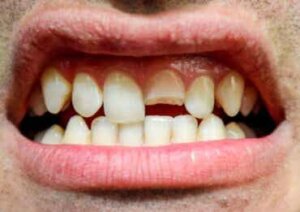
Erilaiset hampaiden tapaturmat

Hampaiden tapaturmat ovat hyvin yleisiä lapsuudessa ja nuoruudessa, mutta niitä voi sattua myös aikuisille. Ne ovat reikien jälkeen toiseksi yleisin syy hakeutua hammaslääkäriin.
Tapaturma on iskusta tai osumasta johtuva hampaiden ja niitä ympäröivien kudosten vaurio, joka aiheuttaa siitä kärsivälle ihmiselle kosmeettisia ongelmia sekä pureskelu- ja puhumisvaikeuksia. Nopea toiminta heti tapaturman synnyttyä parantaa tilanteen ennustetta.
Tässä artikkelissa kerromme tällaisten vaurioiden syistä, erilaisista hampaiden tapaturmista ja niiden hoidosta. Kerromme myös, kuinka suuhun kohdistuvien iskujen riskiä voidaan vähentää.
Hampaiden tapaturmat: riskitekijät
Hampaiden tapaturmaan johtavia suuhun kohdistuvia iskuja voi sattua milloin ja missä iässä tahansa. Ne ovat kuitenkin yleisempiä tietyissä tilanteissa:
- Kävelemään oppiminen: Juuri kävelemään oppinut lapsi ei vielä kunnolla hallitse tasapainoaan, ja kaatuminen on yleistä. Suun iskeytyminen matalia huonekaluja vasten, kompastuminen mattoihin tai muihin esineisiin ja kaatuminen ovat kaikki sellaisia tilanteita, jotka voivat aiheuttaa hampaiden tapaturman.
- Lasten leikit: Rajut leikit, tavaroiden heittely, keinusta putoaminen, polkupyörät, luistimet ja skeittilaudat.
- Urheilu: Erityisesti kontaktiurheilun harrastaminen altistaa hampaiden vaurioille.
- Auto-onnettomuudet: Tämä syy voi johtaa hampaiden tapaturmiin missä iässä tahansa.
- Fyysinen pahoinpitely: Suuhun kohdistuvat iskut pahoinpitelyn aikana aiheuttavat hampaiden tapaturmia. Tutkimuksissa lasten pahoinpitelyn katsotaan olevan yksi syy lasten hammasvaurioihin.
- Tappelu: Fyysinen tappelu on myös hammasvaurioille altistava tekijä.
- Terveysvaivat: Potilaat, joilla on liikkuvuusongelmia, epilepsia, keskittymiskyvyttömyyttä tai ylivilkkautta, lyövät suunsa todennäköisemmin.
- Riippuvuudet: Myös alkoholi- ja huumeriippuvuudesta kärsiville ihmisille sattuu todennäköisemmin hampaiden tapaturmia.
- Suun vaivat: Joillakin potilailla on kasvojensa ja suunsa morfologian vuoksi suurempi riski saada hampaiden tapaturmia iskun seurauksena. Eräät virhepurennat, peukalon imemisestä johtuva ylempien etuhampaiden eteen suuntautuminen, liian pitkä tutin tai tuttipullon käyttö, suun kautta hengittäminen tai lyhyt huuli voivat saada hampaat vaurioitumaan herkemmin.
Sinua saattaa kiinnostaa myös: Hoito viisaudenhampaan poiston jälkeen
Erilaiset hampaiden tapaturmat
Hampaiden tapaturmat voivat ilmetä eri tavoin, vaikuttaa eri kudoksiin ja olla vakavuudeltaan eriasteisia. Lisäksi hampaiden vaurioituminen voi olla tilapäistä tai pysyvää. Hoito riippuu näistä tekijöistä.
Erilaiset hampaiden tapaturmat on eroteltu alla sen mukaan, mihin kudoksiin ne vaikuttavat.
Hammaskruunun vaurio
Tässä tapauksessa vaurio koskettaa hampaan näkyvää osaa. Vaurioituneista kudoksista riippuen voidaan erottaa toisistaan seuraavat hammaskruunun murtumat:
- Epätäydellinen eli hammaskiilteen rikkoutuminen: Murtumalinja ei ulotu tai pysähtyy kiilteen ja hammasluun väliselle rajalle. Se koskettaa näin ollen vain kiillettä, ei hammasluuta. Se näyttää hammaskiilteen haavaumalta, eikä hammaskudosta menetetä, joten sitä on vaikea havaita paljaalla silmällä. Hammaslääkäri pystyy diagnosoimaan sen läpivalaisun avulla ja hoitamaan sen nopeasti.
