10 kummallista asiaa, joita teet nukkuessasi

Kun suljet illalla silmäsi, haluat vain viettää rauhallisen ja hiljaisen yön, jonka aikana saat kunnolla unta. Mutta itse asiassa kehosi on kaikkea muuta kuin rauhallinen nukkuessasi, ja se suorittaa hyvin yllättäviäkin toimintoja. Tässä artikkelissa kerromme siis tarkemmin sellaisista kummallisista asioista, joita elimistösi tekee öisin nukkuessasi.
1. Äkilliset nytkähdykset, ponnahdukset ja kääntymiset

Olet varmasti kokenut tällaista joskus. Olet juuri nukahtanut, ja yht’äkkiä havahdut siihen, että kehosi nytkähtää. Tämä on hyvin tavallista, ja se ei ole mikään ongelma. Kehon säpsähtäminen on ilmiö, jota kutsutaan hypnoottiseksi impulssiksi, ja se tapahtuu ainoastaan nukkuessasi. Tämä ilmiö johtuu siitä, että elimistö valmistautuu niihin muutoksiin, joita se tulee käymään läpi unen aikana. Toiminnot hidastuvat yöllä, ja joskus aivot tulkitsevat tämän muutoksen romahdukseksi – seurauksena siitä on sitten tällainen havaittava reaktio.
2. Unihalvaus
Tämä on ilmiö, jota monet ihmiset kokevat, ja se tapahtuu vain unen kaikkein syvimmässä vaiheessa. Tämä vaihe tunnetaan nimellä REM-vaihe (Rapid Eye Movement). Tällaisina hetkinä huomaamme yht’äkkiä uneksivamme, ja tiedämme esimerkiksi, että kauhea painajainen jota käymme juuri läpi ei ole todellinen, mutta huolimatta siitä, kuinka paljon yritämme reagoida ja liikkua, emme pysty siihen. Kädet ja jalat ovat tällöin siis halvaantuneet. Tämä ilmiö voi olla hyvin pelottava, sillä emme pysty reagoimaan, vaikka tiedämme olevamme unessa. Tällöin painajaiset ovat hyvin todentuntuisia.
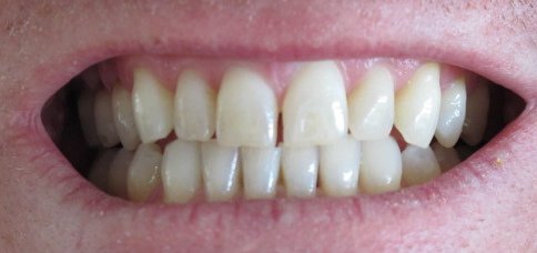
3. Hampaiden narskuttelu tai hankaaminen

Tätä arkipäiväistä ilmiötä kutsutaan myös nimellä bruxism. Siihen kuuluu hampaiden hankaamista yhteen, ja syynä on stressi tai leukojen huono rakenne. Saatamme herätä aamulla kipeän leuan kanssa tai saada narskuttelusta johtuvia muita suun ongelmia.
4. Unessa puhuminen
Onko sinulle tai vieressäsi nukkuvalle joskus käynyt näin? Unessa puhuminen on hyvin yleistä, ja se saattaa joskus aiheuttaa ongelmia pariskunnan yhteiselossa. Saatamme sanoa ääneen jonkin sanan tai lauseen, ja joskus jopa käymme läpi pientä keskustelua. Nämä kaikki sanotut asiat unohtuvat kuitenkin niin selkeästi, että emme pysty muistamaan valveilla ollesaamme mitä olemme sanoneet – on siis usein vaikea uskoa, jos joku yrittää vakuuttaa meitä yöllisistä sanomisistamme.
5. Seksuaalinen kiihottuneisuus

