Ptoosi eli roikkuvat silmäluomet


Tarkistanut ja hyväksynyt: sairaanhoitaja Leidy Mora Molina
Silmäluomet ovat liikkuvia rakenteita, jotka peittävät silmämunat. Ne auttavat suojaamaan sidekalvoa ja sarveiskalvoa. Ne voivat menettää liikkuvuutensa tai pudota epänormaalisti, mikä vaikuttaa negatiivisesti näköön.
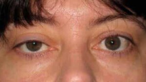
Silmäluomen ptoosi tai roikkuva silmäluomi on tila, jossa toinen tai molemmat yläluomet laskeutuvat normaalia enemmän. Se voi tapahtua molempia sukupuolia edustaville ihmisille ja kenelle tahansa missä tahansa iässä. Se on kuitenkin yleisempi vanhemmilla aikuisilla. Lisäksi tila voi olla lievä ja tuskin havaittavissa tai vakava ongelma, joka vaikuttaa henkilön kykyyn nähdä.
Yleensä se tapahtuu, kun silmäluomien lihakset alkavat heiketä. Lisäksi se voi johtua hermopolkujen vauriosta tai silmäluomen muodostavan ihon kimmoisuuden menetyksestä. Vaikka et voi täysin estää tätä ongelmaa, tämän tilan varhainen lääketieteellinen ja kirurginen hoito voi auttaa välttämään komplikaatioita.
Ptoosin eli roikkuvan silmäluomen syyt ja riskitekijät
Useat olosuhteet voivat aiheuttaa silmäluomen ptoosin. Tutkimukset osoittavat, että sen alkuperä voi olla synnynnäinen tai hankittu. Myös ihmisen luonnollinen ikääntymisprosessi vaikuttaa.
Lisäksi roikkuvat silmäluomet voivat johtua seuraavista syistä:
- Aponeuroottinen: Tämä tapahtuu silmäluomen lihaksen jatkuvan venytyksen ja heikkenemisen yhteydessä. Se on yksi yleisimmistä silmäluomien roikkumisen syistä ja se liittyy vanhuuteen, jäykkien piilolinssien pitkäaikaiseen käyttöön ja toistuvaan silmien hankaukseen.
- Neurogeeninen: Tämä on seurausta silmäluomen liikettä säätelevien hermopolkujen vauriosta. Tämä tila esiintyy kolmannen aivohermon tai yhteisen silmämotorisen hermon tasolla. Lisäksi se on yleinen Hornerin oireyhtymän, myasthenia graviksen ja kasvohalvauksen yhteydessä.
- Myogeeninen: Tämä liittyy systeemisiin tiloihin, jotka edistävät progressiivista lihasdystrofiaa ja -heikkoutta. Tästä johtuen silmäluomen lihas ei pysty hoitamaan tehtäviään.
- Mekaaninen: Tämä on seurausta silmäluomen kasvusta joka voi johtua massasta, kystasta tai kasvaimesta.
- Traumaattinen: Tämä kehittyy silmämunaan kohdistuneen ulkoisen vamman seurauksena. Trauma voi vaikuttaa suoraan lihakseen, hermopolkuun, faskiaan tai niiden yhdistelmään.
Vastasyntyneillä roikkuva silmäluomi voi olla seurausta synnynnäisestä epämuodostuksesta tai kohdunsisäisestä kehityshäiriöstä. Näissä tapauksissa on tärkeää toimia nopeasti, jotta voidaan välttää pitkäaikaiset komplikaatiot, kuten toiminnallinen heikkonäköisyys eli amblyopia.

Lue myös: Silmänsisäinen linssileikkaus
Kuka voi sairastua?
Yleensä silmäluomen ptoosi vaikuttaa miehiin ja naisiin yhtäläisesti. Lisäksi se voi tapahtua milloin tahansa elämässä. Se on kuitenkin yleisempää vanhuksilla.
Samoin tämä ongelma liittyy seuraaviin olosuhteisiin:
- Näärännäppy
- Silmäluomen kasvain
- Aiempi korjaava silmäleikkaus
- Diabetes mellitus
- Lihassurkastumatauti
- Aivoverisuonitauti
- Bellin halvaus
Roikkuviin silmäluomiin liittyvät oireet ja merkit
Ptoosin ilmeisin kliininen ilmentymä on ylemmän silmäluomen roikkuminen. Tämän seurauksena se voi peittää silmän osittain tai kokonaan. Sen laskeutumisaste vaihtelee lievästä vakavaan, ja se voi vaikuttaa yhteen tai molempiin silmiin.
