaan havaita röntgenkuvissa. Pahanlaatuiset keuhkopaiseet ovat yleensä pienempiä kuin hyvänlaatuiset. Niihin liittyy joitakin riskitekijöitä, joista tavallisimpia ovat:
- Tupakointi
- Yli 35 vuoden ikä
- Jo menneisyydessä sairastettu syöpä
- Keuhkopaiseen nopea kasvu edellisten kuukausien aikana
On kuitenkin tärkeää muistaa, että kaikki neoplastiset keuhkopaiseet eivät ole pahanlaatuisia. Niitä on hyvänlaatuisia, vaikkakin nämä ovat harvinaisempia kuin pahanlaatuiset.

Muita keuhkopaiseen aiheuttajia
On monia muitakin sairauksia, jotka voivat johtaa keuhkopaiseeseen. Näistä voidaan mainita esimerkiksi jotkut autoimmuuniprosessit, kuten granulomatoottinen polyangiitti (Wegenerin granulomatoosi) tai nivelreuma. Molemmat ovat kuitenkin harvinaisia.
Toisaalta, keuhkopaise voi joidenkin ihmisten kohdalla johtua myös jostakin vammasta. Tällaisessa tapauksessa aiheuttaja on todennäköisimmin aineenvaihduntaan liittyvä sairaus nimeltä amyloiditauti tai aikaisempi kysta keuhkoputkessa.
Kuinka keuhkopaise diagnosoidaan?
Ensinnäkin lääkärin täytyy saada käsiinsä potilaan koko sairaushistoria keuhkopaiseen diagnosoimiseksi ja sen aiheuttajan selvittämiseksi. Lääkärin on saatava tietää, onko potilas joskus sairastanut tuberkuloosin, onko hän altistunut joillekin tartuntataudeille tai onko hänellä ollut jotain keuhkosairauksia.
On myös tärkeää tietää, tupakoiko potilas vai ei. Monet tutkimukset ovat paljastaneet, että suuri osa keuhkopaiseista on syöpään ja tupakointiin liittyviä.
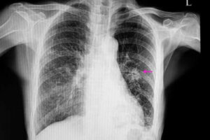
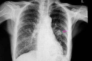
Kun nämä alkurutiinit on saatu tehtyä, lääkärin on suoritettava tarvittavat kuvantamiskokeet paiseen löytämiseksi. Kuvien avulla voidaan tarkkailla myös paiseen ominaisuuksia, kuten muotoa ja kokoa. Tämä on tärkeää siksi, että sen ominaisuuksien kautta voidaan määrittää onko paise mahdollisesti pahanlaatuinen vai onko se hyvänlaatuinen.
Yleisimmät kuvantamiskokeet keuhkopaiseen diagnosoimiseksi ovat röntgenkuvat rintakehästä sekä tietokonetomografia (TT-kuvaus). Keuhkopaiseen tarkan syyn selvittämiseksi lääkäri voi joskus joutua ottamaan koepalan, sillä sen avulla voidaan analysoida itse kudosta.

Tämäkin saattaa kiinnostaa sinua: Teen juominen aiheuttaa naisissa epigeneettisiä muutoksia, jotka taistelevat syöpää vastaan
Mikä on paras hoito?
Keuhkopaiseen hoito riippuu täysin sen aiheuttajasta. Jos se johtuu jostakin infektiosta, hoitoon saattaa kuulua antibiootteja tai sienilääkkeitä.
Kun aiheuttaja on epäselvä, potilaan hoidossa keskitytään mahdolliseen syöpäriskiin. Esimerkiksi nuorten potilaiden, jotka eivät tupakoi ja joiden paise ei näytä olevan pahanlaatuinen, tarvitsee käydä tarkastuksessa vain määräajoin, lähinnä sen tarkistamiseksi, muuttuuko kyhmy tai kasvaako se.
Jos syövän suurempi riski on olemassa, on tärkeää, että lääkäri ottaa koepalan. Jos todetaan että keuhkopaise todellakin on pahanlaatuinen eli karsinogeeninen, se poistetaan kirurgisin toimenpitein. Jos leikkaus ei jostain syystä ole mahdollinen, potilaalle voidaan ehdottaa kemoterapiaa tai sädehoitoa.
