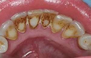
Poista plakkia ja paranna suun hygieniaa

Plakkia muodostuu hampaisiin silloin, kun syömäsi ruoan jäänteitä kertyy hampaiden sisä- ja ulkopinnoille. Tämä hampaiden terveyteen vaikuttava ongelma saattaa aiheuttaa pahanhajuista hengitystä, ja lisäksi se voi myös saada aikaan muita suun ongelmia, sillä nämä kertymät saattavat kovettua ja muuttua kalkiksi hampaissasi. Tämä puolestaan aiheuttaa ienten verenvuotoa ja sairauksia. Poista plakkia tässä artikkelissa esittelemiemme neuvojen avulla.
Vaikka ei olekaan olemassa mitään täydellistä ratkaisua hampaiden plakin poistamiseksi ja estämiseksi, on olemassa useampi keino plakin vähentämiseksi kotikonstein. Näin sitä ei kerry suuhun yhtä paljon, ja estät jo muodostuneen plakin kehittymisen haitallisemmaksi. Jotta siis voisit parantaa suusi hygieniaa, jatka lukemista. Nämä vinkit ovat helppoja ja edullisia – poista plakkia kotioloissa!
Paras keino plakin poistamiseksi on muuttaa tapaa, jolla harjaat hampaasi päivittäin. Useimmat ihmiset ovat harjatessaan tottuneet tekemään vaakatason liikettä sivulta toiselle, mutta moni ei tiedä, että tämä liike itse asiassa lisää hampaiden herkkyyttä. Se saattaa jopa painaa plakin yhä syvemmälle hampaittesi väliin.
Muuta siis harjaustottumuksiasi siten, että alat harjaamaan hampaasi pituussuunnassa: ylhäältä alas ja siten, että yrität saada aikaiseksi pyöriviä liikkeitä. Älä myöskään unohda käyttää aina hammaslankaa, jotta voisit poistaa kaikki hampaittesi väliin jääneet ruoantähteet. Kun olet harjannut ja käyttänyt hammaslankaa, ota esiin vielä suuvesi. Huuhtele sillä myös harjasi – siitä tulisi poistaa kaikki ruoka, joka siihen on mahdollisesti jäänyt kiinni.
Muista tämä: hammasharja pitäisi vaihtaa uuteen vähintään neljä kertaa vuodessa, ja hammastahnassa tulisi aina olla mukana fluoria.
Poista plakkia näiden neuvojen avulla
Muuta ruokailutottumuksiasi
Kun ruokavaliosi koostuu terveellisistä aineksista, teet hyvän työn muun elimistösi lisäksi myös hampaillesi, sillä oikea ruokavalio parantaa suunkin terveyttä. Yritä siis välttää sokereita ja hiilihydraatteja, ja jätä kokonaan pois virvoitusjuomat. Jos kuitenkin pidät liian paljon näistä juomista, voit alkaa juomaan niitä (kohtuullisesti!) pillillä niin, että neste ei kosketa suoranaisesti hampaitasi. Älä syö liian paljon teollisesti prosessoitua jauhoa sisältävää ruokaa, ja silloin kun syöt tällaista jauhoa, muista aina harjata hampaasi jälkikäteen. Näin vältät saamasta suuhusi bakteereista aiheutuvia tulehduksia.
Kuinka hampaiden terveyttä voi edistää?
Kotihoidot voivat olla hyvinkin tehokkaita suun terveydenhoidossa, sillä ne tehoavat niin hampaiden reikiintymistä vastaan kuin esimerkiksi plakinkin torjunnassa. On kuitenkin tärkeää pitäytyä kohtuudessa näiden hoitojen kanssa, sillä jos et seuraa ohjeita, saatat lopulta aiheuttaa hampaillesi enemmän haittaa kuin hyötyä. Seuraavassa esittelemme sinulle muutaman hyvän kotihoidon, joiden avulla voit parantaa suusi hygieniaa sekä taistella plakkia vastaan.
Sokeriton purukumi