- Kiilteen ja hammasluun vaurio ilman hammasytimen paljastumista: Tässä tapauksessa hammaskudosta menetetään, ja vaurio käsittää ainoastaan kiilteen tai kiilteen ja hammasluun, paljastamatta hammasydintä.
- Kiilteen ja hammasluun vaurio, joka paljastaa hammasytimen: Tähän kudostuhoon sisältyy sekä kiille että hammasluu, ja se on niin syvä, että se paljastaa hammasytimen.

Hampaan juuren tapaturma
Tässä tapauksessa tapaturma vahingoittaa luun sisällä sijaitsevaa hammasjuuren aluetta. Tästä voidaan erottaa kaksi eri muotoa riippuen siitä, millä alueella vaurio on.
- Hammaskuopan sisäinen juurimurtuma: Näissä tapauksissa murtuma ilmenee hampaan juuressa. Se voi olla hampaan kruunu-, keski- tai kärkiosassa. Murtumat voivat olla vaaka- tai pystysuuntaisia.
- Kruunun murtuma: Murtuma koskettaa sekä kruunua että hampaan juurta. Hammasydin saattaa paljastua, ja vaurioituneet kudokset ovat kiille, hammasluu ja juurisementti.
Kiinnityskudosten tapaturmat
Suuhun kohdistuvat iskut voivat vaikuttaa myös hampaita suojaaviin ja tukeviin kudoksiin. Tässä joitakin hampaan kiinnityskudoksen vaivoja:
- Subluksaatio: Hammasta tukevat kiinnityskudossäikeet vaurioituvat, mutta hammas pysyy normaalissa asennossaan hammaskuopassa. Rakenne ei siirry sijoiltaan, mutta se liikkuu ja vuotaa sisäisesti.
- Lateraalinen luksaatio: Kiinnityskudos vaurioituu ja hammas liikkuu, mutta se liikkuu myös eteen- tai taaksepäin. Myös hammaskuoppaharjanne on näissä tapauksissa yleensä murtunut.
- Ekstruusio: Kiinnityskudoksen vaurio saa hampaan löystymään ja liikkumaan osittain ulos kuopasta. Se työntyy muihin hampaisiin nähden ulospäin.
- Intruusio: Hammas liikkuu apikaalisesti, hammasalveolia kohti. Hammas näyttää siltä kuin se olisi uponnut luukudokseen. Vaurio käsittää kiinnityskudoksen ja juurisementin. Hammasalveoli on yleensä murtunut ja hermoyhteys ja verenkierto hammasytimeen yleensä keskeytynyt.
- Hampaan irtoaminen: Tämä on kaikkein hankalin ja vakavin kliininen tilanne. Tässä tapauksessa hammas on täysin irti kuopastaan, joskus jopa suusta. Kun näin tapahtuu pysyvälle hampaalle, hammas kannattaa etsiä, laittaa rasiaan ja mennä hammaslääkäriin välittömästi. Se voidaan kiinnittää takaisin suuhun.
Luun tapaturma
Suun tapaturma voi saada hammaskuoppaharjanteen murtumaan. Vaurio käsittää ainoastaan luukudoksen tai sen yhteydessä esiintyy jokin jo mainituista vaurioista.
Hampaat, joissa on hammaskuoppaharjanteen murtumia, liikkuvat yleensä yhdessä ympäröivän kudoksen kanssa. Vakavammissa tapaturmissa leuan tai kasvojen luut ovat vahingoittuneet.
Hampaiden tapaturmat: diagnoosi ja hoito
Hampaan tapaturman jälkeen hammaslääkäriin kannattaa mennä mahdollisimman pian. Vaurioiden välitön hoito parantaa merkittävästi ennustetta ja auttaa hoidon onnistumisessa.
Hammaslääkäri tutkii ja tunnustelee vaurioitunutta aluetta, ottaa röntgenkuvat, arvioi pehmyt- ja kovakudokset, analysoi hampaan liikkuvuutta ja sen elinvoimaa sekä määrittää parhaan hoidon jokaisessa tapauksessa.
Vaurion jälkeinen hoito riippuu myös siitä, onko kyseessä väliaikaiset vai pysyvät hampaat. Vaadittavia hoitoja voivat olla seuraavat.