Jotkut tutkimukset osoittavat, että yksi roikkuva silmäluomi on yleisin, ja se on erityisen yleistä vasemmassa silmässä. Lisäksi seuraavat oireet ovat yleisiä:
- Painon tai paineen tunne silmämunassa
- Jatkuva ärsytys
- Kuivat silmät
- Näkökyvyn väheneminen
- Toistuva pään kallistus nähdäksesi paremmin
Joskus roikkuvat silmäluomet sekoitetaan dermatokalaasiaan. Tämä on sidekudossairaus, jossa yläluomessa on liiallisia ihopoimuja.
Mahdolliset seuraukset
Ptoosin pääkomplikaatio on näön menetys yhdessä tai molemmissa silmissä. Aikuisilla se voi haitata näköä ja vaikuttaa kykyyn suorittaa päivittäisiä toimintoja.
Toisaalta amblyopia on näön kypsymishäiriö, joka vaikuttaa yleensä kouluikäisiin lapsiin. Tässä tilanteessa valo ei pääse pupillin läpi. Lisäksi tutkimukset viittaavat siihen, että muut sairaudet, kuten strabismus ja astigmatismi, edistävät ptoosista johtuvaa amblyopiaa.
Milloin hakea lääkärin apua?
Yleensä roikkuva silmäluomi, joka ilmenee ilman mitään näkyvää ulkoista syytä, on merkki jostain taustalla olevasta sairaudesta. Tästä syystä on tärkeää hakeutua lääkärin hoitoon mahdollisimman pian. Jos et tee niin, roikkuva silmäluomesi voi aiheuttaa epämukavuutta silmässä, sekä silmän vuotamista. Lisäksi näkökyvyn heikkeneminen on usein hälyttävä oire, joka vaatii välitöntä huomiota.
Sinun tulee ottaa yhteyttä terveydenhuollon ammattilaiseen, jos ptoosi johtuu silmään kohdistuneesta iskusta. Fyysiset iskut vaarantavat erittäin herkät hermorakenteet ja liittyvät muiden kudosten vaurioitumiseen.
Diagnostiset testit
Silmälääkäri on erikoislääkäri, joka vastaa silmävammojen tai -sairauksien hoidosta. Lääkärin tulee tehdä fyysinen tarkastus ja kysyä potilaan sairaushistoriaa. Tämä auttaa heitä tunnistamaan riippuvan silmäluomen aiheuttajan.
Aivohermojen neurologinen tutkimus ja nivelten arviointi ovat välttämättömiä hermovaurioiden tai lihashäiriöiden vahvistamiseksi sekä hallitsemiseksi. Voidaan myös suorittaa silmänpohjan tutkimus lääkärintarkastuksen aikana. Tämä testi osoittaa mahdolliset muutokset näköhermossa ja verkkokalvon parenkyymissä.
Lisäksi asiantuntija voi ohjata verikokeisiin ja kuvantamiskokeisiin, koska ne näyttävät laajemman profiilin tilasta. Magneettikuvaus ja tietokonetomografia auttavat ammattilaista tunnistamaan aivoverisuonitapahtumat ja aivokasvaimet.
Tensilon-testi on toinen hyödyllinen työkalu silmäluomen ptoosin diagnosoimiseksi. Se koostuu edrofoniumin, lääkkeen, joka parantaa lihasten supistumista estämällä asetyylikoliiniesteraasientsyymiä, antamisesta parenteraalisesti. Lääkärisi tutkii, parantaako lääke roikkuvan silmäluomen ja lihasheikkoutta.
Hoitomuodot ptoosin tai roikkuvan silmäluomen hoitoon
Roikkuvan silmäluomen hoito riippuu taustalla olevasta sairaudesta ja sen vakavuuden tasosta. Joissakin tapauksissa ongelman korjaaminen voi vaatia tavanomaisia menetelmiä tai kirurgisia toimenpiteitä. Suurin osa potilaista tarvitsee leikkausta.