Vaikka tämä tuote onkin hiukan ristiriitaisessa maineessa – tai ainakin tämä koskee eräitä purukumituotteita – on eräs viimeaikainen tutkimus osoittanut, että sokerittoman purukumin syönti auttaa vähentämään hampaissa olevan plakin määrää. Pureskele siis palasta purukumia (Suom. huom. Suomessa meillä on loistava Xylitol-vaihtoehto!) jokaisen ateriasi jälkeen, jotta suuhusi jääneet ruoanmuruset voisivat poistua helpommin. Tämän lisäksi on myös tärkeää harjata hampaat, jotta pääsisit eroon kaikista tähteistä.
Ruokasooda

Kun harjaat hampaasi, lisää hyvin pieni määrä ruokasoodaa hammastahnaasi. Tämä tuote saa suuhusi jääneen ruoan liukenemaan hampaiden pinnalta, ja se pystyy myös valkaisemaan hampaita huomattavan tehokkaasti. Voit tehdä tämän hoidon kerran viikossa juuri ennen nukkumaanmenoa, mutta muista, että ruokasoodaa ei tulisi käyttää enempää kuin aivan pieni määrä!
Sitruuna

Sitruunamehu on mahtava apu plakin ja hammaskiven torjumiseksi. Sitruunan happoisuus on syövyttävää, joten se auttaa suun kokonaisvaltaissa puhdistamisessa. Sitruuna myös kirkastaa hampaiden väriä, poistaa pahaa hajua hengityksestä sekä pystyy jopa valkaisemaan. Käytä sitruunamehua vain kerran viikossa, jotta voisit poistaa kertynyttä plakkia vähitellen – ole siis varovainen tämän hoidon kanssa, sillä jos teet sen liian usein, saatat saada aikaiseksi juuri tavoitteesi vastaisen vaikutuksen.
Muista tämä!
Vaikka tarjolla on lukematon määrä hampaiden puhdistamiseen, valkaisemiseen ja muuhun hoitoon liittyviä tuotteita, on paras vaihtoehto terveen suun säilyttämiseksi edelleen säännöllinen hammaslääkärissäkäynti. Tämän tulisi tapahtua ainakin kerran vuodessa (tai useammin, jos hampaat eivät ole terveet), ja muista, että mikään ei ole parempi tapa parantaa suun kuntoa kuin ammattilaisen tekemä puhdistus. Niin pääset eroon plakista mahdollisimman tehokkaasti, ja estät parhaalla mahdollisella tavalla sen hampaita vahingoittavat vaikutukset.
Poista plakkia kokeilemalla esittelemiämme luonnollisia kotivinkkejä, samalla edistäen suun terveyttä. Käänny kuitenkin ammattilaisten puoleen aina tarvittaessa!
Plakkia muodostuu hampaisiin silloin, kun syömäsi ruoan jäänteitä kertyy hampaiden sisä- ja ulkopinnoille. Tämä hampaiden terveyteen vaikuttava ongelma saattaa aiheuttaa pahanhajuista hengitystä, ja lisäksi se voi myös saada aikaan muita suun ongelmia, sillä nämä kertymät saattavat kovettua ja muuttua kalkiksi hampaissasi. Tämä puolestaan aiheuttaa ienten verenvuotoa ja sairauksia. Poista plakkia tässä artikkelissa esittelemiemme neuvojen avulla.
Vaikka ei olekaan olemassa mitään täydellistä ratkaisua hampaiden plakin poistamiseksi ja estämiseksi, on olemassa useampi keino plakin vähentämiseksi kotikonstein. Näin sitä ei kerry suuhun yhtä paljon, ja estät jo muodostuneen plakin kehittymisen haitallisemmaksi. Jotta siis voisit parantaa suusi hygieniaa, jatka lukemista. Nämä vinkit ovat helppoja ja edullisia – poista plakkia kotioloissa!
