Suun limakalvon haavaumat: syyt ja hoito

Suun limakalvon haavaumat näkyvät kudoksessa, joka ympäröi suuonteloa, kuten poskien ja huulten sisäpinnoilla ja ikenissä. Ne ovat melko tavallisia suurimmalla osalla ihmisistä, vaikka aina emme ehkä tunnekaan niiden aiheuttajaa.
Haavaumat ovat melko epämiellyttäviä, sillä lisäävät herkkyyttä monenlaisille elintarvikkeille. Esimerkiksi appelsiinimehun tai kuumien juomien juominen voi olla varsin tuskallista.
Näiden vaurioiden sijainti, muoto ja syyt vaihtelevat suuresti. Itse asiassa ne voivat johtua jostakin niin yksinkertaisesta kuin suun sisäpinnan puremisesta tai ne voivat olla oire monimutkaisesta systeemisestä prosessista. Ne voivat olla jopa ensimmäinen merkki infektiosta.
Tämän päivän artikkelissa kerromme yleisimmät syyt suun haavaumien syntymiseen. Esittelemme myös helppoja niksejä niiden hoitamiseksi ja parantamiseksi mahdollisimman nopeasti.
Suun limakalvon haavaumat: aiheuttajat
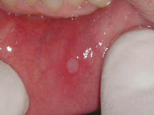
Suun haavaumat ovat yleensä muodoltaan pyöreitä ja valkeita vaurioita, joita ympäröi tulehtunut alue. Ne ovat normaalisti melko pieniä kooltaan.
Kipeitä haavaumia voi olla samaan aikaan useampi kuin yksi. On myös tapauksia, joissa nämä suun vauriot ovat melko suuria, jolloin myös paraneminen on monimutkaisempaa.

Erot haavaumien koossa ja lukumäärässä johtuvat pääasiassa niiden syntymisen syistä. Kuten jo mainitsimme, yksi yleinen syy on posken pureminen. Muita yleisimpiä syitä ovat:
- Kaikki hammaslääkärihoidot, erityisesti oikomishoidot ja hammasraudat.
- Herpesvirukseen liittyy usein useita pieniä suun haavaumia.
- Stressistä ja hormonaalisista muutoksista johtuvat haavaumat ovat yleisempiä naisilla, koska heillä hormonaaliset muutokset ovat voimakkaampia.
- Tupakointi voi aiheuttaa suun haavaumia palovamman tai jopa teollisten savukkeiden myrkyllisten lisäaineiden kautta.
- Monet lääkkeet voivat aiheuttaa haavaumia, etenkin kemoterapia ja sädehoito tiettyjä syöpiä vastaan.
Systeemiset syyt
Edellä mainittujen syiden lisäksi on olemassa lukuisia sairauksia, jotka voivat johtaa suun haavaumien syntymiseen. On hyvä olla tietoinen siitä, että mikä tahansa ravinnepuutos voi myös aiheuttaa suun haavaumia. Raudan tai vitamiinien puutostilat ovat yleisimpiä aiheuttajia.
Toinen syy voi olla Behçetin tauti, jonka pääoire on verisuonten tulehdus. Tämä johtuu siitä, että se vahingoittaa kehon eri elimiä ja oireilee myös suun haavaumien kautta.
Lisäksi on tavallista, että tulehduksellisesta suolistosairaudesta kärsivät henkilöt saavat usein haavaumia suun limakalvoille. Sama tapahtuu keliakian kanssa. Lisäksi mikä tahansa patologi, joka aiheuttaa haavoja ja rakkuloita iholla, voi olla syyllinen.