Ei-kirurginen hoitomuoto
Tällä hetkellä ptoosisauvat ovat yksi tehokkaimmista ei-invasiivisista menetelmistä roikkuvien silmäluomien hallinnassa. Ne lisätään yleensä potilaan silmälaseihin ja ne tukevat silmäluomea ja laajentavat näkökenttääsi. Silmälääkärisi tulee säätää ne sinulle sopiviksi.
Lisäksi asiantuntija voi määrätä B12-vitamiinia ihmisille, joilla on hermo-lihassairauksia. Tämä vitamiini edistää hermoston palautumista ja voi parantaa hankittuja neurogeenisen ptoosin tapauksia.
Kirurginen hoitomuoto
Jos sinulla on ptoosin pitkälle edennyt vaihe tai jos sinulla on näköhäiriöitä, sinun on tehtävä leikkaus. Toimenpide koostuu silmäluomen korjaamisesta ja nostamisesta optimaaliseen asentoon. Näin ammattilainen voi nopeasti parantaa potilaan estetiikkaa ja visuaalisia kykyjä.
Lisäksi asiantuntija voi suositella leikkausta lapsille, joilla on synnynnäinen ptoosi, amblyopian ennaltaehkäisevänä hoitona. Tämä toimenpide voi kuitenkin aiheuttaa haittavaikutuksia, kuten epäsymmetriset silmäluomet, silmäluomien liikkumattomuus ja silmien kuivuus.

Lue myös: Silmäluomien tulehdus: oireet ja hoito
Elämä roikkuvien silmäluomien kanssa
Yleensä silmäluomien ptoosi ei vaikuta potilaan yleiseen terveyteen. Se on enimmäkseen kosmeettinen ongelma. Tämän tilan nopea eteneminen ilman hoitoa voi kuitenkin vaarantaa potilaan näkökyvyn. Näissä tapauksissa ennuste riippuu taustalla olevasta syystä ja sen vakavuudesta.
Korjausleikkaus tarjoaa yleensä tyydyttäviä tuloksia suurimmalle osalle potilaista. On tärkeää huomata, että tätä toimenpidettä ei suositella iäkkäille aikuisille siihen liittyvien komplikaatioiden vuoksi. On myös muita perinteisiä menetelmiä, jotka voivat lievittää oireita, kuten akupunktio ja silmäluomia vahvistavat harjoitukset.
Yhteenveto
Roikkuvat silmäluomet kehittyvät yleensä vähitellen, jolloin silmän limakalvon ja näkökyvyn muutokset ovat vähäisiä. Tämän vuoksi se voi jäädä huomaamatta varsinkin vanhuksilla. Silmäluomen ptoosi voi kuitenkin ilmetä myös neurologisen vamman tai aivohalvauksen seurauksena.
Siksi sinun tulee hakea ammattiapua, jos tähän tilaan liittyy raajojen voimattomuutta, kouristuksia, kasvojen ilmeen poikkeamia ja puhehäiriöitä. Varhainen diagnosointi vaikuttaa merkittävästi sairauden ennusteeseen.
Silmäluomet ovat liikkuvia rakenteita, jotka peittävät silmämunat. Ne auttavat suojaamaan sidekalvoa ja sarveiskalvoa. Ne voivat menettää liikkuvuutensa tai pudota epänormaalisti, mikä vaikuttaa negatiivisesti näköön.
Silmäluomen ptoosi tai roikkuva silmäluomi on tila, jossa toinen tai molemmat yläluomet laskeutuvat normaalia enemmän. Se voi tapahtua molempia sukupuolia edustaville ihmisille ja kenelle tahansa missä tahansa iässä. Se on kuitenkin yleisempi vanhemmilla aikuisilla. Lisäksi tila voi olla lievä ja tuskin havaittavissa tai vakava ongelma, joka vaikuttaa henkilön kykyyn nähdä.
Yleensä se tapahtuu, kun silmäluomien lihakset alkavat heiketä. Lisäksi se voi johtua hermopolkujen vauriosta tai silmäluomen muodostavan ihon kimmoisuuden menetyksestä. Vaikka et voi täysin estää tätä ongelmaa, tämän tilan varhainen lääketieteellinen ja kirurginen hoito voi auttaa välttämään komplikaatioita.