Pehmytkudosten hoito
Suuhun kohdistuva isku ei vaikuta ainoastaan hampaisiin; yleensä myös pehmytkudokset, kuten huulet, kieli ja posket, vaurioituvat.
Potilaan vastaanotettuaan hammaslääkäri tutkii koko vaurion käsittävän alueen. Suun kudokset vuotavat helposti ja runsaasti, minkä vuoksi hammaslääkäri puhdistaa ja painaa aluetta vuodon tyrehdyttämiseksi. Joissakin tapauksissa saatetaan tarvita tikkejä.
Fluorihoito
Kun hampaan tapaturma koskettaa ainoastaan hammaskiillettä, vaurioituneen alueen reunat hiotaan, jotta ne eivät hankaisi pehmytkudoksia. Lisäksi tätä timantinkovaa kudosta suojellaan laittamalla fluoria hampaan pintaan.
Kruunun uudelleenrakennus
Jos hampaan tapaturma on aiheuttanut hammaskruunun kudostuhoa, se tulee rakentaa uudelleen. Tätä tehdään sekä maito- että rautahampaisiin.
Yleensä käytetään esteettisistä materiaaleista valmistettuja paikkoja hampaan muodon ja anatomian palauttamiseksi. Jos potilas on tuonut mukanaan osan menetetystä hampaasta ja se on rautahammas, hammaslääkäri saattaa yrittää kiinnittää sen murtuneeseen osaan.
Hammasytimen suojaaminen ja juurihoito
Kun murtuma vaikuttaa kiilteen ja hammasluun lisäksi hammasytimeen, tämä tulee hoitaa erikseen. Hoitomuoto riippuu hampaista (maito- vai rautahampaat), murtuman laajuudesta ja siitä, onko apeksi auki vai jo sulkeutunut.
Maitohampaiden kohdalla huomioidaan myös se, kuinka kauan hammas tulee pysymään suussa. Jos se putoaa piakkoin, se kannattaa poistaa ja odottaa pysyvän hampaan puhkeamista. Jos hammas ei kuitenkaan vaihdu hetkeen, hammasydin suojataan hampaan säästämiseksi.
Jos juuren kärki ei ole pysyvissä hampaissa vielä sulkeutunut, hammaslääkäri käyttää erityisiä aineita avustaakseen sen sulkeutumista. Jos se on kuitenkin täysin muodostunut, tarvitaan oikomishoitoa.
Sitten kruunu rakennetaan uudelleen hampaan anatomian palauttamiseksi. Tämän voi tehdä käyttämällä hammaskruunuja, jos kudosta on menetetty paljon.
Hampaan asennon korjaaminen ja immobilisaatio kiskoilla
Kun pysyvissä hampaissa on juurimurtumia, hammaskuoppaharjanteen murtumia, luksaatioita tai ekstruusioita, tai hampaat liikkuvat, ne tulee asettaa uudelleen kuoppaansa. Tätä varten alue puudutetaan ja hampaan asento korjataan hyödyntäen röntgenkuvia.
Sitten suuhun laitetaan kisko, joka pitää hampaan paikallaan, kunnes tukikudokset paranevat. Puremisen välttäminen ja jälkihoito ovat erittäin tärkeitä komplikaatioiden välttämiseksi ja paranemisen nopeuttamiseksi. Potilaan tulisi käydä myös jälkitarkastuksissa ja juurihoidossa.
Jos nämä ongelmat koskettavat maitohampaita, hammaslääkäri päättää alla olevan pysyvän hampaan hammasaiheen vauriot arvioituaan, onko paras vaihtoehto hampaan poistaminen. Jos hammas poistetaan ja pysyvän hampaan puhkeamisessa kestää vielä jonkin aikaa, siihen laitetaan tilanmuodostaja paikan säästämiseksi.
Odottaminen tai puhkeamisen stimulointi
Tämä tehdään joissakin tapauksissa hampaan intruusioissa. Röntgenkuvia tarvitaan, jotta nähdään hampaan asento luun sisällä ja sen suhde muihin rakenteisiin.
Jos kyseessä on väliaikainen hammas, hammaslääkäri tarkastaa luussa muodostuvan hammasaiheen vauriot. Jos siinä on vaurioita, väliaikainen hammas täytyy poistaa. Jos taas pysyvässä osassa ei ole vaurioita, hampaan kasvua voi jäädä odottamaan.
Jos pysyvä hammas ei laskeudu itsestään, se voidaan siirtää puudutuksessa ja sitten laittaa kisko, kuten aiemmin jo mainittiin. Tai sitten hammasta voidaan laskea oikomishoidolla. Hammas tulee juurihoitaa.