Kuinka suun haavaumia hoidetaan?
Kuten mainittu, useimmat suun limakalvon haavaumat ovat hyvänlaatuisia. Tämä tarkoittaa, että ne paranevat itsekseen eivätkä yleensä vaadi hoitoa. Mikäli suun haavaumat uusiutuvat ilman mitään ilmeistä syytä, kuten pureman aiheuttamaa vauriota, on hyvä tutkia mahdollisia muita haavaumia aiheuttavia tekijöitä.
Vaikka on totta, ettei suun haavaumia tarvitse hoitaa, on olemassa tiettyjä tuotteita jotka edistävät ja nopeuttavat paranemista. Esimerkiksi hyaluronihappo, jota markkinoidaan voiteen muodossa. Lisäksi tietyt elintarvikkeet voivat ärsyttää haavaumia, joten vältä niitä.
Suun haavaumat voivat johtua myös infektiosta, ja tässä tapauksessa niitä on hoidettava. Sama koskee vaurioita, jotka johtuvat lääkkeiden sivuvaikutuksista. Tässä tapauksessa sinun tulisi keskustella lääkärisi kanssa lääkityksen vaihtamisesta.
Mikäli suun haavaumat aiheuttavat paljon epämukavuutta ja kipua, voidaan käyttää puuduttavia aineita, kuten lidokaiinia, sisältäviä suuvesiä. Suuvedet jotka sisältävät kortikosteroideja voivat hillitä tulehdusta.
Ota yhteys lääkäriin, jos suun haavaumat ovat liian kivuliaita tai toistuvat usein. Tämä johtuu siitä, että ne voivat olla oireita joistakin puutostiloista tai sairauksista, jotka vaativat enemmän hoitoa.
Suun limakalvon haavaumat näkyvät kudoksessa, joka ympäröi suuonteloa, kuten poskien ja huulten sisäpinnoilla ja ikenissä. Ne ovat melko tavallisia suurimmalla osalla ihmisistä, vaikka aina emme ehkä tunnekaan niiden aiheuttajaa.
Haavaumat ovat melko epämiellyttäviä, sillä lisäävät herkkyyttä monenlaisille elintarvikkeille. Esimerkiksi appelsiinimehun tai kuumien juomien juominen voi olla varsin tuskallista.
Näiden vaurioiden sijainti, muoto ja syyt vaihtelevat suuresti. Itse asiassa ne voivat johtua jostakin niin yksinkertaisesta kuin suun sisäpinnan puremisesta tai ne voivat olla oire monimutkaisesta systeemisestä prosessista. Ne voivat olla jopa ensimmäinen merkki infektiosta.
Tämän päivän artikkelissa kerromme yleisimmät syyt suun haavaumien syntymiseen. Esittelemme myös helppoja niksejä niiden hoitamiseksi ja parantamiseksi mahdollisimman nopeasti.
Suun limakalvon haavaumat: aiheuttajat
Suun haavaumat ovat yleensä muodoltaan pyöreitä ja valkeita vaurioita, joita ympäröi tulehtunut alue. Ne ovat normaalisti melko pieniä kooltaan.
Kipeitä haavaumia voi olla samaan aikaan useampi kuin yksi. On myös tapauksia, joissa nämä suun vauriot ovat melko suuria, jolloin myös paraneminen on monimutkaisempaa.

Erot haavaumien koossa ja lukumäärässä johtuvat pääasiassa niiden syntymisen syistä. Kuten jo mainitsimme, yksi yleinen syy on posken pureminen. Muita yleisimpiä syitä ovat:
- Kaikki hammaslääkärihoidot, erityisesti oikomishoidot ja hammasraudat.
- Herpesvirukseen liittyy usein useita pieniä suun haavaumia.
- Stressistä ja hormonaalisista muutoksista johtuvat haavaumat ovat yleisempiä naisilla, koska heillä hormonaaliset muutokset ovat voimakkaampia.
- Tupakointi voi aiheuttaa suun haavaumia palovamman tai jopa teollisten savukkeiden myrkyllisten lisäaineiden kautta.
- Monet lääkkeet voivat aiheuttaa haavaumia, etenkin kemoterapia ja sädehoito tiettyjä syöpiä vastaan.
Systeemiset syyt
Edellä mainittujen syiden lisäksi on olemassa lukuisia sairauksia, jotka voivat johtaa suun haavaumien syntymiseen. On hyvä olla tietoinen siitä, että mikä tahansa ravinnepuutos voi myös aiheuttaa suun haavaumia. Raudan tai vitamiinien puutostilat ovat yleisimpiä aiheuttajia.
Toinen syy voi olla Behçetin tauti, jonka pääoire on verisuonten tulehdus. Tämä johtuu siitä, että se vahingoittaa kehon eri elimiä ja oireilee myös suun haavaumien kautta.
Lisäksi on tavallista, että tulehduksellisesta suolistosairaudesta kärsivät henkilöt saavat usein haavaumia suun limakalvoille. Sama tapahtuu keliakian kanssa. Lisäksi mikä tahansa patologi, joka aiheuttaa haavoja ja rakkuloita iholla, voi olla syyllinen.