Ptoosin eli roikkuvan silmäluomen syyt ja riskitekijät
Useat olosuhteet voivat aiheuttaa silmäluomen ptoosin. Tutkimukset osoittavat, että sen alkuperä voi olla synnynnäinen tai hankittu. Myös ihmisen luonnollinen ikääntymisprosessi vaikuttaa.
Lisäksi roikkuvat silmäluomet voivat johtua seuraavista syistä:
- Aponeuroottinen: Tämä tapahtuu silmäluomen lihaksen jatkuvan venytyksen ja heikkenemisen yhteydessä. Se on yksi yleisimmistä silmäluomien roikkumisen syistä ja se liittyy vanhuuteen, jäykkien piilolinssien pitkäaikaiseen käyttöön ja toistuvaan silmien hankaukseen.
- Neurogeeninen: Tämä on seurausta silmäluomen liikettä säätelevien hermopolkujen vauriosta. Tämä tila esiintyy kolmannen aivohermon tai yhteisen silmämotorisen hermon tasolla. Lisäksi se on yleinen Hornerin oireyhtymän, myasthenia graviksen ja kasvohalvauksen yhteydessä.
- Myogeeninen: Tämä liittyy systeemisiin tiloihin, jotka edistävät progressiivista lihasdystrofiaa ja -heikkoutta. Tästä johtuen silmäluomen lihas ei pysty hoitamaan tehtäviään.
- Mekaaninen: Tämä on seurausta silmäluomen kasvusta joka voi johtua massasta, kystasta tai kasvaimesta.
- Traumaattinen: Tämä kehittyy silmämunaan kohdistuneen ulkoisen vamman seurauksena. Trauma voi vaikuttaa suoraan lihakseen, hermopolkuun, faskiaan tai niiden yhdistelmään.
Vastasyntyneillä roikkuva silmäluomi voi olla seurausta synnynnäisestä epämuodostuksesta tai kohdunsisäisestä kehityshäiriöstä. Näissä tapauksissa on tärkeää toimia nopeasti, jotta voidaan välttää pitkäaikaiset komplikaatiot, kuten toiminnallinen heikkonäköisyys eli amblyopia.

Lue myös: Silmänsisäinen linssileikkaus
Kuka voi sairastua?
Yleensä silmäluomen ptoosi vaikuttaa miehiin ja naisiin yhtäläisesti. Lisäksi se voi tapahtua milloin tahansa elämässä. Se on kuitenkin yleisempää vanhuksilla.
Samoin tämä ongelma liittyy seuraaviin olosuhteisiin:
- Näärännäppy
- Silmäluomen kasvain
- Aiempi korjaava silmäleikkaus
- Diabetes mellitus
- Lihassurkastumatauti
- Aivoverisuonitauti
- Bellin halvaus
Roikkuviin silmäluomiin liittyvät oireet ja merkit
Ptoosin ilmeisin kliininen ilmentymä on ylemmän silmäluomen roikkuminen. Tämän seurauksena se voi peittää silmän osittain tai kokonaan. Sen laskeutumisaste vaihtelee lievästä vakavaan, ja se voi vaikuttaa yhteen tai molempiin silmiin.
Jotkut tutkimukset osoittavat, että yksi roikkuva silmäluomi on yleisin, ja se on erityisen yleistä vasemmassa silmässä. Lisäksi seuraavat oireet ovat yleisiä:
- Painon tai paineen tunne silmämunassa
- Jatkuva ärsytys
- Kuivat silmät
- Näkökyvyn väheneminen
- Toistuva pään kallistus nähdäksesi paremmin
Joskus roikkuvat silmäluomet sekoitetaan dermatokalaasiaan. Tämä on sidekudossairaus, jossa yläluomessa on liiallisia ihopoimuja.
Mahdolliset seuraukset
Ptoosin pääkomplikaatio on näön menetys yhdessä tai molemmissa silmissä. Aikuisilla se voi haitata näköä ja vaikuttaa kykyyn suorittaa päivittäisiä toimintoja.
