Miten fluori auttaa ehkäisemään hampaiden reikiä?

Fluori auttaa ehkäisemään hampaiden reikiä. Hampaiden harjaamisen ja oikeanlaisen ruokavalion lisäksi fluori onkin yksi tärkeimpiä keinoja hoitaa suun terveyttä.
Tiedätkö, miten ja milloin sitä käytetään? Voiko sen käyttö olla joissakin tapauksissa haitallista?
Näihin kysymyksiin on hyvä tietää vastaukset, minkä vuoksi annamme aiheesta tärkeää tietoa tässä artikkelissa.
Mitä on fluori?
Fluori on luonnollinen mineraali, jota esiintyy maaperässä, vedessä ja joissakin ruoissa. Sitä on eläinperäisissä tuotteissa, kuten lohessa, sardiineissa ja maksassa, sekä kasviperäisissä tuotteissa, kuten teessä, tomaateissa, perunoissa ja pinaatissa.
Sen lisäksi, että fluoria saa ruokavalioon luonnollisista lähteistä, sitä voidaan myös lisätä moniin tuotteisiin. Koska fluorin on osoitettu ehkäisevän hampaiden reikiintymistä, sitä lisätään joillakin alueilla vesijohtoveteen ongelman torjumiseksi. Tällä tavoin itse juomavedessä voi olla fluoria suolojen ja kalsiumin lisäksi.
Fluoria on muun muassa hampaidenhoitotuotteissa, kuten hammastahnoissa, suuvesissä ja hammaslangassa. Sitä on myös monissa hammaslääkärien käyttämissä tuotteissa ehkäisemässä ja hoitamassa hampaiden ongelmia.
Ihmiselimistöllä on aineenvaihduntamekanisminsa, jotka säätelevät fluorin imeytymistä, käyttöä ja eritystä. Suurin osa fluorista sijaitsee luissa ja hampaissa, pieni osa pehmytkudoksissa. Ylimäärä poistuu virtsan mukana ja pienemmässä määrin hien ja ulosteiden kautta.

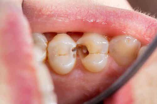
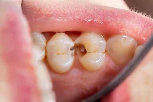
Mitä hampaiden reiät ovat?
Sekä aikuisten että lasten hampaat voivat reikiintyä. Kyseessä on tarttuva ongelma, joka vaikuttaa hampaiden pinnalla oleviin mineraaleihin. Suun mikrobit metaboloivat ruokavaliossa olevaa sokeria ja tuottavat happoja, jotka hyökkäävät hampaiden epäorgaaniseen ainekseen.
Kiilteestä liukenee mineraaleja, ja hampaiden rakenne alkaa hajota. Prosessin alkaessa hampaan pinnalla on nähtävissä läpikuultamaton valkoinen läiskä, joka muuttuu tummemmaksi vaurion edetessä.
Jos tähän ei puututa ja mineraalien liukeneminen jatkuu, hampaisiin alkaa muodostua reikä, joka kasvaa ja syvenee yhä enenevissä määrin. Myöhemmin hampaiden pinta pehmenee ja vaurio voi vaikuttaa hammasytimen alueelle. Tämä aiheuttaa kivuliaita oireita tai tulehduksen.
Sinua saattaa kiinnostaa myös: Hammaskaries: mikä hampaiden reikiintymistä aiheuttaa?
Miten fluori auttaa ehkäisemään hampaiden reikiä?
Fluori ehkäisee reikiä pääasiassa kahden toimintamekanismin kautta:
- Yhtäältä se yhdistyy kemiallisesti hammaskiilteen kiteisiin, mikä muuntaa hydroksiapatiitin fluoriapatiitiksi, aineeksi, joka estää paremmin kalsiumin liukenemista. Tämä reaktio ei ole pysyvä eikä vakaa, minkä vuoksi fluoria on saatava säännöllisesti.
- Toisaalta suussa oleva fluori vähentää bakteeriplakin aineenvaihduntaa, mikä vähentää hampaiden demineralisaatiota aiheuttavien happojen tuotantoa. Se estää myös mikrobeja kiinnittymästä toisiinsa, jolloin tämän haitallisen biofilmin on vaikea kertyä hampaan pinnoille.