Hampaan takaisinistutus
Jos pysyvä hammas on siirtynyt täysin pois suusta, tavoitteena on laittaa se takaisin paikalleen sen säästämiseksi. Irronnutta maitohammasta ei tule koskaan laittaa takaisin, sillä siihen liittyy riski luun sisällä kasvavan pysyvän hampaan vaurioittamisesta. Näissä tilanteissa tulee odottaa pysyvän hampaan puhkeamista. Jos siinä kestää pitkään, hammaslääkäri asettaa tilanmuodostajan paikan säästämiseksi.
Hampaan laittamiseksi takaisin kuoppaansa potilaan tulee etsiä irronnut hammas ja mennä hammaslääkäriin mahdollisimman nopeasti. Kun hammas on löydetty, juureen ei saa koskea. Sitä tulee huuhdella veden alla muutama sekunti hankaamatta. Sitten se tulee kuljettaa lasissa, jossa on maitoa ja tislattua vettä, ja jos tämä ei ole mahdollista, potilaan suussa varoen nielemästä sitä.
Kun potilas saapuu hammaslääkärin vastaanotolle, hammaslääkäri laittaa hampaan takaisin paikalleen alueen puuduttamisen jälkeen. Hammas pidetään paikallaan kiskoilla, jotta se saadaan paremmin istutettua takasin suuonteloon.
Kiskoa tulee käyttää, jotta vältetään kontakti muihin hampaisiin. Potilaan tulee noudattaa myös pehmeää ruokavaliota ja käydä tarkastuksissa, jotta nähdään miten paraneminen etenee. Myös juurihoitoa tarvitaan, ja potilas tarvitsee jäykkäkouristusrokotteen.
Muut varotoimet
Oireiden hoitaminen tulehduskipulääkkeillä ja antibioottien käyttö tarvittaessa on erittäin tärkeää kudosten paranemisen ja hoidon onnistumisen kannalta. Pehmeiden ja kylmien ruokien syöminen auttaa vähentämään tulehdusta ja aluetta paranemaan.
Lisäksi on tärkeää tarkkailla iskun saanutta aluetta. Jos ikenet turpoavat, ilmestyy märkänäppy tai hampaan väri muuttuu, tulee ottaa yhteyttä hammaslääkäriin.
Käy lukemassa myös: Hammassilta: tyypit, edut ja haitat
Miten ehkäistä hampaiden tapaturmat
Iskuja suuhun on yleensä mahdotonta välttää. Näiden vinkkien noudattaminen voi kuitenkin auttaa pienentämään hampaiden tapaturmien riskiä.
- Luo pienille lapsille turvallisia tiloja äläkä käytä kävelytuoleja.
- Vältä väkivaltaisia pelejä.
- Käytä hammassuojaa urheillessa, pyöräillessä ja rullaluistellessa.
- Käytä turvavyötä matkustaessa.
Kuten jo todettiin, jos saat hampaan tapaturman, nopea ja rauhallinen toiminta voi olla ratkaisevaa. Hammaslääkäriin meneminen mahdollisimman nopeasti auttaa palauttamaan hymyn ennalleen.
Hampaiden tapaturmat ovat hyvin yleisiä lapsuudessa ja nuoruudessa, mutta niitä voi sattua myös aikuisille. Ne ovat reikien jälkeen toiseksi yleisin syy hakeutua hammaslääkäriin.
Tapaturma on iskusta tai osumasta johtuva hampaiden ja niitä ympäröivien kudosten vaurio, joka aiheuttaa siitä kärsivälle ihmiselle kosmeettisia ongelmia sekä pureskelu- ja puhumisvaikeuksia. Nopea toiminta heti tapaturman synnyttyä parantaa tilanteen ennustetta.
Tässä artikkelissa kerromme tällaisten vaurioiden syistä, erilaisista hampaiden tapaturmista ja niiden hoidosta. Kerromme myös, kuinka suuhun kohdistuvien iskujen riskiä voidaan vähentää.
Hampaiden tapaturmat: riskitekijät
Hampaiden tapaturmaan johtavia suuhun kohdistuvia iskuja voi sattua milloin ja missä iässä tahansa. Ne ovat kuitenkin yleisempiä tietyissä tilanteissa:
- Kävelemään oppiminen: Juuri kävelemään oppinut lapsi ei vielä kunnolla hallitse tasapainoaan, ja kaatuminen on yleistä. Suun iskeytyminen matalia huonekaluja vasten, kompastuminen mattoihin tai muihin esineisiin ja kaatuminen ovat kaikki sellaisia tilanteita, jotka voivat aiheuttaa hampaiden tapaturman.