Paras keino plakin poistamiseksi on muuttaa tapaa, jolla harjaat hampaasi päivittäin. Useimmat ihmiset ovat harjatessaan tottuneet tekemään vaakatason liikettä sivulta toiselle, mutta moni ei tiedä, että tämä liike itse asiassa lisää hampaiden herkkyyttä. Se saattaa jopa painaa plakin yhä syvemmälle hampaittesi väliin.
Muuta siis harjaustottumuksiasi siten, että alat harjaamaan hampaasi pituussuunnassa: ylhäältä alas ja siten, että yrität saada aikaiseksi pyöriviä liikkeitä. Älä myöskään unohda käyttää aina hammaslankaa, jotta voisit poistaa kaikki hampaittesi väliin jääneet ruoantähteet. Kun olet harjannut ja käyttänyt hammaslankaa, ota esiin vielä suuvesi. Huuhtele sillä myös harjasi – siitä tulisi poistaa kaikki ruoka, joka siihen on mahdollisesti jäänyt kiinni.
Muista tämä: hammasharja pitäisi vaihtaa uuteen vähintään neljä kertaa vuodessa, ja hammastahnassa tulisi aina olla mukana fluoria.
Poista plakkia näiden neuvojen avulla
Muuta ruokailutottumuksiasi
Kun ruokavaliosi koostuu terveellisistä aineksista, teet hyvän työn muun elimistösi lisäksi myös hampaillesi, sillä oikea ruokavalio parantaa suunkin terveyttä. Yritä siis välttää sokereita ja hiilihydraatteja, ja jätä kokonaan pois virvoitusjuomat. Jos kuitenkin pidät liian paljon näistä juomista, voit alkaa juomaan niitä (kohtuullisesti!) pillillä niin, että neste ei kosketa suoranaisesti hampaitasi. Älä syö liian paljon teollisesti prosessoitua jauhoa sisältävää ruokaa, ja silloin kun syöt tällaista jauhoa, muista aina harjata hampaasi jälkikäteen. Näin vältät saamasta suuhusi bakteereista aiheutuvia tulehduksia.
Kuinka hampaiden terveyttä voi edistää?
Kotihoidot voivat olla hyvinkin tehokkaita suun terveydenhoidossa, sillä ne tehoavat niin hampaiden reikiintymistä vastaan kuin esimerkiksi plakinkin torjunnassa. On kuitenkin tärkeää pitäytyä kohtuudessa näiden hoitojen kanssa, sillä jos et seuraa ohjeita, saatat lopulta aiheuttaa hampaillesi enemmän haittaa kuin hyötyä. Seuraavassa esittelemme sinulle muutaman hyvän kotihoidon, joiden avulla voit parantaa suusi hygieniaa sekä taistella plakkia vastaan.
Sokeriton purukumi

Vaikka tämä tuote onkin hiukan ristiriitaisessa maineessa – tai ainakin tämä koskee eräitä purukumituotteita – on eräs viimeaikainen tutkimus osoittanut, että sokerittoman purukumin syönti auttaa vähentämään hampaissa olevan plakin määrää. Pureskele siis palasta purukumia (Suom. huom. Suomessa meillä on loistava Xylitol-vaihtoehto!) jokaisen ateriasi jälkeen, jotta suuhusi jääneet ruoanmuruset voisivat poistua helpommin. Tämän lisäksi on myös tärkeää harjata hampaat, jotta pääsisit eroon kaikista tähteistä.
Ruokasooda

Kun harjaat hampaasi, lisää hyvin pieni määrä ruokasoodaa hammastahnaasi. Tämä tuote saa suuhusi jääneen ruoan liukenemaan hampaiden pinnalta, ja se pystyy myös valkaisemaan hampaita huomattavan tehokkaasti. Voit tehdä tämän hoidon kerran viikossa juuri ennen nukkumaanmenoa, mutta muista, että ruokasoodaa ei tulisi käyttää enempää kuin aivan pieni määrä!
Sitruuna

