Mikä aivolisäkkeen adenooma on?


Tarkistanut ja hyväksynyt: lääkäri Diego Pereira
Aivolisäkkeen adenooma on hitaasti kasvava, hyvälaatuinen kasvain. Se on peräisin aivolisäkkeen muodostavista soluista. Aivolisäke säätelee kehon muiden rauhasten toimintaa, mikä tekee siitä tärkeän osan elimistöä. Aivolisäkkeen adenooma on kuitenkin suhteellisen yleinen ja sitä esiintyy noin yhdellä tuhannesta aikuisesta. Sukupuolten välillä ei ole mitään eroa, sillä se vaikuttaa yhtä lailla sekä miehiin että naisiin. Ikämuuttujien suhteen suurempaa esiintyvyyttä tapahtuu 30-40 vuoden välillä.
Yleisesti ottaen kyseessä on hyvänlaatuinen ja hitaasti kasvava kasvain. Aivolisäkkeen karsinoomat tai pahanlaatuiset kasvaimet ovat siis hyvin epätavallisia. Aivolisäkkeen adenooman todelliset aiheuttajat eivät vieläkään ole tiedossa. Joissakin tapauksissa se kuitenkin liittyy geneettiseen sairauteen nimeltä multippeli endokriininen neoplasia.
Aivolisäkkeen adenooman oireet

Tällaisista kasvaimista johtuva pääoire on hormonien erityksen vaihtelu. Aivolisäkkeen kasvainten esiintyvyydestä riippuen keho saattaa tuottaa liian paljon yhtä tai useampaa hormonia. Endokriinijärjestelmän muutoksen takia oireita voivat olla:
- Kilpirauhasen liikatoiminta: kilpirauhanen tuottaa liiallisen määrän hormoneita. (Tämä oire on melko epätavallinen aivolisäkkeen adenoomasta kärsivillä ihmisillä.)
- Cushingin oireyhtymä: kortisolihormonin taso on normaalia suurempi.
- Akromegalia: lapset, joilla on runsaasti kasvuhormonia, voivat kärsiä gigantismista. Jos näin tapahtuu aikuisilla, saattaa hänellä olla akromegalia.
- Maidon eritys ja tuotanto sekä miehillä että naisilla.
- Epäsäännölliset kuukautiset naisilla sukupuolihormonien muutoksista johtuen.
Joitakin muita oireita voi ilmestyä kun aivojen rakenteet puristuvat suuren aivolisäkkeen kasvaimen vuoksi. Niihin voi liittyä:
- Näköhäiriöitä, kuten kaksinäköä, näkökentän menetystä, roikkuvia silmäluomia tai muutoksia värinäössä.
- Päänsärkyä.
- Väsymystä ja uneliaisuutta.
- Kirkkaan nesteen valumista nenästä.
- Pahoinvointia ja oksentelua.
- Ongelmia hajuaistin kanssa.
Nämä oireet voivat olla huolestuttavia, mikäli ne ilmestyvät yhtäkkiä ja yhtä aikaa. Ne voivat myös johtaa aivolisäkkeen infarktiin. Jos huomaat näitä oireita, käy lääkärissä.
Sinua saattaa myös kiinnostaa: Nämä asiat vaikuttavat kilpirauhasen terveyteen huomaamattasi
Adenoomatyyppejä
Aivolisäkkeen adenoomat voidaan luokitella koon mukaan seuraavalla tavalla:
- Mikroadenoomat: ne ovat alle 1 cm:n kokoisia.
- Makroadenoomat: ne ovat yli 1 cm:n kokoisia. Tällainen adenoomatyyppi johtaa usein yhden tai useamman aivolisäkkeen hormonin vajeeseen.
Ne voidaan myös luokitella sen mukaan erittävätkö ne hormoneita vai eivät. Näiden kriteereiden mukaan ne saattavat olla hyödyllisiä, jos ne erittävät hormoneita itsestään. Toisaalta ne ovat hyödyttömiä adenoomeja, jos ne eivät eritä hormoneita.
Diagnoosi