- Lasten leikit: Rajut leikit, tavaroiden heittely, keinusta putoaminen, polkupyörät, luistimet ja skeittilaudat.
- Urheilu: Erityisesti kontaktiurheilun harrastaminen altistaa hampaiden vaurioille.
- Auto-onnettomuudet: Tämä syy voi johtaa hampaiden tapaturmiin missä iässä tahansa.
- Fyysinen pahoinpitely: Suuhun kohdistuvat iskut pahoinpitelyn aikana aiheuttavat hampaiden tapaturmia. Tutkimuksissa lasten pahoinpitelyn katsotaan olevan yksi syy lasten hammasvaurioihin.
- Tappelu: Fyysinen tappelu on myös hammasvaurioille altistava tekijä.
- Terveysvaivat: Potilaat, joilla on liikkuvuusongelmia, epilepsia, keskittymiskyvyttömyyttä tai ylivilkkautta, lyövät suunsa todennäköisemmin.
- Riippuvuudet: Myös alkoholi- ja huumeriippuvuudesta kärsiville ihmisille sattuu todennäköisemmin hampaiden tapaturmia.
- Suun vaivat: Joillakin potilailla on kasvojensa ja suunsa morfologian vuoksi suurempi riski saada hampaiden tapaturmia iskun seurauksena. Eräät virhepurennat, peukalon imemisestä johtuva ylempien etuhampaiden eteen suuntautuminen, liian pitkä tutin tai tuttipullon käyttö, suun kautta hengittäminen tai lyhyt huuli voivat saada hampaat vaurioitumaan herkemmin.
Sinua saattaa kiinnostaa myös: Hoito viisaudenhampaan poiston jälkeen
Erilaiset hampaiden tapaturmat
Hampaiden tapaturmat voivat ilmetä eri tavoin, vaikuttaa eri kudoksiin ja olla vakavuudeltaan eriasteisia. Lisäksi hampaiden vaurioituminen voi olla tilapäistä tai pysyvää. Hoito riippuu näistä tekijöistä.
Erilaiset hampaiden tapaturmat on eroteltu alla sen mukaan, mihin kudoksiin ne vaikuttavat.
Hammaskruunun vaurio
Tässä tapauksessa vaurio koskettaa hampaan näkyvää osaa. Vaurioituneista kudoksista riippuen voidaan erottaa toisistaan seuraavat hammaskruunun murtumat:
- Epätäydellinen eli hammaskiilteen rikkoutuminen: Murtumalinja ei ulotu tai pysähtyy kiilteen ja hammasluun väliselle rajalle. Se koskettaa näin ollen vain kiillettä, ei hammasluuta. Se näyttää hammaskiilteen haavaumalta, eikä hammaskudosta menetetä, joten sitä on vaikea havaita paljaalla silmällä. Hammaslääkäri pystyy diagnosoimaan sen läpivalaisun avulla ja hoitamaan sen nopeasti.
- Kiilteen ja hammasluun vaurio ilman hammasytimen paljastumista: Tässä tapauksessa hammaskudosta menetetään, ja vaurio käsittää ainoastaan kiilteen tai kiilteen ja hammasluun, paljastamatta hammasydintä.
- Kiilteen ja hammasluun vaurio, joka paljastaa hammasytimen: Tähän kudostuhoon sisältyy sekä kiille että hammasluu, ja se on niin syvä, että se paljastaa hammasytimen.

Hampaan juuren tapaturma
Tässä tapauksessa tapaturma vahingoittaa luun sisällä sijaitsevaa hammasjuuren aluetta. Tästä voidaan erottaa kaksi eri muotoa riippuen siitä, millä alueella vaurio on.
- Hammaskuopan sisäinen juurimurtuma: Näissä tapauksissa murtuma ilmenee hampaan juuressa. Se voi olla hampaan kruunu-, keski- tai kärkiosassa. Murtumat voivat olla vaaka- tai pystysuuntaisia.
- Kruunun murtuma: Murtuma koskettaa sekä kruunua että hampaan juurta. Hammasydin saattaa paljastua, ja vaurioituneet kudokset ovat kiille, hammasluu ja juurisementti.