Toisaalta amblyopia on näön kypsymishäiriö, joka vaikuttaa yleensä kouluikäisiin lapsiin. Tässä tilanteessa valo ei pääse pupillin läpi. Lisäksi tutkimukset viittaavat siihen, että muut sairaudet, kuten strabismus ja astigmatismi, edistävät ptoosista johtuvaa amblyopiaa.
Milloin hakea lääkärin apua?
Yleensä roikkuva silmäluomi, joka ilmenee ilman mitään näkyvää ulkoista syytä, on merkki jostain taustalla olevasta sairaudesta. Tästä syystä on tärkeää hakeutua lääkärin hoitoon mahdollisimman pian. Jos et tee niin, roikkuva silmäluomesi voi aiheuttaa epämukavuutta silmässä, sekä silmän vuotamista. Lisäksi näkökyvyn heikkeneminen on usein hälyttävä oire, joka vaatii välitöntä huomiota.
Sinun tulee ottaa yhteyttä terveydenhuollon ammattilaiseen, jos ptoosi johtuu silmään kohdistuneesta iskusta. Fyysiset iskut vaarantavat erittäin herkät hermorakenteet ja liittyvät muiden kudosten vaurioitumiseen.
Diagnostiset testit
Silmälääkäri on erikoislääkäri, joka vastaa silmävammojen tai -sairauksien hoidosta. Lääkärin tulee tehdä fyysinen tarkastus ja kysyä potilaan sairaushistoriaa. Tämä auttaa heitä tunnistamaan riippuvan silmäluomen aiheuttajan.
Aivohermojen neurologinen tutkimus ja nivelten arviointi ovat välttämättömiä hermovaurioiden tai lihashäiriöiden vahvistamiseksi sekä hallitsemiseksi. Voidaan myös suorittaa silmänpohjan tutkimus lääkärintarkastuksen aikana. Tämä testi osoittaa mahdolliset muutokset näköhermossa ja verkkokalvon parenkyymissä.
Lisäksi asiantuntija voi ohjata verikokeisiin ja kuvantamiskokeisiin, koska ne näyttävät laajemman profiilin tilasta. Magneettikuvaus ja tietokonetomografia auttavat ammattilaista tunnistamaan aivoverisuonitapahtumat ja aivokasvaimet.
Tensilon-testi on toinen hyödyllinen työkalu silmäluomen ptoosin diagnosoimiseksi. Se koostuu edrofoniumin, lääkkeen, joka parantaa lihasten supistumista estämällä asetyylikoliiniesteraasientsyymiä, antamisesta parenteraalisesti. Lääkärisi tutkii, parantaako lääke roikkuvan silmäluomen ja lihasheikkoutta.
Hoitomuodot ptoosin tai roikkuvan silmäluomen hoitoon
Roikkuvan silmäluomen hoito riippuu taustalla olevasta sairaudesta ja sen vakavuuden tasosta. Joissakin tapauksissa ongelman korjaaminen voi vaatia tavanomaisia menetelmiä tai kirurgisia toimenpiteitä. Suurin osa potilaista tarvitsee leikkausta.
Ei-kirurginen hoitomuoto
Tällä hetkellä ptoosisauvat ovat yksi tehokkaimmista ei-invasiivisista menetelmistä roikkuvien silmäluomien hallinnassa. Ne lisätään yleensä potilaan silmälaseihin ja ne tukevat silmäluomea ja laajentavat näkökenttääsi. Silmälääkärisi tulee säätää ne sinulle sopiviksi.
Lisäksi asiantuntija voi määrätä B12-vitamiinia ihmisille, joilla on hermo-lihassairauksia. Tämä vitamiini edistää hermoston palautumista ja voi parantaa hankittuja neurogeenisen ptoosin tapauksia.
Kirurginen hoitomuoto
Jos sinulla on ptoosin pitkälle edennyt vaihe tai jos sinulla on näköhäiriöitä, sinun on tehtävä leikkaus. Toimenpide koostuu silmäluomen korjaamisesta ja nostamisesta optimaaliseen asentoon. Näin ammattilainen voi nopeasti parantaa potilaan estetiikkaa ja visuaalisia kykyjä.
Lisäksi asiantuntija voi suositella leikkausta lapsille, joilla on synnynnäinen ptoosi, amblyopian ennaltaehkäisevänä hoitona. Tämä toimenpide voi kuitenkin aiheuttaa haittavaikutuksia, kuten epäsymmetriset silmäluomet, silmäluomien liikkumattomuus ja silmien kuivuus.

