7 hammastulehdukseen viittaavaa oiretta


Tarkistanut ja hyväksynyt: fysioterapeutti Sofía Quintana Alonso
Hampaasi ovat jatkuvasti tekemisissä ruoantähteiden, bakteerien, syljen ja muiden komponenttien kanssa. Ne voivat millä vain hetkellä vaikuttaa terveyteesi tai aiheuttaa hammastulehduksen.
Ruokavaliosi sekä hygieniatapasi auttavat sinua pitämään suusi puhtaana ja terveenä. Joskus suusi ympäristö kuitenkin muuttuu. Se aiheuttaa tulehduksia, joiden suhteen sinun tulee olla varovainen.
Ne voivat olla lieviä tai vakavia. Itse asiassa joissakin tapauksissa ne vaarantavat koko kehosi terveyden.
Huolestuttavinta on se, että jos et huolehdi niistä ajallaan, voivat ne aiheuttaa vakavaa kipua ja jopa hampaidesi menetystä.
Tämän takia on tärkeää tietää tulehduksen oireet. Hae ennen kaikkea ammattilaisen apua yrittäessäsi tunnistaa ongelman.
Hammastulehduksen oireet
1. Pahanhajuinen hengitys

Halitoosi on yksi ilmeisimmistä hammastulehduksen oireista.
Sitä aiheuttaa liian suuri bakteerien määrä, etenkin alueilla joihin hammasharja ei yllä ja joihin jää ruoantähteitä.
Tätä voidaan yleensä hallita suuhygieniatuotteilla. Se kuitenkin ilmaantuu uudelleen ja uudelleen, kunnes pääset eroon tulehduksesta.
Sen ilmestyminen voi merkitä:
- Ientulehdusta
- Reikiintymistä
- Hammaspaiseita
- Bakteerista hammaskiveä
- Syljen muutosta
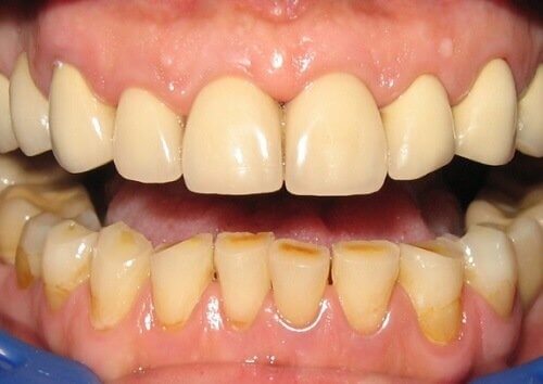
2. Hammaskiilteen kuluminen
Kun kärsit hammastulehduksesta, suussasi olevat bakteerit tuottavat happoa. Tämä happo kuluttaa hammaskiillettä, joka suojaa hampaitasi.
- Nämä aineet kerääntyvät kovan plakin muodossa. Se aiheuttaa joistakin ruoantähteistä syntyviä keltaisia läikkiä.
- Tulehduksen hallitsemattomuus voi aiheuttaa vakavaa hampaan heikkenemistä. Se voi saada sen menettämään tiheytensä ja hajoamaan.
3. Leuka- ja hammaskipu

Kivun tunne leuassa ja hampaissa, joko jatkuvasti tai tilapäisesti, voi olla myös merkki tulehduksesta. Se voi olla oire parodontologisesta taudista tai hammastulehduksesta.
- Yleisesti ottaen tällaisessa on kyse plakin kerääntymisestä.
- Voi myös olla kyse ruoantähteistä, jotka tekevät tämän bakteerin kasvusta helpomman.
Hammaslääkärin tulisi tutkia tällaiset tapaukset. Sitä voivat nimittäin aiheuttaa useat suun taudit tai vauriot.
4. Vertavuotavat ikenet
Ikenet vuotavat verta silloin, kun ne ovat kokeneet jonkinlaisen vaurion tai tulehduksen.
- On normaalia havaita sitä aina silloin tällöin harjatessasi hampaitasi tai käyttäessäsi hammaslankaa. Voit jopa havaita sitä tiettyjä ruokia syödessäsi. Jos kuitenkin huomaat sitä usein, tulisi sinun käydä tarkistuttamassa se.
- Sen pääaiheuttajana ovat myrkyt, jotka aiheuttavat plakkia hampaissasi.
5. Tulehdus ja punaisuus