Fluoria saa elimistöön pääasiassa kahdella tavalla. Yksi tapa on systeeminen, eli mineraalia saadaan juomalla fluoripitoista vettä tai syömällä sitä sisältäviä ruokia tai valmisteita. Se kulkeutuu sitten verenkierron mukana elimistöön ja asettuu hammasrakenteisiin.
Fluorin vaikutus elimistöön tätä kautta on tärkeää hampaiden tehdessä tuloaan vauvoilla ja pienillä lapsilla. Se yhdistyy nimittäin hammaskiilteen kiteisiin, minkä seurauksena kudos kestää paljon paremmin reikiintymistä.
Toinen tapa on paikallinen, eli fluoria laitetaan hampaiden pinnoille niiden puhjettua suuhun. Fluoria saadaan hampaisiin tällä tavoin sitä sisältävistä hammastahnoista, suuvesistä tai hammaslangasta. Sitä saa myös lakoista ja geeleistä hammaslääkärin vastaanotolla.
On myös hyvä mainita, että fluorilla on hoitava vaikutus hammassairauksissa, sillä se pystyy remineralisoimaan kiillettä, kun siitä on liuennut useita mineraaleja.
Liian runsaan fluorin käytön riskit
Liian runsas fluorin käyttö voi olla haitallista. Sen vaikutus hampaisiin riippuu pitkälti sen pitoisuudesta. Alhaisina pitoisuuksina sen vaikutus on hyödyllinen, mutta liian runsas käyttö voi aiheuttaa eräitä sivuvaikutuksia, kuten hampaiden vaurioita.
Fluoroosi on ongelma, joka syntyy hampaiden altistuessa liialliselle fluorille niiden muodostuessa. Hampaissa on tällöin nähtävissä valkoisia tai ruskeita laikkuja. Kiille on vaurioitunut, ja hampaassa saattaa vakavimmissa tapauksissa olla koloja tai epämuodostumia.
Joissakin paikoissa fluoria lisätään turvallisissa määrissä vesijohtoveteen hampaiden reikiintymisen vähentämiseksi väestössä. Tässä tapauksessa fluoria ei tarvitse saada fluorivalmisteista.
Fluorin optimaalinen pitoisuus juomavedessä on 0,7–1,2 milligrammaa litraa kohti (mg/l). Tällaiset pitoisuudet sekä fluorihammastahnan säännöllinen käyttö auttavat jo suojaamaan hampaita. Hammastahnoissa fluoripitoisuus on yleensä 1000–1200 ppm.
Jos juomavedessä ei ole fluoria, hammaslääkäri saattaa suositella lisäfluoria, erityisesti lapsuudessa hampaiden puhjetessa suuhun. Hammaslääkäri kertoo tarkemmin fluorin tarvittavasta määrästä ja käyttötavasta, jotka riippuvat potilaan iästä ja senhetkisestä hampaiden reikiintymisriskistä.
Jos hammaslääkäri katsoo tarpeelliseksi, hän saattaa myös ehdottaa tavanomaista fluoripitoisempien hammastahnojen tai sitä sisältävien suuvesien käyttöä.
Muita neuvoja reikiintymisen ehkäisyyn
Vaikka fluori auttaa ehkäisemään hampaiden reikiä, suun terveyden hoidosta tulisi muistaa muutakin. Alla olemme luetelleet muita tapoja ehkäistä kyseistä ongelmaa.
- Hampaiden harjaaminen: Hampaiden kaikkien pintojen huolellinen puhdistus on erittäin tärkeää reikiä aiheuttavan bakteeriplakin irrottamiseksi. Hampaat tulisi harjata vähintään kahdesti päivässä pehmeäharjaksisella hammasharjalla ja fluorihammastahnalla.
- Hammaslanka: Tätä tarvitaan hammashygienian täydentämiseen. Sen avulla päästään käsiksi niihin kohtiin, joihin hammasharja ei mahdu. Hammaslankaa tulisi käyttää vähintään kerran päivässä. Vaikeapääsyiset kohdat voi puhdistaa myös hammasväliharjalla ja suun kastelulaitteilla.