Tämä ei ole mikään yllätys, sillä seksuaalinen kiihottuneisuus unessa on hyvin yleinen ilmiö. Esimerkiksi miehet kokevat usein yöllisiä erektioita, ja tämä on täysin luonnollista ja tervettä. Se johtuu siitä, että verenkierto ja veren hapettuminen tehostuvat yöllä, mikä sitten johtaa erektioon. Mutta tämä ilmiö ei kuitenkaan rajoitu vain miehiin, sillä myös naiset voivat toisinaan kokea kiihottumista unessaan, jos heillä on ollut seksuaalisia unia. Tämä tapahtuu siksi, että juuri yöllä tiettyjä hormoneja, jotka pystyvät aiheuttamaan tämän mielenkiintoisen ilmiön, erittyy elimistössä.
6. Unen REM-vaihe ja silmien liike
Vaikka ihmisen silmät ovatkin kiinni unessa, eivät ne lakkaa liikkumasta etenkään unen REM-vaiheessa. Totuus tästä ilmiöstä on kuitenkin se, että tieteilijät eivät vielä ole pystyneet savuttamaan yhteisymmärrystä siitä, miksi näin tapahtuu. Silmien yöllisen liikkeen käsitetään kuitenkin olevan yhteydessä hermoston stimulaatioon, joka on intensiivistä aivojen toimintaa, ja se sallii ihmisen järjestää muistoja, luokitella tietoa ja pitää muistin mahdollisimman hyvänä. Siten on biologisesti tarpeellista viettää rauhallinen ja lepoa antava unen aika.
7. Olet pidempi unesi aikana

Kuulostaako kummalliselta? Varmasti, mutta tämä ei tarkoita sitä, että kasvaisit kokonaisia senttejä. Muutos pituudessa on vain hienoinen, ei sen enempää. Tämä johtuu yksinkertaisesti siitä, että selkärangasta tulee nukkuessa kosteutetumpi, ja sen osat irtoavat hiukan. Siten selkänikamien välillä olevien välilevyjen viemä tila kasvaa hiukan, ja saamme lisää pituutta. Mutta aamun tullessa välilevyt kutistuvat takaisin alkuperäiseen kokoonsa. Hyvin mielenkiintoista, eikö vain?
8. Aivot puhdistuvat yöllä myrkyllisistä aineista
Kun nukut, teet jotakin, mikä on äärimmäisen tärkeää koko terveydellesi ja etenkin aivoillesi. Aivot ovat hyvin aktiiviset yön aikana. Sen lisäksi, että järjestät ja luokittelet tietoa, autat nukkuessasi puhdistamaan aivojasi myrkyllisistä aineista ja muista haitallisista tekijöistä. Tästä on kiittäminen imusuonijärjestelmää, ja tällä tavalla esimerkiksi aivojasi suojaavat proteiinit tulevat optimoiduiksi. Tämä estää sellaisten sairauksien kuten Alzheimerin taudin syntyä.
9. Lapsilla erittyy kasvuhormoneja

Lapset tarvitsevat unta voidakseen kasvaa, sillä uni on elintärkeää ihmisen kasvuhormonin erittymisen kannalta. Näin kehon lihakset ja luut voivat kasvaa. Ja pidä mielessäsi myös se, että unen avulla aikuisten solut voivat uusiutua. Siten myös kasvuiän ylittäneiden ihmisten on hyvin tärkeää saada kunnollista unta!
10. Nukkumalla pudota painoasi
Tiedämme kaikki, että uni ei ole sellaista kehon toimintaa, josta seuraisi jokin suunniteltu tulos, mutta tämä ei tarkoita sitä, etteikö elimistösi käyttäisi energiaa unen aikana. Itse asiassa uni tarkoittaa hyvin paljon toimintaa. Nukkuessasi kehosi suorittaa monia perustavanlaatuisia toimintoja, joihin kuuluvat muun muassa myrkkyjen ja haitallisten tekijöiden poistaminen. Tämä on äärimmäisen tärkeää elimistön palautumisen kannalta. Jos kehosi ei poista siihen kertyneitä haitallisia aineita tehokkaasti, jää siihen nesteitä, ja siten se muuttuu turvonneeksi. Munuaiset lakkaavat tällöin toimimasta hyvin.
Jos et siis nuku, tai jos nukut huonosti, on seurauksena kaikki tämä, ja lisäksi ilmaantuu hormonia nimeltään ghrelin, jota kutsutaan myös “nälkähormoniksi”. Tiedätkö, mitä tämä hormoni tekee? Se saa sinut tuntemaan olosi nälkäiseksi, ja tämä on tietysti huono juttu painonpudotuksen kannalta.
Uni on siis äärimmäisen tärkeää aikaa, joten siihen kannattaa panostaa. Nyt tiedät, mitä kaikkea yllättävää elimistösi tekee nukkuessasi!
Kun suljet illalla silmäsi, haluat vain viettää rauhallisen ja hiljaisen yön, jonka aikana saat kunnolla unta. Mutta itse asiassa kehosi on kaikkea muuta kuin rauhallinen nukkuessasi, ja se suorittaa hyvin yllättäviäkin toimintoja. Tässä artikkelissa kerromme siis tarkemmin sellaisista kummallisista asioista, joita elimistösi tekee öisin nukkuessasi.
1. Äkilliset nytkähdykset, ponnahdukset ja kääntymiset

