Mikä on akuutti koronaaritautisyndrooma?

Akuutti koronaaritautisyndrooma eli ACS ilmenee ihmisellä silloin, kun veren virtaus sydämeen vähentyy merkittävästi. Useimmissa tapauksissa tämä johtuu ateroomaplakin kertymisestä sepelvaltimoihin. Tässä artikkelissa kerromme mistä tarkemmin ottaen on kyse, sekä kerromme erilaisista diagnoosimenetelmistä. Jatka lukemista!
Ateroomaplakki on epänormaalia ainesten kertymistä verisuoniin. Kun osanen tällaista ateroomaa irtoaa, tuloksena on veritulpan muodostuminen. Sitten sepelvaltimo tai osa siitä tukkeutuu.
Sepelvaltimot ovat pääasialliset verta sydämelle kuljettavat verisuonet, ja siksi tukkeutuminen niissä saa aikaan sen, että veren virtaus vähenee sydämeen. Tämä sitten aiheuttaa ihmiselle niin kutsutun iskeemisen sydänsairauden.
Tämä on suurin syy ACS:n kehittymiseen, mutta on muistettava, että eräät muutkin tekijät voivat olla sen takana. Näihin kuuluvat kaikki seuraavat ongelmat:
- Kawasakin tauti
- nivelreuma
- vamma
- sepelvaltimon tromboosi
- valtimoiden veritulpat
- spontaani sepelvaltimon dissektoituma
- synnynnäiset poikkeamat, jotka aiheuttavat kyseistä sairautta
Miten akuutti koronaaritautisyndrooma voidaan havaita?

Rintakipu on tämän sairauden pääoire, mutta lisäksi potilaalla saattaa ilmetä muitakin merkkejä.
Pääasiallinen oire akuutin koronaaritautisyndrooman kehittymisestä on rintakipu, jota tuntuu tässä tapauksessa rintalastan alueella tai vatsassa. Lisäksi tämä kipu voi levitä muihinkin alueille, kuten esimerkiksi hartioihin, kaulaan tai leukaan.
Kipu on äkillistä ja se muuttuu voimakkaammaksi ajan kuluessa. Usein se etenee kovimmilleen noin 2-5 minuutin kuluttua, mutta jaksot voivat joskus olla tätä enemmän ohimeneviä.
Muita tilan oireita ovat pahoinvointi, oksentelu, vatsakipu sekä huimaus. Lisäksi joillakin potilailla saattaa olla liian alhaista verenpainetta eli hypotensiota, hikoilua, epäsäännöllistä pulssia sekä ihon kalpeutta.
Nuorilla potilailla, iältään 25-40 vuotta, sekä toisaalta ikääntyneillä, yli 75-vuotiailla, kliininen sairauden ilmeneminen voi olla epätarkkaa ja epätyypillistä. Tällöin oireet voivat olla ylävatsan kipu, tunne huonosta ruoansulatuksesta, uupumus tai hetkellinen tajuttomuus.
Lue aiheesta lisää: Sydäninfarkti: riskitekijät, oireet ja hoito
Akuutin koronaaritautisyndrooman diagnosointi
Tyypillisesti koronaaritautisyndrooma diagnosoidaan siinä vaiheessa kun potilaalla on rintakipua ja hänellä epäillään olevan iskemiaa. Näissä tapauksissa lääkäri tekee myös lisää testejä, jotta voidaan selvittää, onko todellakin kyse akuutista koronaaritautisyndroomasta ja kuinka vakavana se ilmenee.
EKG eli sydänfilmi