Mitä tulee diagnoosiin, lääkärin täytyy suorittaa fyysinen arvio analysoidakseen onko potilaalla ongelmia kaksinäön ja näkökentän kanssa. Laboratorioteknikot tutkivat myös jälkimmäisen tai periferaalisen näön menetystä sekä kykyä nähdä tietyillä alueilla. Sitten he tekevät analyysin endokriinin toiminnasta etsiäkseen merkkejä hormonaalisesta liikatuotannosta tai muista epäsäännöllisyyksistä. He voivat siis mitata parametrejä, kuten kohonnutta kortisolitasoa, Cushingin oireyhtymää tai liiallista hormonikasvua.
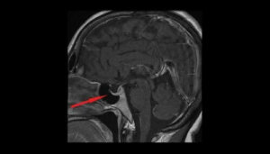
Näkökenttä, CT-skannaus ja aivojen magneettikuvaus ovat kaikista merkittävimpiä kokeita, jotka auttavat diagnoosin vahvistamisessa.
Lue myös: 6 merkkiä korkeasta kortisolitasosta
Aivolisäkkeen adenooman hoito
Nykyaikaisiin terapiavaihtoehtoihin kuuluvat:
- Farmakologinen hoito ja hormonien korvaus: hormonien erityksen estävät lääkkeet voivat hallita oireita ja jopa vähentää kasvaimen kokoa.
- Sädehoitotekniikat: näitä käytetään yleensä kasvaimen koon pienentämiseen.
- Aivolisäkkeen adenooman leikkaus: nämä kasvaimet poistetaan yleensä nenäontelon kautta. Muissa tapauksissa lääkäri saattaa kuitenkin tarvita kraniotomiaa tai kallon avaamisen.
- Endoskooppinen nenäleikkaus koostuu endoskoopin laittamisesta sieraimiin ja liikuttamisesta keskimmäisen turbinaatin ja nenän väliseinän välillä, kunnes se kohtaa kita-aukon. Tämä alue suurentuu, jotta ontelo avautuisi riittävästi ja voidakseen visualisoida turkinsatulan kasvaimen poistamiseksi.
Sokeus on vakavin komplikaatio, kun optiseen hermoon kohdistuu vakavaa vahinkoa. Kasvain tai sen poistaminen voi myös aiheuttaa hormonien epätasapainon koko elämän ajaksi ja johtaa vesitystautiin.
Tällaiselle diabetekselle ominaisia oireita ovat toistuva virtsaamistarve ja äärimmäinen jano. Joka tapauksessa on tärkeää hakeutua hoitoon niin pian kuin mahdollista, mikäli havaitset joitakin yllä mainittuja oireita.
Aivolisäkkeen adenooma on hitaasti kasvava, hyvälaatuinen kasvain. Se on peräisin aivolisäkkeen muodostavista soluista. Aivolisäke säätelee kehon muiden rauhasten toimintaa, mikä tekee siitä tärkeän osan elimistöä. Aivolisäkkeen adenooma on kuitenkin suhteellisen yleinen ja sitä esiintyy noin yhdellä tuhannesta aikuisesta. Sukupuolten välillä ei ole mitään eroa, sillä se vaikuttaa yhtä lailla sekä miehiin että naisiin. Ikämuuttujien suhteen suurempaa esiintyvyyttä tapahtuu 30-40 vuoden välillä.
Yleisesti ottaen kyseessä on hyvänlaatuinen ja hitaasti kasvava kasvain. Aivolisäkkeen karsinoomat tai pahanlaatuiset kasvaimet ovat siis hyvin epätavallisia. Aivolisäkkeen adenooman todelliset aiheuttajat eivät vieläkään ole tiedossa. Joissakin tapauksissa se kuitenkin liittyy geneettiseen sairauteen nimeltä multippeli endokriininen neoplasia.
Aivolisäkkeen adenooman oireet

Tällaisista kasvaimista johtuva pääoire on hormonien erityksen vaihtelu. Aivolisäkkeen kasvainten esiintyvyydestä riippuen keho saattaa tuottaa liian paljon yhtä tai useampaa hormonia. Endokriinijärjestelmän muutoksen takia oireita voivat olla:
- Kilpirauhasen liikatoiminta: kilpirauhanen tuottaa liiallisen määrän hormoneita. (Tämä oire on melko epätavallinen aivolisäkkeen adenoomasta kärsivillä ihmisillä.)
- Cushingin oireyhtymä: kortisolihormonin taso on normaalia suurempi.
- Akromegalia: lapset, joilla on runsaasti kasvuhormonia, voivat kärsiä gigantismista. Jos näin tapahtuu aikuisilla, saattaa hänellä olla akromegalia.
- Maidon eritys ja tuotanto sekä miehillä että naisilla.
- Epäsäännölliset kuukautiset naisilla sukupuolihormonien muutoksista johtuen.
Joitakin muita oireita voi ilmestyä kun aivojen rakenteet puristuvat suuren aivolisäkkeen kasvaimen vuoksi. Niihin voi liittyä:
- Näköhäiriöitä, kuten kaksinäköä, näkökentän menetystä, roikkuvia silmäluomia tai muutoksia värinäössä.
- Päänsärkyä.
- Väsymystä ja uneliaisuutta.
- Kirkkaan nesteen valumista nenästä.
- Pahoinvointia ja oksentelua.
- Ongelmia hajuaistin kanssa.
Nämä oireet voivat olla huolestuttavia, mikäli ne ilmestyvät yhtäkkiä ja yhtä aikaa. Ne voivat myös johtaa aivolisäkkeen infarktiin. Jos huomaat näitä oireita, käy lääkärissä.
Sinua saattaa myös kiinnostaa: Nämä asiat vaikuttavat kilpirauhasen terveyteen huomaamattasi
Adenoomatyyppejä
Aivolisäkkeen adenoomat voidaan luokitella koon mukaan seuraavalla tavalla:
- Mikroadenoomat: ne ovat alle 1 cm:n kokoisia.
- Makroadenoomat: ne ovat yli 1 cm:n kokoisia. Tällainen adenoomatyyppi johtaa usein yhden tai useamman aivolisäkkeen hormonin vajeeseen.
Ne voidaan myös luokitella sen mukaan erittävätkö ne hormoneita vai eivät. Näiden kriteereiden mukaan ne saattavat olla hyödyllisiä, jos ne erittävät hormoneita itsestään. Toisaalta ne ovat hyödyttömiä adenoomeja, jos ne eivät eritä hormoneita.
Diagnoosi