Kuinka suun haavaumia hoidetaan?
Kuten mainittu, useimmat suun limakalvon haavaumat ovat hyvänlaatuisia. Tämä tarkoittaa, että ne paranevat itsekseen eivätkä yleensä vaadi hoitoa. Mikäli suun haavaumat uusiutuvat ilman mitään ilmeistä syytä, kuten pureman aiheuttamaa vauriota, on hyvä tutkia mahdollisia muita haavaumia aiheuttavia tekijöitä.
Vaikka on totta, ettei suun haavaumia tarvitse hoitaa, on olemassa tiettyjä tuotteita jotka edistävät ja nopeuttavat paranemista. Esimerkiksi hyaluronihappo, jota markkinoidaan voiteen muodossa. Lisäksi tietyt elintarvikkeet voivat ärsyttää haavaumia, joten vältä niitä.
Suun haavaumat voivat johtua myös infektiosta, ja tässä tapauksessa niitä on hoidettava. Sama koskee vaurioita, jotka johtuvat lääkkeiden sivuvaikutuksista. Tässä tapauksessa sinun tulisi keskustella lääkärisi kanssa lääkityksen vaihtamisesta.
Mikäli suun haavaumat aiheuttavat paljon epämukavuutta ja kipua, voidaan käyttää puuduttavia aineita, kuten lidokaiinia, sisältäviä suuvesiä. Suuvedet jotka sisältävät kortikosteroideja voivat hillitä tulehdusta.
Ota yhteys lääkäriin, jos suun haavaumat ovat liian kivuliaita tai toistuvat usein. Tämä johtuu siitä, että ne voivat olla oireita joistakin puutostiloista tai sairauksista, jotka vaativat enemmän hoitoa.
Kaikki lainatut lähteet tarkistettiin perusteellisesti tiimimme toimesta varmistaaksemme niiden laadun, luotettavuuden, ajantasaisuuden ja pätevyyden. Tämän artikkelin bibliografia katsottiin luotettavaksi ja akateemisesti tai tieteellisesti tarkaksi.
- ¿Llagas en la boca? Te decimos cómo curarlas | Ferrus&Bratos. (n.d.). Retrieved January 4, 2020, from https://www.clinicaferrusbratos.com/odontologia-general/llagas-boca-por-que-salen-y-como-curarlas/
- Llagas en la boca. (n.d.). Retrieved January 4, 2020, from https://www.cancer.org/es/tratamiento/tratamientos-y-efectos-secundarios/efectos-secundarios-fisicos/problemas-de-la-boca/llagas-en-la-boca.html
- Llagas e inflamación en la boca – Trastornos bucales y dentales – Manual MSD versión para público general. (n.d.). Retrieved January 4, 2020, from https://www.msdmanuals.com/es-es/hogar/trastornos-bucales-y-dentales/síntomas-de-los-trastornos-orales-y-dentales/llagas-e-inflamación-en-la-boca
Tämä teksti on tarkoitettu vain tiedoksi eikä se korvaa ammattilaisen konsultaatiota. Jos sinulla on kysyttävää, konsultoi asiantuntijaasi.