- Tasapainoinen ruokavalio: Kunnollinen ruokavalio sekä yksinkertaisten sokerien, ultraprosessoitujen elintarvikkeiden ja virvoitusjuomien välttäminen auttavat ehkäisemään reikiä.
- Sokerittoman purukumin pureskelu: Pureskelu lisää syljeneritystä ja puhdistaa näin hampaita. Purukumeissa on yleensä sokerin korvikkeita kuten ksylitolia, joka auttaa ehkäisemään reikiintymistä.
- Säännöllinen hammaslääkärissä käynti: Säännölliset hammastarkastukset auttavat havaitsemaan ja hoitamaan mahdolliset suun ongelmat ajoissa. Hammaslääkärin suorittamat puhdistukset ja paikalliset fluorihoidot tarjoavat lisäsuojaa hampaille.
- Hammaspinnoitteet: Hampaiden pinnoille laitetaan erityistä ainetta, jolloin ne on helpompi pitää puhtaina ja vältetään bakteerien kertyminen vaikeasti puhdistettaville alueille.
- Juo riittävästi vettä: Kserostomiasta eli suun kuivuudesta kärsivien potilaiden tulisi juoda usein vettä ja käyttää syljen korvikkeita torjumaan tätä reikiintymistä edistävää ongelmaa.
- Hoida suun pH-arvoa laskevat terveysongelmat: Esimerkiksi bulimia, anoreksia ja refluksitauti tulee tunnistaa ja hoitaa, sillä ne kaikki lisäävät reikiintymisen riskiä.

Noudata hammaslääkärin ohjeita
Fluori auttaa ehkäisemään hampaiden reikiä. Sitä kannattaakin hyödyntää suun terveyden hoidossa! Tästä huolimatta kyseisen mineraalin liikakäyttö (vaikkakaan se ei ole kovin yleistä) voi olla haitallista, erityisesti jos hampaat ovat vasta muodostumassa.
Tästä syystä suunhoidon ja reikiä ehkäisevien tuotteiden käytöstä kannattaa kysyä hammaslääkäriltä. Hammaslääkäri pystyy arvioimaan suun kunnon, elämäntapasi sekä sen, onko vesijohtovedessä fluoria vai ei, jolloin hän voi suositella parhaita tuotteita ja kertoa, millä tavoin ja miten pitkään niitä tulisi käyttää.
Paras keino suojata suuta onkin käydä säännöllisesti hammaslääkärissä. Keskustele asiantuntijan kanssa mahdollisista huolistasi koskien fluorin käyttöä ja luota hänen antamiinsa ohjeisiin, niin saat hymyn, joka tuntuu ja näyttää terveeltä!
Fluori auttaa ehkäisemään hampaiden reikiä. Hampaiden harjaamisen ja oikeanlaisen ruokavalion lisäksi fluori onkin yksi tärkeimpiä keinoja hoitaa suun terveyttä.
Tiedätkö, miten ja milloin sitä käytetään? Voiko sen käyttö olla joissakin tapauksissa haitallista?
Näihin kysymyksiin on hyvä tietää vastaukset, minkä vuoksi annamme aiheesta tärkeää tietoa tässä artikkelissa.
Mitä on fluori?
Fluori on luonnollinen mineraali, jota esiintyy maaperässä, vedessä ja joissakin ruoissa. Sitä on eläinperäisissä tuotteissa, kuten lohessa, sardiineissa ja maksassa, sekä kasviperäisissä tuotteissa, kuten teessä, tomaateissa, perunoissa ja pinaatissa.
Sen lisäksi, että fluoria saa ruokavalioon luonnollisista lähteistä, sitä voidaan myös lisätä moniin tuotteisiin. Koska fluorin on osoitettu ehkäisevän hampaiden reikiintymistä, sitä lisätään joillakin alueilla vesijohtoveteen ongelman torjumiseksi. Tällä tavoin itse juomavedessä voi olla fluoria suolojen ja kalsiumin lisäksi.
Fluoria on muun muassa hampaidenhoitotuotteissa, kuten hammastahnoissa, suuvesissä ja hammaslangassa. Sitä on myös monissa hammaslääkärien käyttämissä tuotteissa ehkäisemässä ja hoitamassa hampaiden ongelmia.