EKG tai elektrokardiografia on testi, joka on yleisesti ottaen käytetyin valinta sydämeen liittyvissä ongelmissa.
Tämä on lääketieteellinen menetelmä, joka kirjaa ylös sydämen sähköisen aktiviteetin joka kerta kun sydän lyö. Näin se luo graafisen kuvan, jossa voidaan havaita sydämen eteisten ja kammioiden sähköinen stimulaatio (eli sydämen liike).
Jos on mitään syytä epäillä että kyseessä on koronaaritautisyndrooma, lääkärin tulisi ottaa potilaalta sydänfilmi arvioinnin ensimmäisten kymmenen minuutin kuluessa. Jos tulokset ovat epävarmat, mutta on kuitenkin havaittavissa kliinistä todistetta, asiantuntijoiden mukaan lääkärin tulisi ottaa sydänfilmi uudelleen aina 15-30 minuutin välein, jotta arviointia voidaan jatkaa.
Sydämen entsyymit
Lisäksi verinäytteiden avulla lääkärit pystyvät analysoimaan sydämen entsyymejä, jotka kertovat sydänlihaksen nekroosista. Jos sydänlihaksen nekroosin tekijät (troponiinit ja kreatiini-kinaasi, MB-alayksikkö) ovat korkealla, lääkärin tulisi tällöin epäillä sydäninfarktia.
Lääkärin tulisi analysoida näitä tekijöitä ensimmäisen tunnin kuluessa potilaan ollessa arvioitavana.
Jos näitä merkkejä ei kuitenkaan ensimmäisen analyysin aikana ilmene, ei voida silti olla varmoja siitä, että sydänlihaksessa ei ole syntynyt vahinkoa. Siksi lääkärin tulisi toistaa testejä 6-12 tuntia sen jälkeen, kun potilaalla on alkanut ilmetä rintakipua.
Lue aiheesta lisää: Mikä on oikea ensiapu sydänkohtaukseen tai -pysähdykseen?
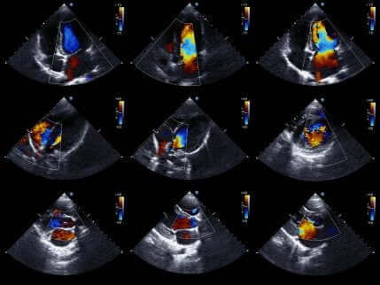
Sydämen ultraäänitutkimus

Sydämen ultraäänitutkimuksen avulla lääkintähenkilökunta pystyy tutkimaan potilaan sydäntä hyvin tarkasti.
Sydämen ultraäänitutkimus on erittäin suosittu menetelmä potilaan tutkimiseksi, sillä sen avulla saadaan otettua kuvia sydämestä liikkeessä. Siten sen kautta voidaan arvioida sydämen kammioiden terveyttä sekä niiden liikettä, jotta voidaan olla varmoja iskemian läsnäolosta tai sen puuttumisesta.
Lisäksi tällä menetelmällä voidaan arvioida sydämen kokoa ja vahvuuutta, kuten myös sen seinämien kuntoa. Yleisesti ottaen kyseessä on ei-invasiivinen menetelmä, joka ei tuota potilaalle mitään riskiä, sillä siinä hyödynnetään ultraäänitekniikkaa, jotta saadaan aikaan kuvia sydämestä.
Muita testimenetelmiä akuutin koronaaritautisyndrooman diagnosoinnissa
Joskus lääkärit voivat suositella sepelvaltimoiden angiografiaa. Tässä testissä käytetään kontrastitekijää ja röntgensäteitä, jotta voidaan selvittää, miten veri kulkee sydämen lävitse.
Lisäksi lääkärit voivat tehdä muita kokeita, jotta potilaan diagnoosista voidaan varmistua paremmin. Näihin voivat kuulua sydämen rasituskoe, radionuklideja koskeva sydämen rasituskoe sekä rasituskoe sydämen ultraäänitutkimukseen yhdistettynä.
Akuutti koronaaritautisyndrooma eli ACS ilmenee ihmisellä silloin, kun veren virtaus sydämeen vähentyy merkittävästi. Useimmissa tapauksissa tämä johtuu ateroomaplakin kertymisestä sepelvaltimoihin. Tässä artikkelissa kerromme mistä tarkemmin ottaen on kyse, sekä kerromme erilaisista diagnoosimenetelmistä. Jatka lukemista!
Ateroomaplakki on epänormaalia ainesten kertymistä verisuoniin. Kun osanen tällaista ateroomaa irtoaa, tuloksena on veritulpan muodostuminen. Sitten sepelvaltimo tai osa siitä tukkeutuu.
Sepelvaltimot ovat pääasialliset verta sydämelle kuljettavat verisuonet, ja siksi tukkeutuminen niissä saa aikaan sen, että veren virtaus vähenee sydämeen. Tämä sitten aiheuttaa ihmiselle niin kutsutun iskeemisen sydänsairauden.
Tämä on suurin syy ACS:n kehittymiseen, mutta on muistettava, että eräät muutkin tekijät voivat olla sen takana. Näihin kuuluvat kaikki seuraavat ongelmat:
- Kawasakin tauti
- nivelreuma
- vamma
- sepelvaltimon tromboosi
- valtimoiden veritulpat
- spontaani sepelvaltimon dissektoituma
- synnynnäiset poikkeamat, jotka aiheuttavat kyseistä sairautta
Miten akuutti koronaaritautisyndrooma voidaan havaita?