Sitruunamehu on mahtava apu plakin ja hammaskiven torjumiseksi. Sitruunan happoisuus on syövyttävää, joten se auttaa suun kokonaisvaltaissa puhdistamisessa. Sitruuna myös kirkastaa hampaiden väriä, poistaa pahaa hajua hengityksestä sekä pystyy jopa valkaisemaan. Käytä sitruunamehua vain kerran viikossa, jotta voisit poistaa kertynyttä plakkia vähitellen – ole siis varovainen tämän hoidon kanssa, sillä jos teet sen liian usein, saatat saada aikaiseksi juuri tavoitteesi vastaisen vaikutuksen.
Muista tämä!
Vaikka tarjolla on lukematon määrä hampaiden puhdistamiseen, valkaisemiseen ja muuhun hoitoon liittyviä tuotteita, on paras vaihtoehto terveen suun säilyttämiseksi edelleen säännöllinen hammaslääkärissäkäynti. Tämän tulisi tapahtua ainakin kerran vuodessa (tai useammin, jos hampaat eivät ole terveet), ja muista, että mikään ei ole parempi tapa parantaa suun kuntoa kuin ammattilaisen tekemä puhdistus. Niin pääset eroon plakista mahdollisimman tehokkaasti, ja estät parhaalla mahdollisella tavalla sen hampaita vahingoittavat vaikutukset.
Poista plakkia kokeilemalla esittelemiämme luonnollisia kotivinkkejä, samalla edistäen suun terveyttä. Käänny kuitenkin ammattilaisten puoleen aina tarvittaessa!
Kaikki lainatut lähteet tarkistettiin perusteellisesti tiimimme toimesta varmistaaksemme niiden laadun, luotettavuuden, ajantasaisuuden ja pätevyyden. Tämän artikkelin bibliografia katsottiin luotettavaksi ja akateemisesti tai tieteellisesti tarkaksi.
- Chetruş, V., & Ion, I. R. (2013). Dental plaque–classification, formation and identification. International Journal of Medical Dentistry, 3(2), 139-143. https://www.ijmd.ro/articole/306_306_6%20chetrus.pdf
- PPoyato Ferrera, M. M., Segura-Egea, J. J., Ríos-Santos, J. V., & Bullon, P. (2001). La placa bacteriana: Conceptos básicos para el higienista bucodental. Periodoncia, 11 (2), 149-164. https://idus.us.es/xmlui/handle/11441/39214
- Rosan, B., & Lamont, R. J. (2000). Dental plaque formation. Microbes and infection, 2(13), 1599-1607. https://www.sciencedirect.com/science/article/abs/pii/S1286457900013162
- Touger-Decker, R., & Van Loveren, C. (2003). Sugars and dental caries. The American journal of clinical nutrition, 78(4), 881S-892S. https://academic.oup.com/ajcn/article/78/4/881S/4690063
- Putt, M. S., Milleman, K. R., Ghassemi, A., Vorwerk, L. M., Hooper, W. J., Soparkar, P. M., … & Proskin, H. M. (2008). Enhancement of plaque removal efficacy by tooth brushing with baking soda dentifrices: results of five clinical studies. Journal of Clinical Dentistry, 19(4), 111. https://www.researchgate.net/profile/Mark_Putt/publication/24193167_Enhancement_of_plaque_removal_efficacy_by_tooth_brushing_with_baking_soda_dentifrices_Results_of_five_clinical_studies/links/555b610608ae6aea0816bf4d.pdf
Tämä teksti on tarkoitettu vain tiedoksi eikä se korvaa ammattilaisen konsultaatiota. Jos sinulla on kysyttävää, konsultoi asiantuntijaasi.