Lopuksi meidän on vielä korostettava tupakoinnin negatiivisia vaikutuksia keuhkoihin. Meidän kaikkien tulee olla tietoisia tupakointiin liittyvistä riskeistä ja käytävä lääkärintarkastuksessa riittävän usein tämäntyyppisen patologian diagnosoimiseksi mahdollisimman varhaisessa vaiheessa.
Syöpä on yleensä ensimmäinen asia joka potilaan mieleen tulee, kun diagnoosi on keuhkopaise. Pelottavasta nimestään huolimatta se on kuitenkin suurimmassa osassa tapauksia hyvänlaatuinen tila, vaikka syövänkin mahdollisuus on olemassa.
Keuhkopaise on läpimitaltaan on tavallisesti 5 – 30 millimetriä suuri massa. Se on aina vain yleisempi tila, ja tämänhetkisten arvioiden mukaan sitä esiintyy noin 0,2 %:lla väestöstä. Hyvä asia on, että lähes 60 % näistä paiseista on hyvänlaatuisia.
Tämän taudin syyt vaihtelevat tulehduksesta aina kasvaimeen. Suurin osa kasvaimista löytyy ihan vahingossa silloin, kun potilaalle tehdään tietokonetomografia (TT-kuvaus) tai röntgenkuvaus jostain muusta syystä.
On tärkeää diagnosoida tämä tila jo varhaisessa vaiheessa, jotta voidaan välttää komplikaatioita ja sulkea pois vakavimmat vaihtoehdot. Tässä artikkelissa kerrommekin kaiken, mitä keuhkopaiseesta on hyvä tietää, mukaanlukien sen oireet.
Keuhkopaiseen aiheuttajat
Kuten edellä jo mainitsimme, keuhkopaise on massa keuhkoissa ja sillä on eri aiheuttajia. Suurin osa niistä johtuu tulehduksesta; joko bakteerin, sienen tai parasiittien aiheuttamasta infektiosta.
Mitä infektioperäisiin aiheuttajiin tulee, on hyvä tietää, että keuhkopaise on yleinen potilailla, joilla on tuberkuloosi-infektio. Kyllä, sitä esiintyy edelleen joissakin maissa, vaikka se ei olekaan enää yleinen.
Saatat pitää tästäkin artikkelista: 6 ruokaa, jotka auttavat edistämään keuhkojen toimintaa
Neoplastinen sairaus
Tällä hetkellä lääkärien ensimmäinen tehtävä keuhkopaiseen diagnosoinnissa on sulkea pois syövän mahdollisuus. Keuhkosyöpä on yksi yleisimmistä syövistä, ja se todellakin on joskus myös keuhkopaiseen aiheuttaja.
Tällaisissa tapauksissa paiseella on epäsäännöllinen ulkonäkö ja rosoiset tai epäsäännölliset reunat; tämä voidaan havaita röntgenkuvissa. Pahanlaatuiset keuhkopaiseet ovat yleensä pienempiä kuin hyvänlaatuiset. Niihin liittyy joitakin riskitekijöitä, joista tavallisimpia ovat:
- Tupakointi
- Yli 35 vuoden ikä
- Jo menneisyydessä sairastettu syöpä
- Keuhkopaiseen nopea kasvu edellisten kuukausien aikana
On kuitenkin tärkeää muistaa, että kaikki neoplastiset keuhkopaiseet eivät ole pahanlaatuisia. Niitä on hyvänlaatuisia, vaikkakin nämä ovat harvinaisempia kuin pahanlaatuiset.

Muita keuhkopaiseen aiheuttajia
On monia muitakin sairauksia, jotka voivat johtaa keuhkopaiseeseen. Näistä voidaan mainita esimerkiksi jotkut autoimmuuniprosessit, kuten granulomatoottinen polyangiitti (Wegenerin granulomatoosi) tai nivelreuma. Molemmat ovat kuitenkin harvinaisia.
Toisaalta, keuhkopaise voi joidenkin ihmisten kohdalla johtua myös jostakin vammasta. Tällaisessa tapauksessa aiheuttaja on todennäköisimmin aineenvaihduntaan liittyvä sairaus nimeltä amyloiditauti tai aikaisempi kysta keuhkoputkessa.
Kuinka keuhkopaise diagnosoidaan?