Kiinnityskudosten tapaturmat
Suuhun kohdistuvat iskut voivat vaikuttaa myös hampaita suojaaviin ja tukeviin kudoksiin. Tässä joitakin hampaan kiinnityskudoksen vaivoja:
- Subluksaatio: Hammasta tukevat kiinnityskudossäikeet vaurioituvat, mutta hammas pysyy normaalissa asennossaan hammaskuopassa. Rakenne ei siirry sijoiltaan, mutta se liikkuu ja vuotaa sisäisesti.
- Lateraalinen luksaatio: Kiinnityskudos vaurioituu ja hammas liikkuu, mutta se liikkuu myös eteen- tai taaksepäin. Myös hammaskuoppaharjanne on näissä tapauksissa yleensä murtunut.
- Ekstruusio: Kiinnityskudoksen vaurio saa hampaan löystymään ja liikkumaan osittain ulos kuopasta. Se työntyy muihin hampaisiin nähden ulospäin.
- Intruusio: Hammas liikkuu apikaalisesti, hammasalveolia kohti. Hammas näyttää siltä kuin se olisi uponnut luukudokseen. Vaurio käsittää kiinnityskudoksen ja juurisementin. Hammasalveoli on yleensä murtunut ja hermoyhteys ja verenkierto hammasytimeen yleensä keskeytynyt.
- Hampaan irtoaminen: Tämä on kaikkein hankalin ja vakavin kliininen tilanne. Tässä tapauksessa hammas on täysin irti kuopastaan, joskus jopa suusta. Kun näin tapahtuu pysyvälle hampaalle, hammas kannattaa etsiä, laittaa rasiaan ja mennä hammaslääkäriin välittömästi. Se voidaan kiinnittää takaisin suuhun.
Luun tapaturma
Suun tapaturma voi saada hammaskuoppaharjanteen murtumaan. Vaurio käsittää ainoastaan luukudoksen tai sen yhteydessä esiintyy jokin jo mainituista vaurioista.
Hampaat, joissa on hammaskuoppaharjanteen murtumia, liikkuvat yleensä yhdessä ympäröivän kudoksen kanssa. Vakavammissa tapaturmissa leuan tai kasvojen luut ovat vahingoittuneet.
Hampaiden tapaturmat: diagnoosi ja hoito
Hampaan tapaturman jälkeen hammaslääkäriin kannattaa mennä mahdollisimman pian. Vaurioiden välitön hoito parantaa merkittävästi ennustetta ja auttaa hoidon onnistumisessa.
Hammaslääkäri tutkii ja tunnustelee vaurioitunutta aluetta, ottaa röntgenkuvat, arvioi pehmyt- ja kovakudokset, analysoi hampaan liikkuvuutta ja sen elinvoimaa sekä määrittää parhaan hoidon jokaisessa tapauksessa.
Vaurion jälkeinen hoito riippuu myös siitä, onko kyseessä väliaikaiset vai pysyvät hampaat. Vaadittavia hoitoja voivat olla seuraavat.
Pehmytkudosten hoito
Suuhun kohdistuva isku ei vaikuta ainoastaan hampaisiin; yleensä myös pehmytkudokset, kuten huulet, kieli ja posket, vaurioituvat.
Potilaan vastaanotettuaan hammaslääkäri tutkii koko vaurion käsittävän alueen. Suun kudokset vuotavat helposti ja runsaasti, minkä vuoksi hammaslääkäri puhdistaa ja painaa aluetta vuodon tyrehdyttämiseksi. Joissakin tapauksissa saatetaan tarvita tikkejä.
Fluorihoito
Kun hampaan tapaturma koskettaa ainoastaan hammaskiillettä, vaurioituneen alueen reunat hiotaan, jotta ne eivät hankaisi pehmytkudoksia. Lisäksi tätä timantinkovaa kudosta suojellaan laittamalla fluoria hampaan pintaan.
Kruunun uudelleenrakennus
Jos hampaan tapaturma on aiheuttanut hammaskruunun kudostuhoa, se tulee rakentaa uudelleen. Tätä tehdään sekä maito- että rautahampaisiin.
Yleensä käytetään esteettisistä materiaaleista valmistettuja paikkoja hampaan muodon ja anatomian palauttamiseksi. Jos potilas on tuonut mukanaan osan menetetystä hampaasta ja se on rautahammas, hammaslääkäri saattaa yrittää kiinnittää sen murtuneeseen osaan.
Hammasytimen suojaaminen ja juurihoito
Kun murtuma vaikuttaa kiilteen ja hammasluun lisäksi hammasytimeen, tämä tulee hoitaa erikseen. Hoitomuoto riippuu hampaista (maito- vai rautahampaat), murtuman laajuudesta ja siitä, onko apeksi auki vai jo sulkeutunut.