Olet varmasti kokenut tällaista joskus. Olet juuri nukahtanut, ja yht’äkkiä havahdut siihen, että kehosi nytkähtää. Tämä on hyvin tavallista, ja se ei ole mikään ongelma. Kehon säpsähtäminen on ilmiö, jota kutsutaan hypnoottiseksi impulssiksi, ja se tapahtuu ainoastaan nukkuessasi. Tämä ilmiö johtuu siitä, että elimistö valmistautuu niihin muutoksiin, joita se tulee käymään läpi unen aikana. Toiminnot hidastuvat yöllä, ja joskus aivot tulkitsevat tämän muutoksen romahdukseksi – seurauksena siitä on sitten tällainen havaittava reaktio.
2. Unihalvaus
Tämä on ilmiö, jota monet ihmiset kokevat, ja se tapahtuu vain unen kaikkein syvimmässä vaiheessa. Tämä vaihe tunnetaan nimellä REM-vaihe (Rapid Eye Movement). Tällaisina hetkinä huomaamme yht’äkkiä uneksivamme, ja tiedämme esimerkiksi, että kauhea painajainen jota käymme juuri läpi ei ole todellinen, mutta huolimatta siitä, kuinka paljon yritämme reagoida ja liikkua, emme pysty siihen. Kädet ja jalat ovat tällöin siis halvaantuneet. Tämä ilmiö voi olla hyvin pelottava, sillä emme pysty reagoimaan, vaikka tiedämme olevamme unessa. Tällöin painajaiset ovat hyvin todentuntuisia.
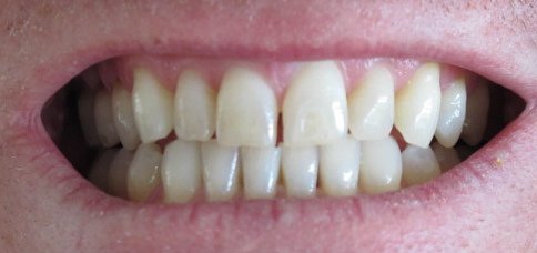
3. Hampaiden narskuttelu tai hankaaminen

Tätä arkipäiväistä ilmiötä kutsutaan myös nimellä bruxism. Siihen kuuluu hampaiden hankaamista yhteen, ja syynä on stressi tai leukojen huono rakenne. Saatamme herätä aamulla kipeän leuan kanssa tai saada narskuttelusta johtuvia muita suun ongelmia.
4. Unessa puhuminen
Onko sinulle tai vieressäsi nukkuvalle joskus käynyt näin? Unessa puhuminen on hyvin yleistä, ja se saattaa joskus aiheuttaa ongelmia pariskunnan yhteiselossa. Saatamme sanoa ääneen jonkin sanan tai lauseen, ja joskus jopa käymme läpi pientä keskustelua. Nämä kaikki sanotut asiat unohtuvat kuitenkin niin selkeästi, että emme pysty muistamaan valveilla ollesaamme mitä olemme sanoneet – on siis usein vaikea uskoa, jos joku yrittää vakuuttaa meitä yöllisistä sanomisistamme.
5. Seksuaalinen kiihottuneisuus