Rintakipu on tämän sairauden pääoire, mutta lisäksi potilaalla saattaa ilmetä muitakin merkkejä.
Pääasiallinen oire akuutin koronaaritautisyndrooman kehittymisestä on rintakipu, jota tuntuu tässä tapauksessa rintalastan alueella tai vatsassa. Lisäksi tämä kipu voi levitä muihinkin alueille, kuten esimerkiksi hartioihin, kaulaan tai leukaan.
Kipu on äkillistä ja se muuttuu voimakkaammaksi ajan kuluessa. Usein se etenee kovimmilleen noin 2-5 minuutin kuluttua, mutta jaksot voivat joskus olla tätä enemmän ohimeneviä.
Muita tilan oireita ovat pahoinvointi, oksentelu, vatsakipu sekä huimaus. Lisäksi joillakin potilailla saattaa olla liian alhaista verenpainetta eli hypotensiota, hikoilua, epäsäännöllistä pulssia sekä ihon kalpeutta.
Nuorilla potilailla, iältään 25-40 vuotta, sekä toisaalta ikääntyneillä, yli 75-vuotiailla, kliininen sairauden ilmeneminen voi olla epätarkkaa ja epätyypillistä. Tällöin oireet voivat olla ylävatsan kipu, tunne huonosta ruoansulatuksesta, uupumus tai hetkellinen tajuttomuus.
Lue aiheesta lisää: Sydäninfarkti: riskitekijät, oireet ja hoito
Akuutin koronaaritautisyndrooman diagnosointi
Tyypillisesti koronaaritautisyndrooma diagnosoidaan siinä vaiheessa kun potilaalla on rintakipua ja hänellä epäillään olevan iskemiaa. Näissä tapauksissa lääkäri tekee myös lisää testejä, jotta voidaan selvittää, onko todellakin kyse akuutista koronaaritautisyndroomasta ja kuinka vakavana se ilmenee.
EKG eli sydänfilmi

EKG tai elektrokardiografia on testi, joka on yleisesti ottaen käytetyin valinta sydämeen liittyvissä ongelmissa.
Tämä on lääketieteellinen menetelmä, joka kirjaa ylös sydämen sähköisen aktiviteetin joka kerta kun sydän lyö. Näin se luo graafisen kuvan, jossa voidaan havaita sydämen eteisten ja kammioiden sähköinen stimulaatio (eli sydämen liike).
Jos on mitään syytä epäillä että kyseessä on koronaaritautisyndrooma, lääkärin tulisi ottaa potilaalta sydänfilmi arvioinnin ensimmäisten kymmenen minuutin kuluessa. Jos tulokset ovat epävarmat, mutta on kuitenkin havaittavissa kliinistä todistetta, asiantuntijoiden mukaan lääkärin tulisi ottaa sydänfilmi uudelleen aina 15-30 minuutin välein, jotta arviointia voidaan jatkaa.
Sydämen entsyymit
Lisäksi verinäytteiden avulla lääkärit pystyvät analysoimaan sydämen entsyymejä, jotka kertovat sydänlihaksen nekroosista. Jos sydänlihaksen nekroosin tekijät (troponiinit ja kreatiini-kinaasi, MB-alayksikkö) ovat korkealla, lääkärin tulisi tällöin epäillä sydäninfarktia.
Lääkärin tulisi analysoida näitä tekijöitä ensimmäisen tunnin kuluessa potilaan ollessa arvioitavana.
Jos näitä merkkejä ei kuitenkaan ensimmäisen analyysin aikana ilmene, ei voida silti olla varmoja siitä, että sydänlihaksessa ei ole syntynyt vahinkoa. Siksi lääkärin tulisi toistaa testejä 6-12 tuntia sen jälkeen, kun potilaalla on alkanut ilmetä rintakipua.
Lue aiheesta lisää: Mikä on oikea ensiapu sydänkohtaukseen tai -pysähdykseen?
Sydämen ultraäänitutkimus