Ihmiselimistöllä on aineenvaihduntamekanisminsa, jotka säätelevät fluorin imeytymistä, käyttöä ja eritystä. Suurin osa fluorista sijaitsee luissa ja hampaissa, pieni osa pehmytkudoksissa. Ylimäärä poistuu virtsan mukana ja pienemmässä määrin hien ja ulosteiden kautta.

Mitä hampaiden reiät ovat?
Sekä aikuisten että lasten hampaat voivat reikiintyä. Kyseessä on tarttuva ongelma, joka vaikuttaa hampaiden pinnalla oleviin mineraaleihin. Suun mikrobit metaboloivat ruokavaliossa olevaa sokeria ja tuottavat happoja, jotka hyökkäävät hampaiden epäorgaaniseen ainekseen.
Kiilteestä liukenee mineraaleja, ja hampaiden rakenne alkaa hajota. Prosessin alkaessa hampaan pinnalla on nähtävissä läpikuultamaton valkoinen läiskä, joka muuttuu tummemmaksi vaurion edetessä.
Jos tähän ei puututa ja mineraalien liukeneminen jatkuu, hampaisiin alkaa muodostua reikä, joka kasvaa ja syvenee yhä enenevissä määrin. Myöhemmin hampaiden pinta pehmenee ja vaurio voi vaikuttaa hammasytimen alueelle. Tämä aiheuttaa kivuliaita oireita tai tulehduksen.
Sinua saattaa kiinnostaa myös: Hammaskaries: mikä hampaiden reikiintymistä aiheuttaa?
Miten fluori auttaa ehkäisemään hampaiden reikiä?
Fluori ehkäisee reikiä pääasiassa kahden toimintamekanismin kautta:
- Yhtäältä se yhdistyy kemiallisesti hammaskiilteen kiteisiin, mikä muuntaa hydroksiapatiitin fluoriapatiitiksi, aineeksi, joka estää paremmin kalsiumin liukenemista. Tämä reaktio ei ole pysyvä eikä vakaa, minkä vuoksi fluoria on saatava säännöllisesti.
- Toisaalta suussa oleva fluori vähentää bakteeriplakin aineenvaihduntaa, mikä vähentää hampaiden demineralisaatiota aiheuttavien happojen tuotantoa. Se estää myös mikrobeja kiinnittymästä toisiinsa, jolloin tämän haitallisen biofilmin on vaikea kertyä hampaan pinnoille.
Fluoria saa elimistöön pääasiassa kahdella tavalla. Yksi tapa on systeeminen, eli mineraalia saadaan juomalla fluoripitoista vettä tai syömällä sitä sisältäviä ruokia tai valmisteita. Se kulkeutuu sitten verenkierron mukana elimistöön ja asettuu hammasrakenteisiin.
Fluorin vaikutus elimistöön tätä kautta on tärkeää hampaiden tehdessä tuloaan vauvoilla ja pienillä lapsilla. Se yhdistyy nimittäin hammaskiilteen kiteisiin, minkä seurauksena kudos kestää paljon paremmin reikiintymistä.
Toinen tapa on paikallinen, eli fluoria laitetaan hampaiden pinnoille niiden puhjettua suuhun. Fluoria saadaan hampaisiin tällä tavoin sitä sisältävistä hammastahnoista, suuvesistä tai hammaslangasta. Sitä saa myös lakoista ja geeleistä hammaslääkärin vastaanotolla.
On myös hyvä mainita, että fluorilla on hoitava vaikutus hammassairauksissa, sillä se pystyy remineralisoimaan kiillettä, kun siitä on liuennut useita mineraaleja.
Liian runsaan fluorin käytön riskit
Liian runsas fluorin käyttö voi olla haitallista. Sen vaikutus hampaisiin riippuu pitkälti sen pitoisuudesta. Alhaisina pitoisuuksina sen vaikutus on hyödyllinen, mutta liian runsas käyttö voi aiheuttaa eräitä sivuvaikutuksia, kuten hampaiden vaurioita.