Maitohampaiden kohdalla huomioidaan myös se, kuinka kauan hammas tulee pysymään suussa. Jos se putoaa piakkoin, se kannattaa poistaa ja odottaa pysyvän hampaan puhkeamista. Jos hammas ei kuitenkaan vaihdu hetkeen, hammasydin suojataan hampaan säästämiseksi.
Jos juuren kärki ei ole pysyvissä hampaissa vielä sulkeutunut, hammaslääkäri käyttää erityisiä aineita avustaakseen sen sulkeutumista. Jos se on kuitenkin täysin muodostunut, tarvitaan oikomishoitoa.
Sitten kruunu rakennetaan uudelleen hampaan anatomian palauttamiseksi. Tämän voi tehdä käyttämällä hammaskruunuja, jos kudosta on menetetty paljon.
Hampaan asennon korjaaminen ja immobilisaatio kiskoilla
Kun pysyvissä hampaissa on juurimurtumia, hammaskuoppaharjanteen murtumia, luksaatioita tai ekstruusioita, tai hampaat liikkuvat, ne tulee asettaa uudelleen kuoppaansa. Tätä varten alue puudutetaan ja hampaan asento korjataan hyödyntäen röntgenkuvia.
Sitten suuhun laitetaan kisko, joka pitää hampaan paikallaan, kunnes tukikudokset paranevat. Puremisen välttäminen ja jälkihoito ovat erittäin tärkeitä komplikaatioiden välttämiseksi ja paranemisen nopeuttamiseksi. Potilaan tulisi käydä myös jälkitarkastuksissa ja juurihoidossa.
Jos nämä ongelmat koskettavat maitohampaita, hammaslääkäri päättää alla olevan pysyvän hampaan hammasaiheen vauriot arvioituaan, onko paras vaihtoehto hampaan poistaminen. Jos hammas poistetaan ja pysyvän hampaan puhkeamisessa kestää vielä jonkin aikaa, siihen laitetaan tilanmuodostaja paikan säästämiseksi.
Odottaminen tai puhkeamisen stimulointi
Tämä tehdään joissakin tapauksissa hampaan intruusioissa. Röntgenkuvia tarvitaan, jotta nähdään hampaan asento luun sisällä ja sen suhde muihin rakenteisiin.
Jos kyseessä on väliaikainen hammas, hammaslääkäri tarkastaa luussa muodostuvan hammasaiheen vauriot. Jos siinä on vaurioita, väliaikainen hammas täytyy poistaa. Jos taas pysyvässä osassa ei ole vaurioita, hampaan kasvua voi jäädä odottamaan.
Jos pysyvä hammas ei laskeudu itsestään, se voidaan siirtää puudutuksessa ja sitten laittaa kisko, kuten aiemmin jo mainittiin. Tai sitten hammasta voidaan laskea oikomishoidolla. Hammas tulee juurihoitaa.

Hampaan takaisinistutus
Jos pysyvä hammas on siirtynyt täysin pois suusta, tavoitteena on laittaa se takaisin paikalleen sen säästämiseksi. Irronnutta maitohammasta ei tule koskaan laittaa takaisin, sillä siihen liittyy riski luun sisällä kasvavan pysyvän hampaan vaurioittamisesta. Näissä tilanteissa tulee odottaa pysyvän hampaan puhkeamista. Jos siinä kestää pitkään, hammaslääkäri asettaa tilanmuodostajan paikan säästämiseksi.
Hampaan laittamiseksi takaisin kuoppaansa potilaan tulee etsiä irronnut hammas ja mennä hammaslääkäriin mahdollisimman nopeasti. Kun hammas on löydetty, juureen ei saa koskea. Sitä tulee huuhdella veden alla muutama sekunti hankaamatta. Sitten se tulee kuljettaa lasissa, jossa on maitoa ja tislattua vettä, ja jos tämä ei ole mahdollista, potilaan suussa varoen nielemästä sitä.
Kun potilas saapuu hammaslääkärin vastaanotolle, hammaslääkäri laittaa hampaan takaisin paikalleen alueen puuduttamisen jälkeen. Hammas pidetään paikallaan kiskoilla, jotta se saadaan paremmin istutettua takasin suuonteloon.