Sydämen ultraäänitutkimuksen avulla lääkintähenkilökunta pystyy tutkimaan potilaan sydäntä hyvin tarkasti.
Sydämen ultraäänitutkimus on erittäin suosittu menetelmä potilaan tutkimiseksi, sillä sen avulla saadaan otettua kuvia sydämestä liikkeessä. Siten sen kautta voidaan arvioida sydämen kammioiden terveyttä sekä niiden liikettä, jotta voidaan olla varmoja iskemian läsnäolosta tai sen puuttumisesta.
Lisäksi tällä menetelmällä voidaan arvioida sydämen kokoa ja vahvuuutta, kuten myös sen seinämien kuntoa. Yleisesti ottaen kyseessä on ei-invasiivinen menetelmä, joka ei tuota potilaalle mitään riskiä, sillä siinä hyödynnetään ultraäänitekniikkaa, jotta saadaan aikaan kuvia sydämestä.
Muita testimenetelmiä akuutin koronaaritautisyndrooman diagnosoinnissa
Joskus lääkärit voivat suositella sepelvaltimoiden angiografiaa. Tässä testissä käytetään kontrastitekijää ja röntgensäteitä, jotta voidaan selvittää, miten veri kulkee sydämen lävitse.
Lisäksi lääkärit voivat tehdä muita kokeita, jotta potilaan diagnoosista voidaan varmistua paremmin. Näihin voivat kuulua sydämen rasituskoe, radionuklideja koskeva sydämen rasituskoe sekä rasituskoe sydämen ultraäänitutkimukseen yhdistettynä.
Kaikki lainatut lähteet tarkistettiin perusteellisesti tiimimme toimesta varmistaaksemme niiden laadun, luotettavuuden, ajantasaisuuden ja pätevyyden. Tämän artikkelin bibliografia katsottiin luotettavaksi ja akateemisesti tai tieteellisesti tarkaksi.
- Cabrera S, Serrano I, Sans J, Bardají A. Protocolo diagnóstico del dolor torácico agudo. En: Urgencias. Unidades de dolor torácico. Medicine 2009;10(37)2511-4.
- Fauci, Braunwald, Kasper, Hauser, Longo, Jameson et al. Harrison, principios de Medicina Interna. Vol I-17a Edición. Mc Graw Hill Año 2009:87-91.
- Segura De La Cal, T., Carbonell San Román, S. A., & Zamorano Gómez, J. L. (2013). Síndrome coronario agudo. Medicine (Spain). https://doi.org/10.1016/S0304-5412(13)70608-5
- Sociedad Española de Cardiología. (2017). Proceso asistencial simplificado del síndrome coronario agudo. Sociedad Española de Cardiología. https://doi.org/http://dx.doi.org/10.2139/
- Lee Th, Goldman L. Evaluation Of The Patient With Acte Chest Pain. New England Journal Med 2000;342:1187-95
Tämä teksti on tarkoitettu vain tiedoksi eikä se korvaa ammattilaisen konsultaatiota. Jos sinulla on kysyttävää, konsultoi asiantuntijaasi.