Parodontologinen tulehdus, johon kuuluu myös reikiintyminen, aiheuttaa ikenien tulehdusta ja punaisuutta. Siihen liittyy lähes aina kipua.
- On tärkeää huolehtia siitä nopeasti ehkäistäksesi komplikaatioita. Turvotus voi nimittäin levitä leukaluihisi.
6. Löysät hampaat
Löysien hampaiden tunne on riittävä syy mennä hammaslääkäriin.
- Tämä merkitsee hammastulehduksen edistymistä. Samaan aikaan se kertoo sinulle, että hampaitasi tukeva luurakenne on heikentymässä.
- Näin voi käydä, kun et huolehdi ientulehduksesta ajoissa. Se voi muuttua sitten parodontologiseksi.
- Tämä sairaus voi saada kyseisen alueen hampaat liikkumaan. Vakavissa tapauksissa se voi aiheuttaa luun heikkenemistä.
7. Hammasmätä

Hammasmädän ilmestyminen ikeniisi on merkki, joka varoittaa sinua mahdollisesta parodontologisesta taudista.
Se on immuunijärjestelmän vastaus tulehdusta aiheuttavien patogeenisten bakteerien hyökkäykseen.
- Ne voivat aluksi aiheuttaa “pusseja”. Näitä pusseja kutsutaan paiseiksi ja ne koostuvat verestä ja hammasmädästä.
- Kyseessä on monimutkainen tauti ja ammattilaisen pitäisi hoitaa se. Jos sitä ei hoideta ajoissa, voi se aiheuttaa peruuttamatonta vahinkoa.
- Tartunta voi alkaa tuhota luuta, joka tukee hampaitasi.
Tärkeää!
Kaikki epäilyt hampaidesi tai ikeniesi kunnosta tulisi käydä tarkistuttamassa ammattilaisella. Nämä ongelmat voivat pahentua nopeasti.
Suussasi olevat tulehdukset voivat alkaa vaikuttaa muihin tärkeisiin elimiisi verenkierron välityksellä. Sen takia on tärkeää hoitaa ne asianmukaisella tavalla.
Vähentääksesi suutulehdusten riskiä, on tärkeää huolehtia hyvästä suuhygieniasta. Sinun tulisi käydä hammaslääkärissä säännöllisin väliajoin.
Hampaasi ovat jatkuvasti tekemisissä ruoantähteiden, bakteerien, syljen ja muiden komponenttien kanssa. Ne voivat millä vain hetkellä vaikuttaa terveyteesi tai aiheuttaa hammastulehduksen.
Ruokavaliosi sekä hygieniatapasi auttavat sinua pitämään suusi puhtaana ja terveenä. Joskus suusi ympäristö kuitenkin muuttuu. Se aiheuttaa tulehduksia, joiden suhteen sinun tulee olla varovainen.
Ne voivat olla lieviä tai vakavia. Itse asiassa joissakin tapauksissa ne vaarantavat koko kehosi terveyden.
Huolestuttavinta on se, että jos et huolehdi niistä ajallaan, voivat ne aiheuttaa vakavaa kipua ja jopa hampaidesi menetystä.
Tämän takia on tärkeää tietää tulehduksen oireet. Hae ennen kaikkea ammattilaisen apua yrittäessäsi tunnistaa ongelman.
Hammastulehduksen oireet
1. Pahanhajuinen hengitys

Halitoosi on yksi ilmeisimmistä hammastulehduksen oireista.
Sitä aiheuttaa liian suuri bakteerien määrä, etenkin alueilla joihin hammasharja ei yllä ja joihin jää ruoantähteitä.
Tätä voidaan yleensä hallita suuhygieniatuotteilla. Se kuitenkin ilmaantuu uudelleen ja uudelleen, kunnes pääset eroon tulehduksesta.
Sen ilmestyminen voi merkitä:
- Ientulehdusta
- Reikiintymistä
- Hammaspaiseita
- Bakteerista hammaskiveä
- Syljen muutosta
2. Hammaskiilteen kuluminen
Kun kärsit hammastulehduksesta, suussasi olevat bakteerit tuottavat happoa. Tämä happo kuluttaa hammaskiillettä, joka suojaa hampaitasi.
- Nämä aineet kerääntyvät kovan plakin muodossa. Se aiheuttaa joistakin ruoantähteistä syntyviä keltaisia läikkiä.
- Tulehduksen hallitsemattomuus voi aiheuttaa vakavaa hampaan heikkenemistä. Se voi saada sen menettämään tiheytensä ja hajoamaan.
3. Leuka- ja hammaskipu

Kivun tunne leuassa ja hampaissa, joko jatkuvasti tai tilapäisesti, voi olla myös merkki tulehduksesta. Se voi olla oire parodontologisesta taudista tai hammastulehduksesta.
- Yleisesti ottaen tällaisessa on kyse plakin kerääntymisestä.
- Voi myös olla kyse ruoantähteistä, jotka tekevät tämän bakteerin kasvusta helpomman.
Hammaslääkärin tulisi tutkia tällaiset tapaukset. Sitä voivat nimittäin aiheuttaa useat suun taudit tai vauriot.
4. Vertavuotavat ikenet
Ikenet vuotavat verta silloin, kun ne ovat kokeneet jonkinlaisen vaurion tai tulehduksen.
- On normaalia havaita sitä aina silloin tällöin harjatessasi hampaitasi tai käyttäessäsi hammaslankaa. Voit jopa havaita sitä tiettyjä ruokia syödessäsi. Jos kuitenkin huomaat sitä usein, tulisi sinun käydä tarkistuttamassa se.
- Sen pääaiheuttajana ovat myrkyt, jotka aiheuttavat plakkia hampaissasi.
5. Tulehdus ja punaisuus