Kiskoa tulee käyttää, jotta vältetään kontakti muihin hampaisiin. Potilaan tulee noudattaa myös pehmeää ruokavaliota ja käydä tarkastuksissa, jotta nähdään miten paraneminen etenee. Myös juurihoitoa tarvitaan, ja potilas tarvitsee jäykkäkouristusrokotteen.
Muut varotoimet
Oireiden hoitaminen tulehduskipulääkkeillä ja antibioottien käyttö tarvittaessa on erittäin tärkeää kudosten paranemisen ja hoidon onnistumisen kannalta. Pehmeiden ja kylmien ruokien syöminen auttaa vähentämään tulehdusta ja aluetta paranemaan.
Lisäksi on tärkeää tarkkailla iskun saanutta aluetta. Jos ikenet turpoavat, ilmestyy märkänäppy tai hampaan väri muuttuu, tulee ottaa yhteyttä hammaslääkäriin.
Käy lukemassa myös: Hammassilta: tyypit, edut ja haitat
Miten ehkäistä hampaiden tapaturmat
Iskuja suuhun on yleensä mahdotonta välttää. Näiden vinkkien noudattaminen voi kuitenkin auttaa pienentämään hampaiden tapaturmien riskiä.
- Luo pienille lapsille turvallisia tiloja äläkä käytä kävelytuoleja.
- Vältä väkivaltaisia pelejä.
- Käytä hammassuojaa urheillessa, pyöräillessä ja rullaluistellessa.
- Käytä turvavyötä matkustaessa.
Kuten jo todettiin, jos saat hampaan tapaturman, nopea ja rauhallinen toiminta voi olla ratkaisevaa. Hammaslääkäriin meneminen mahdollisimman nopeasti auttaa palauttamaan hymyn ennalleen.
Kaikki lainatut lähteet tarkistettiin perusteellisesti tiimimme toimesta varmistaaksemme niiden laadun, luotettavuuden, ajantasaisuuden ja pätevyyden. Tämän artikkelin bibliografia katsottiin luotettavaksi ja akateemisesti tai tieteellisesti tarkaksi.
- García Ballesta, Carlos, Leonor Pérez Lajarín, and Isabel Castejón Navas. “Prevalencia y etiología de los traumatismos dentales: Una revisión.” RCOe 8.2 (2003): 131-141.
- Sánchez, Tamara Batista, et al. “Traumatismos dentarios en niños y adolescentes.” Correo Científico Médico de Holguín 20.4 (2016): 741-756.
- Leyva Infante, Maite, et al. “El traumatismo dental como urgencia estomatológica: a stomatologic emergency.” Correo Científico Médico 22.1 (2018): 66-78.
- Pasarón Pérez, María Victoria, et al. “Nivel de conocimientos en pacientes con traumatismo dental.” Revista Médica Electrónica 39.1 (2017): 24-32.
- Oliveira-del Río, Juan A., Alcira M. Alvarado-Solórzano, and Betty E. Guanotoa-Lincango. “Características de traumatismo dental en niños de 5-13 años de edad.” Polo del Conocimiento 3.5 (2018): 150-159.
- Torres Silva, María del Carmen, et al. “Factores predisponentes de trauma dental en escolares del municipio Rafael Freyre.” Correo Científico Médico 21.3 (2017): 798-808.
- Zaldivar, Héctor Andrés Naranjo. “Traumatismos dentarios: un acercamiento imprescindible.” 16 de Abril 56.265 (2017): 113-118.
- ENDODONCIA, EN. ABORDAJE CLÍNICO DE TRAUMATISMOS DENTARIOS LUXACIÓN LATERAL Y FRACTURA RADICULAR. Diss. UNIVERSIDAD NACIONAL DE CUYO, 2020.
- SALVATORE, OD ANA CARLA. “Avulsión dentaria. Tratamiento y seguimiento a 9 años. A propósito de un caso clínico.”
- VALLEJO, ERICA DAYANA QUITO. “MANEJO CLÍNICO DE DIENTE PERMANENTE AVULSIONADO. REPORTE DE CASO.” Odontología Activa Revista Científica 4.3 (2019): 47-52.
- Duarte, Luis A. Jeffers. “Reimplante Dentario en Diente Avulsionado. Presentación de un Caso.” Revista Científica Hallazgos21 2.3 (2017).
- Luján, Gabriela, and Gabriela Gioino. “Traumatismos dentarios.”
Tämä teksti on tarkoitettu vain tiedoksi eikä se korvaa ammattilaisen konsultaatiota. Jos sinulla on kysyttävää, konsultoi asiantuntijaasi.