Mitä tulee diagnoosiin, lääkärin täytyy suorittaa fyysinen arvio analysoidakseen onko potilaalla ongelmia kaksinäön ja näkökentän kanssa. Laboratorioteknikot tutkivat myös jälkimmäisen tai periferaalisen näön menetystä sekä kykyä nähdä tietyillä alueilla. Sitten he tekevät analyysin endokriinin toiminnasta etsiäkseen merkkejä hormonaalisesta liikatuotannosta tai muista epäsäännöllisyyksistä. He voivat siis mitata parametrejä, kuten kohonnutta kortisolitasoa, Cushingin oireyhtymää tai liiallista hormonikasvua.
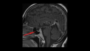
Näkökenttä, CT-skannaus ja aivojen magneettikuvaus ovat kaikista merkittävimpiä kokeita, jotka auttavat diagnoosin vahvistamisessa.
Lue myös: 6 merkkiä korkeasta kortisolitasosta
Aivolisäkkeen adenooman hoito
Nykyaikaisiin terapiavaihtoehtoihin kuuluvat:
- Farmakologinen hoito ja hormonien korvaus: hormonien erityksen estävät lääkkeet voivat hallita oireita ja jopa vähentää kasvaimen kokoa.
- Sädehoitotekniikat: näitä käytetään yleensä kasvaimen koon pienentämiseen.
- Aivolisäkkeen adenooman leikkaus: nämä kasvaimet poistetaan yleensä nenäontelon kautta. Muissa tapauksissa lääkäri saattaa kuitenkin tarvita kraniotomiaa tai kallon avaamisen.
- Endoskooppinen nenäleikkaus koostuu endoskoopin laittamisesta sieraimiin ja liikuttamisesta keskimmäisen turbinaatin ja nenän väliseinän välillä, kunnes se kohtaa kita-aukon. Tämä alue suurentuu, jotta ontelo avautuisi riittävästi ja voidakseen visualisoida turkinsatulan kasvaimen poistamiseksi.
Sokeus on vakavin komplikaatio, kun optiseen hermoon kohdistuu vakavaa vahinkoa. Kasvain tai sen poistaminen voi myös aiheuttaa hormonien epätasapainon koko elämän ajaksi ja johtaa vesitystautiin.
Tällaiselle diabetekselle ominaisia oireita ovat toistuva virtsaamistarve ja äärimmäinen jano. Joka tapauksessa on tärkeää hakeutua hoitoon niin pian kuin mahdollista, mikäli havaitset joitakin yllä mainittuja oireita.
Kaikki lainatut lähteet tarkistettiin perusteellisesti tiimimme toimesta varmistaaksemme niiden laadun, luotettavuuden, ajantasaisuuden ja pätevyyden. Tämän artikkelin bibliografia katsottiin luotettavaksi ja akateemisesti tai tieteellisesti tarkaksi.
-
Jaime, M. de, López, F., & Cabrera, G. (2003). Patología de los adenomas hipofisarios. Patología.
-
Betanzos, R. R., Gerardo, E., Pérez, D., Apolonia, S., Montaño, A., Sánchez, V., … Mendoza, C. (2009). Artículo de revisión Acromegalia. Mcm.
-
CARNEIRO, C. C., MENDES, B. B., & BASTOS, L. G. (2015). ADENOMA HIPOFISÁRIO: CORRELAÇÃO CLÍNICA, LABORATORIAL E RADIOLÓGICA. REVISTA DA UNIVERSIDADE VALE DO RIO VERDE. https://doi.org/10.5892/ruvrd.v13i1.1979
Tämä teksti on tarkoitettu vain tiedoksi eikä se korvaa ammattilaisen konsultaatiota. Jos sinulla on kysyttävää, konsultoi asiantuntijaasi.