Tämä ei ole mikään yllätys, sillä seksuaalinen kiihottuneisuus unessa on hyvin yleinen ilmiö. Esimerkiksi miehet kokevat usein yöllisiä erektioita, ja tämä on täysin luonnollista ja tervettä. Se johtuu siitä, että verenkierto ja veren hapettuminen tehostuvat yöllä, mikä sitten johtaa erektioon. Mutta tämä ilmiö ei kuitenkaan rajoitu vain miehiin, sillä myös naiset voivat toisinaan kokea kiihottumista unessaan, jos heillä on ollut seksuaalisia unia. Tämä tapahtuu siksi, että juuri yöllä tiettyjä hormoneja, jotka pystyvät aiheuttamaan tämän mielenkiintoisen ilmiön, erittyy elimistössä.
6. Unen REM-vaihe ja silmien liike
Vaikka ihmisen silmät ovatkin kiinni unessa, eivät ne lakkaa liikkumasta etenkään unen REM-vaiheessa. Totuus tästä ilmiöstä on kuitenkin se, että tieteilijät eivät vielä ole pystyneet savuttamaan yhteisymmärrystä siitä, miksi näin tapahtuu. Silmien yöllisen liikkeen käsitetään kuitenkin olevan yhteydessä hermoston stimulaatioon, joka on intensiivistä aivojen toimintaa, ja se sallii ihmisen järjestää muistoja, luokitella tietoa ja pitää muistin mahdollisimman hyvänä. Siten on biologisesti tarpeellista viettää rauhallinen ja lepoa antava unen aika.
7. Olet pidempi unesi aikana

Kuulostaako kummalliselta? Varmasti, mutta tämä ei tarkoita sitä, että kasvaisit kokonaisia senttejä. Muutos pituudessa on vain hienoinen, ei sen enempää. Tämä johtuu yksinkertaisesti siitä, että selkärangasta tulee nukkuessa kosteutetumpi, ja sen osat irtoavat hiukan. Siten selkänikamien välillä olevien välilevyjen viemä tila kasvaa hiukan, ja saamme lisää pituutta. Mutta aamun tullessa välilevyt kutistuvat takaisin alkuperäiseen kokoonsa. Hyvin mielenkiintoista, eikö vain?
8. Aivot puhdistuvat yöllä myrkyllisistä aineista
Kun nukut, teet jotakin, mikä on äärimmäisen tärkeää koko terveydellesi ja etenkin aivoillesi. Aivot ovat hyvin aktiiviset yön aikana. Sen lisäksi, että järjestät ja luokittelet tietoa, autat nukkuessasi puhdistamaan aivojasi myrkyllisistä aineista ja muista haitallisista tekijöistä. Tästä on kiittäminen imusuonijärjestelmää, ja tällä tavalla esimerkiksi aivojasi suojaavat proteiinit tulevat optimoiduiksi. Tämä estää sellaisten sairauksien kuten Alzheimerin taudin syntyä.
9. Lapsilla erittyy kasvuhormoneja