Ensinnäkin lääkärin täytyy saada käsiinsä potilaan koko sairaushistoria keuhkopaiseen diagnosoimiseksi ja sen aiheuttajan selvittämiseksi. Lääkärin on saatava tietää, onko potilas joskus sairastanut tuberkuloosin, onko hän altistunut joillekin tartuntataudeille tai onko hänellä ollut jotain keuhkosairauksia.
On myös tärkeää tietää, tupakoiko potilas vai ei. Monet tutkimukset ovat paljastaneet, että suuri osa keuhkopaiseista on syöpään ja tupakointiin liittyviä.
Kun nämä alkurutiinit on saatu tehtyä, lääkärin on suoritettava tarvittavat kuvantamiskokeet paiseen löytämiseksi. Kuvien avulla voidaan tarkkailla myös paiseen ominaisuuksia, kuten muotoa ja kokoa. Tämä on tärkeää siksi, että sen ominaisuuksien kautta voidaan määrittää onko paise mahdollisesti pahanlaatuinen vai onko se hyvänlaatuinen.
Yleisimmät kuvantamiskokeet keuhkopaiseen diagnosoimiseksi ovat röntgenkuvat rintakehästä sekä tietokonetomografia (TT-kuvaus). Keuhkopaiseen tarkan syyn selvittämiseksi lääkäri voi joskus joutua ottamaan koepalan, sillä sen avulla voidaan analysoida itse kudosta.

Tämäkin saattaa kiinnostaa sinua: Teen juominen aiheuttaa naisissa epigeneettisiä muutoksia, jotka taistelevat syöpää vastaan
Mikä on paras hoito?
Keuhkopaiseen hoito riippuu täysin sen aiheuttajasta. Jos se johtuu jostakin infektiosta, hoitoon saattaa kuulua antibiootteja tai sienilääkkeitä.
Kun aiheuttaja on epäselvä, potilaan hoidossa keskitytään mahdolliseen syöpäriskiin. Esimerkiksi nuorten potilaiden, jotka eivät tupakoi ja joiden paise ei näytä olevan pahanlaatuinen, tarvitsee käydä tarkastuksessa vain määräajoin, lähinnä sen tarkistamiseksi, muuttuuko kyhmy tai kasvaako se.
Jos syövän suurempi riski on olemassa, on tärkeää, että lääkäri ottaa koepalan. Jos todetaan että keuhkopaise todellakin on pahanlaatuinen eli karsinogeeninen, se poistetaan kirurgisin toimenpitein. Jos leikkaus ei jostain syystä ole mahdollinen, potilaalle voidaan ehdottaa kemoterapiaa tai sädehoitoa.
Lopuksi meidän on vielä korostettava tupakoinnin negatiivisia vaikutuksia keuhkoihin. Meidän kaikkien tulee olla tietoisia tupakointiin liittyvistä riskeistä ja käytävä lääkärintarkastuksessa riittävän usein tämäntyyppisen patologian diagnosoimiseksi mahdollisimman varhaisessa vaiheessa.
Kaikki lainatut lähteet tarkistettiin perusteellisesti tiimimme toimesta varmistaaksemme niiden laadun, luotettavuuden, ajantasaisuuden ja pätevyyden. Tämän artikkelin bibliografia katsottiin luotettavaksi ja akateemisesti tai tieteellisesti tarkaksi.
- Un nódulo pulmonar solitario | Medicina Integral. (n.d.). Retrieved December 24, 2019, from https://www.elsevier.es/es-revista-medicina-integral-63-articulo-un-nodulo-pulmonar-solitario-13046283
- Nódulos pulmonares: ¿Pueden ser cancerosos? Mayo Clinic. https://www.mayoclinic.org/es-es/diseases-conditions/lung-cancer/expert-answers/lung-nodules/faq-20058445#:~:text=Los%20n%C3%B3dulos%20pulmonares%20no%20cancerosos%20generalmente%20no%20requieren%20tratamiento.,o%20cambia%20con%20el%20tiempo.
- Prevención del cáncer de pulmón (PDQ®)–Versión para profesionales de salud. Instituto Nacional del Cáncer. https://www.cancer.gov/espanol/tipos/pulmon/pro/prevencion-pulmon-pdq
Tämä teksti on tarkoitettu vain tiedoksi eikä se korvaa ammattilaisen konsultaatiota. Jos sinulla on kysyttävää, konsultoi asiantuntijaasi.