Fluoroosi on ongelma, joka syntyy hampaiden altistuessa liialliselle fluorille niiden muodostuessa. Hampaissa on tällöin nähtävissä valkoisia tai ruskeita laikkuja. Kiille on vaurioitunut, ja hampaassa saattaa vakavimmissa tapauksissa olla koloja tai epämuodostumia.
Joissakin paikoissa fluoria lisätään turvallisissa määrissä vesijohtoveteen hampaiden reikiintymisen vähentämiseksi väestössä. Tässä tapauksessa fluoria ei tarvitse saada fluorivalmisteista.
Fluorin optimaalinen pitoisuus juomavedessä on 0,7–1,2 milligrammaa litraa kohti (mg/l). Tällaiset pitoisuudet sekä fluorihammastahnan säännöllinen käyttö auttavat jo suojaamaan hampaita. Hammastahnoissa fluoripitoisuus on yleensä 1000–1200 ppm.
Jos juomavedessä ei ole fluoria, hammaslääkäri saattaa suositella lisäfluoria, erityisesti lapsuudessa hampaiden puhjetessa suuhun. Hammaslääkäri kertoo tarkemmin fluorin tarvittavasta määrästä ja käyttötavasta, jotka riippuvat potilaan iästä ja senhetkisestä hampaiden reikiintymisriskistä.
Jos hammaslääkäri katsoo tarpeelliseksi, hän saattaa myös ehdottaa tavanomaista fluoripitoisempien hammastahnojen tai sitä sisältävien suuvesien käyttöä.
Muita neuvoja reikiintymisen ehkäisyyn
Vaikka fluori auttaa ehkäisemään hampaiden reikiä, suun terveyden hoidosta tulisi muistaa muutakin. Alla olemme luetelleet muita tapoja ehkäistä kyseistä ongelmaa.
- Hampaiden harjaaminen: Hampaiden kaikkien pintojen huolellinen puhdistus on erittäin tärkeää reikiä aiheuttavan bakteeriplakin irrottamiseksi. Hampaat tulisi harjata vähintään kahdesti päivässä pehmeäharjaksisella hammasharjalla ja fluorihammastahnalla.
- Hammaslanka: Tätä tarvitaan hammashygienian täydentämiseen. Sen avulla päästään käsiksi niihin kohtiin, joihin hammasharja ei mahdu. Hammaslankaa tulisi käyttää vähintään kerran päivässä. Vaikeapääsyiset kohdat voi puhdistaa myös hammasväliharjalla ja suun kastelulaitteilla.
- Tasapainoinen ruokavalio: Kunnollinen ruokavalio sekä yksinkertaisten sokerien, ultraprosessoitujen elintarvikkeiden ja virvoitusjuomien välttäminen auttavat ehkäisemään reikiä.
- Sokerittoman purukumin pureskelu: Pureskelu lisää syljeneritystä ja puhdistaa näin hampaita. Purukumeissa on yleensä sokerin korvikkeita kuten ksylitolia, joka auttaa ehkäisemään reikiintymistä.
- Säännöllinen hammaslääkärissä käynti: Säännölliset hammastarkastukset auttavat havaitsemaan ja hoitamaan mahdolliset suun ongelmat ajoissa. Hammaslääkärin suorittamat puhdistukset ja paikalliset fluorihoidot tarjoavat lisäsuojaa hampaille.
- Hammaspinnoitteet: Hampaiden pinnoille laitetaan erityistä ainetta, jolloin ne on helpompi pitää puhtaina ja vältetään bakteerien kertyminen vaikeasti puhdistettaville alueille.
- Juo riittävästi vettä: Kserostomiasta eli suun kuivuudesta kärsivien potilaiden tulisi juoda usein vettä ja käyttää syljen korvikkeita torjumaan tätä reikiintymistä edistävää ongelmaa.
- Hoida suun pH-arvoa laskevat terveysongelmat: Esimerkiksi bulimia, anoreksia ja refluksitauti tulee tunnistaa ja hoitaa, sillä ne kaikki lisäävät reikiintymisen riskiä.