Lapset tarvitsevat unta voidakseen kasvaa, sillä uni on elintärkeää ihmisen kasvuhormonin erittymisen kannalta. Näin kehon lihakset ja luut voivat kasvaa. Ja pidä mielessäsi myös se, että unen avulla aikuisten solut voivat uusiutua. Siten myös kasvuiän ylittäneiden ihmisten on hyvin tärkeää saada kunnollista unta!
10. Nukkumalla pudota painoasi
Tiedämme kaikki, että uni ei ole sellaista kehon toimintaa, josta seuraisi jokin suunniteltu tulos, mutta tämä ei tarkoita sitä, etteikö elimistösi käyttäisi energiaa unen aikana. Itse asiassa uni tarkoittaa hyvin paljon toimintaa. Nukkuessasi kehosi suorittaa monia perustavanlaatuisia toimintoja, joihin kuuluvat muun muassa myrkkyjen ja haitallisten tekijöiden poistaminen. Tämä on äärimmäisen tärkeää elimistön palautumisen kannalta. Jos kehosi ei poista siihen kertyneitä haitallisia aineita tehokkaasti, jää siihen nesteitä, ja siten se muuttuu turvonneeksi. Munuaiset lakkaavat tällöin toimimasta hyvin.
Jos et siis nuku, tai jos nukut huonosti, on seurauksena kaikki tämä, ja lisäksi ilmaantuu hormonia nimeltään ghrelin, jota kutsutaan myös “nälkähormoniksi”. Tiedätkö, mitä tämä hormoni tekee? Se saa sinut tuntemaan olosi nälkäiseksi, ja tämä on tietysti huono juttu painonpudotuksen kannalta.
Uni on siis äärimmäisen tärkeää aikaa, joten siihen kannattaa panostaa. Nyt tiedät, mitä kaikkea yllättävää elimistösi tekee nukkuessasi!
Kaikki lainatut lähteet tarkistettiin perusteellisesti tiimimme toimesta varmistaaksemme niiden laadun, luotettavuuden, ajantasaisuuden ja pätevyyden. Tämän artikkelin bibliografia katsottiin luotettavaksi ja akateemisesti tai tieteellisesti tarkaksi.
- Henry, C. J. K. (2005). Basal metabolic rate studies in humans: measurement and development of new equations. Public health nutrition, 8(7a), 1133-1152. Available at: https://doi.org/10.1079/PHN2005801. Accessed 13/03/2020.
- Hovav, Y., Dan-Goor, M., Yaffe, H., & Almagor, M. (1999). Nocturnal sperm emission in men with psychogenic anejaculation. Fertility and sterility, 72(2), 364-365. Available at: https://doi.org/10.1016/S0015-0282(99)00239-3. Accessed 13/03/2020.
- Instituto Nacional de la Salud de Estados Unidos (2018). ¿Qué es el sueño REM? Available at: https://espanol.nichd.nih.gov/salud/temas/sleep/informacion/REM. Accessed 13/03/2020.
- Mayo Clinic (2017). Bruxismo (rechinamiento de los dientes). Available at: https://www.mayoclinic.org/es-es/diseases-conditions/bruxism/symptoms-causes/syc-20356095. Accessed 13/03/2020.
- Mayo Clinic (2019). Mioclono. Available at: https://www.mayoclinic.org/es-es/diseases-conditions/myoclonus/symptoms-causes/syc-20350459. Accessed 13/03/2020.
- MedlinePlus (2019). Parálisis del sueño. Available at: https://medlineplus.gov/spanish/ency/article/000801.htm. Accessed 13/03/2020.
- Redwine, L., Hauger, R. L., Gillin, J. C., & Irwin, M. (2000). Effects of sleep and sleep deprivation on interleukin-6, growth hormone, cortisol, and melatonin levels in humans. The Journal of Clinical Endocrinology & Metabolism, 85(10), 3597-3603. Available at: https://doi.org/10.1210/jcem.85.10.6871. Accessed 13/03/2020.
- Sun, B. L., Wang, L. H., Yang, T., Sun, J. Y., Mao, L. L., Yang, M. F., … & Yang, X. Y. (2018). Lymphatic drainage system of the brain: A novel target for intervention of neurological diseases. Progress in neurobiology, 163, 118-143. Available at: https://doi.org/10.1016/j.pneurobio.2017.08.007. Accessed 13/03/2020.
- Vergroesen, P. P. A., van der Veen, A. J., Emanuel, K. S., van Dieën, J. H., & Smit, T. H. (2016). The poro-elastic behaviour of the intervertebral disc: A new perspective on diurnal fluid flow. Journal of biomechanics, 49(6), 857-863. Available at: https://doi.org/10.1016/j.jbiomech.2015.11.041. Accessed 13/03/2020.
- Walker, M. P. (2008). Cognitive consequences of sleep and sleep loss. Sleep Medicine, 9, S29-S34. Available at: https://www.itdoes.co.uk/wp-content/uploads/2016/04/cognitive-consequences-fo-sleep-and-sleep-loss-by-Matthew-P-Walker-2008-in-sleep-medicine..pdf. Accessed 13/03/2020.
Tämä teksti on tarkoitettu vain tiedoksi eikä se korvaa ammattilaisen konsultaatiota. Jos sinulla on kysyttävää, konsultoi asiantuntijaasi.