Lue myös: Silmäluomien tulehdus: oireet ja hoito
Elämä roikkuvien silmäluomien kanssa
Yleensä silmäluomien ptoosi ei vaikuta potilaan yleiseen terveyteen. Se on enimmäkseen kosmeettinen ongelma. Tämän tilan nopea eteneminen ilman hoitoa voi kuitenkin vaarantaa potilaan näkökyvyn. Näissä tapauksissa ennuste riippuu taustalla olevasta syystä ja sen vakavuudesta.
Korjausleikkaus tarjoaa yleensä tyydyttäviä tuloksia suurimmalle osalle potilaista. On tärkeää huomata, että tätä toimenpidettä ei suositella iäkkäille aikuisille siihen liittyvien komplikaatioiden vuoksi. On myös muita perinteisiä menetelmiä, jotka voivat lievittää oireita, kuten akupunktio ja silmäluomia vahvistavat harjoitukset.
Yhteenveto
Roikkuvat silmäluomet kehittyvät yleensä vähitellen, jolloin silmän limakalvon ja näkökyvyn muutokset ovat vähäisiä. Tämän vuoksi se voi jäädä huomaamatta varsinkin vanhuksilla. Silmäluomen ptoosi voi kuitenkin ilmetä myös neurologisen vamman tai aivohalvauksen seurauksena.
Siksi sinun tulee hakea ammattiapua, jos tähän tilaan liittyy raajojen voimattomuutta, kouristuksia, kasvojen ilmeen poikkeamia ja puhehäiriöitä. Varhainen diagnosointi vaikuttaa merkittävästi sairauden ennusteeseen.
Kaikki lainatut lähteet tarkistettiin perusteellisesti tiimimme toimesta varmistaaksemme niiden laadun, luotettavuuden, ajantasaisuuden ja pätevyyden. Tämän artikkelin bibliografia katsottiin luotettavaksi ja akateemisesti tai tieteellisesti tarkaksi.
- Novo Torres A, Salvador Sanz J, Lorda Barraguer E, Laredo Ortiz C. Corrección de ptosis palpebral por la incisión de blefaroplastia. Cir. plást. iberolatinoam. 2006; 32( 3 ): 179-184.
- Negrin-Cáceres Y, Cabrera-Romero A, Cárdenas-Monzón L, Figueroa-Padilla M. Comportamiento clínico-quirúrgico de la ptosis palpebral en la consulta de Cirugía Plástica Ocular. Medicentro Electrónica. 2016; 20( 1 ): 18-26.
- Pérez-Íñigo M, González I, Mayoral F, Ferrer C, Honrubia F.M. Estudio comparativo de los defectos de refracción en niños con ptosis miogénica congénita simple y niños control. Arch Soc Esp Oftalmol. 2008; 83( 10 ): 601-606.
- Finsterer J. Ptosis: causes, presentation, and management. Aesthetic Plast Surg. 2003;27(3):193-204.
- SooHoo JR, Davies BW, Allard FD, Durairaj VD. Congenital ptosis. Surv Ophthalmol. 2014;59(5):483-92.
- Ng J, Hauck MJ. Ptosis repair. Facial Plast Surg. 2013;29(1):22-5.
- Vidal Pérez, Teresa, et al. “Efectividad de la digitopuntura y electromagnetopuntura en pacientes con ptosis palpebral congénita.” Medisan 15.10 (2011): 1384-1391.
- Novo Torres A, Salvador Sanz J, Lorda Barraguer E, Laredo Ortiz C. Corrección de ptosis palpebral por la incisión de blefaroplastia. Cir. plást. iberolatinoam. 2006; 32( 3 ): 179-184.
- Becerra EM, Blanco G, Muiños Y, Bianciotto C. Tratamiento quirúrgico de ptosis palpebral miogénica adquirida. Arch Soc Esp Oftalmol. 2005; 80( 6 ): 359-364.
Tämä teksti on tarkoitettu vain tiedoksi eikä se korvaa ammattilaisen konsultaatiota. Jos sinulla on kysyttävää, konsultoi asiantuntijaasi.