Parodontologinen tulehdus, johon kuuluu myös reikiintyminen, aiheuttaa ikenien tulehdusta ja punaisuutta. Siihen liittyy lähes aina kipua.
- On tärkeää huolehtia siitä nopeasti ehkäistäksesi komplikaatioita. Turvotus voi nimittäin levitä leukaluihisi.
6. Löysät hampaat
Löysien hampaiden tunne on riittävä syy mennä hammaslääkäriin.
- Tämä merkitsee hammastulehduksen edistymistä. Samaan aikaan se kertoo sinulle, että hampaitasi tukeva luurakenne on heikentymässä.
- Näin voi käydä, kun et huolehdi ientulehduksesta ajoissa. Se voi muuttua sitten parodontologiseksi.
- Tämä sairaus voi saada kyseisen alueen hampaat liikkumaan. Vakavissa tapauksissa se voi aiheuttaa luun heikkenemistä.
7. Hammasmätä

Hammasmädän ilmestyminen ikeniisi on merkki, joka varoittaa sinua mahdollisesta parodontologisesta taudista.
Se on immuunijärjestelmän vastaus tulehdusta aiheuttavien patogeenisten bakteerien hyökkäykseen.
- Ne voivat aluksi aiheuttaa “pusseja”. Näitä pusseja kutsutaan paiseiksi ja ne koostuvat verestä ja hammasmädästä.
- Kyseessä on monimutkainen tauti ja ammattilaisen pitäisi hoitaa se. Jos sitä ei hoideta ajoissa, voi se aiheuttaa peruuttamatonta vahinkoa.
- Tartunta voi alkaa tuhota luuta, joka tukee hampaitasi.
Tärkeää!
Kaikki epäilyt hampaidesi tai ikeniesi kunnosta tulisi käydä tarkistuttamassa ammattilaisella. Nämä ongelmat voivat pahentua nopeasti.
Suussasi olevat tulehdukset voivat alkaa vaikuttaa muihin tärkeisiin elimiisi verenkierron välityksellä. Sen takia on tärkeää hoitaa ne asianmukaisella tavalla.
Vähentääksesi suutulehdusten riskiä, on tärkeää huolehtia hyvästä suuhygieniasta. Sinun tulisi käydä hammaslääkärissä säännöllisin väliajoin.
Kaikki lainatut lähteet tarkistettiin perusteellisesti tiimimme toimesta varmistaaksemme niiden laadun, luotettavuuden, ajantasaisuuden ja pätevyyden. Tämän artikkelin bibliografia katsottiin luotettavaksi ja akateemisesti tai tieteellisesti tarkaksi.
- Manriv, N. (2010). La enfermedad periodontal, Enfermedad de las encías. National Institute of Dental and Craniofacial Research 14.
- Herrera González, D., Roldán Díaz, S., and Sanz Alonso, M. (2003). El absceso periodontal. Periodoncia 13, 7–20.
- Aylıkcı BU, Colak H. Halitosis: From diagnosis to management. J Nat Sci Biol Med. 2013;4(1):14–23. doi:10.4103/0976-9668.107255
- Erazo D, Whetstone DR. Dental Infections. [Updated 2019 Nov 11]. In: StatPearls [Internet]. Treasure Island (FL): StatPearls Publishing; 2019 Jan-. Available from: https://www.ncbi.nlm.nih.gov/books/NBK542165/
- Riverón, J., Rodríguez, A., Coutin, G., and Riveron, F. (2003). Factores de riesgo asociados con la enfermedad caries dental en niños.
- Alvares, O. F. (2018). Periodontal diseases. In Nutritional Aspects of Aging: Volume 2. https://doi.org/10.1201/9781351075145
- 
InformedHealth.org [Internet]. Cologne, Germany: Institute for Quality and Efficiency in Health Care (IQWiG); 2006-. Gingivitis and periodontitis: Overview. 2011 Oct 5 [Updated 2014 Jun 18]. Available from: https://www.ncbi.nlm.nih.gov/books/NBK279593/
Tämä teksti on tarkoitettu vain tiedoksi eikä se korvaa ammattilaisen konsultaatiota. Jos sinulla on kysyttävää, konsultoi asiantuntijaasi.