Noudata hammaslääkärin ohjeita
Fluori auttaa ehkäisemään hampaiden reikiä. Sitä kannattaakin hyödyntää suun terveyden hoidossa! Tästä huolimatta kyseisen mineraalin liikakäyttö (vaikkakaan se ei ole kovin yleistä) voi olla haitallista, erityisesti jos hampaat ovat vasta muodostumassa.
Tästä syystä suunhoidon ja reikiä ehkäisevien tuotteiden käytöstä kannattaa kysyä hammaslääkäriltä. Hammaslääkäri pystyy arvioimaan suun kunnon, elämäntapasi sekä sen, onko vesijohtovedessä fluoria vai ei, jolloin hän voi suositella parhaita tuotteita ja kertoa, millä tavoin ja miten pitkään niitä tulisi käyttää.
Paras keino suojata suuta onkin käydä säännöllisesti hammaslääkärissä. Keskustele asiantuntijan kanssa mahdollisista huolistasi koskien fluorin käyttöä ja luota hänen antamiinsa ohjeisiin, niin saat hymyn, joka tuntuu ja näyttää terveeltä!
Kaikki lainatut lähteet tarkistettiin perusteellisesti tiimimme toimesta varmistaaksemme niiden laadun, luotettavuuden, ajantasaisuuden ja pätevyyden. Tämän artikkelin bibliografia katsottiin luotettavaksi ja akateemisesti tai tieteellisesti tarkaksi.
- Guerrero-Concepción, Alexander, and Roger Domínguez-Guerrero. “Fluorosis dental y su prevención en la atención primaria de salud.” Revista Electrónica Dr. Zoilo E. Marinello Vidaurreta 43.3 (2018).
- JUDITH, ARJONA SERRANO. “PREVENCION DE FLUOROSIS DENTAL.” (2019).
- Brandt, Lorenna Mendes Temóteo, et al. “Relationship between risk behavior for eating disorders and dental caries and dental erosion.” The Scientific World Journal 2017 (2017).
- Lovón, Whashington E., and Rildo P. Tapia. “Tratamiento manifestaciones Clínicas Bucales de la Anorexia y Bulimia.” (2019).
- Palma-Portaro, Camila, et al. “Recomendaciones basadas en la evidencia para la prevención de caries en infantes.” Revista Odontología Pediátrica 16.2 (2017): 51-64.
- González Sanz, Ángel Miguel, Blanca Aurora González Nieto, and Esther González Nieto. “Salud dental: relación entre la caries dental y el consumo de alimentos.” Nutrición hospitalaria 28 (2013): 64-71.
- Duque de Estrada Riverón, Johany, José Alberto Pérez Quiñonez, and Iliana Hidalgo-Gato Fuentes. “Caries dental y ecología bucal, aspectos importantes a considerar.” Revista cubana de estomatología 43.1 (2006): 0-0.
- Villacís Lascano, Estela Cleofé, Catalina Del Rosario Boada Zurita, and Carlos Iván Aguirre Pinos. “El flúor en la reducción del índice de caries en niños de etapa escolar.” Dilemas Contemporáneos: Educación, Política y Valores 7 (2020).
- Bustamante, Omayra Cova, et al. “ANTISÉPTICOS ORALES: CLORHEXIDINA, FLÚOR Y TRICLOSÁN.” Salud & Vida Sipanense 7.1 (2020): 4-16.
- Miñana, Vitoria. “El flúor oral para la prevención de caries,¿ cómo, cuándo ya quién?.” Form Act Pediatr Aten Prim 5.2 (2012): 108-13.
- Nieto Maya, Gregory Jesús. Efectividad del barniz de flúor en lesiones iniciales de caries en el periodo 2018-2020. BS thesis. Universidad de Guayaquil. Facultad Piloto de Odontología, 2020.
- Cabello Marquez, Juan José. “EFICACIA DEL USO TOPICO DE FLUOR PARA LA PREVENCIÓN DE CARIES DENTAL EN NIÑOS DE 6 AÑOS DEL CENTRO POBLADO SANTA ROSA DE SIRABAMBA, HUANUCO 2018.” (2019).
Tämä teksti on tarkoitettu vain tiedoksi eikä se korvaa ammattilaisen konsultaatiota. Jos sinulla on kysyttävää, konsultoi asiantuntijaasi.







