Keuhkosyövän oireet ja hoito

Keuhkot ovat osa ihmisen hengitysteitä. Ilma, joka pääsee sisään nenän ja suun kautta, kulkeutuu henkitorven kautta molempiin keuhkoputkiin ja lopulta keuhkoihin.
- Kun hengität sisään, keuhkosi täyttyvät ilmasta – näin saat happea.
- Kun päästät tämän ilman pois, kehosi vapauttaa hiilidioksidia.
Keuhkosyöpä voi aiheuttaa kuoleman, ja siten tämä sairaus on syytä havaita jo varhain. Kuinka se sitten kehittyy? Kaikki alkaa soluista, jotka jakautuvat uusia soluja muodostaen. Kun solut vahingoittuvat tai vanhenevat, ne tulevat korvatuiksi toisilla.
Joskus tämä prosessi voi kuitenkin päästä “villiintymään”, ja keho tuottaa liikaa uusia soluja uudistumista varten. Keuhkosyövän kohdalla ei-pienisoluinen syöpä on tavallisin tyyppi, se on kyseessä jopa 70-80 % syöpätapauksia. Toinen keuhkosyövän tyyppi on pienisoluinen syöpä, joka on harvinaisempi.
Lue aiheesta lisää: Opi lopettamaan tupakointi ja puhdista keuhkosi

Riskitekijät
- Tupakoivilla on 90 % suurempi todennäköisyys sairastua keuhkosyöpään.
- Lisäksi tulee muistaa, että passiivinen tupakointi on aivan yhtä haitallista kuin tupakointi itsessään.
- Arsenikin, silikonin tai kromin kaltaisten aineiden hengittäminen on myös riskitekijä keuhkosyövän kannalta.
Diagnoosi

Ei ole mahdollista antaa tarkkaa kliinistä kuvausta keuhkosyövän oireiden havaitsemiseksi, mutta seuraavat oireet ovat kuitenkin tavallisia, vaikkakin ne voivat viitata moneen muuhunkin vaivaan:
- jatkuva tai paheneva yskä
- rintakipu
- hengitysvaikeudet
- verta yskimisen yhteydessä tai ruosteen värinen lima
- jatkuva uupumus
- kurkun käheys
- painon putoaminen ilman mitään selkeää syytä
- tulehdukset, kuten jatkuva keuhkokuume tai keuhkoputkentulehdus
- rinnassa viheltävä ääni
Lisäksi keuhkosyövän levittyä muulle kehoon saattaa ilmetä seuraavia oireita:
- ihon kellastuminen, jos syöpä leviää maksaan
- luukivut
- päänsäryt
- heikkous käsivarsissa ja jaloissa
- huimaus
- halvaukset
- turvonneet imusolmukkeet, johtuen solujen kertymisestä immuunijärjestemään
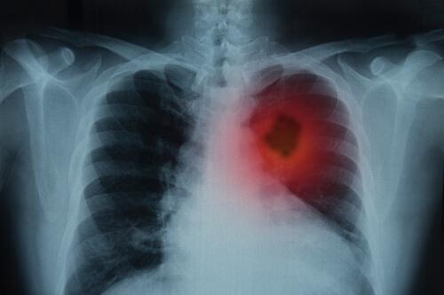
Jos nämä oireet jatkuvat yli kolmen viikon ajan, on hyvin tärkeää käydä lääkärissä ja tehdä rinnan röntgenkuvaus. Tuloksiin perustuen lääkäri voi pyytää tietoja terveydestäsi, tehdä perustutkimuksen sekä teettää laboratoriokokeita.
Lue aiheesta lisää: Rintasyöpä: eri tyypit, oireet ja hoito
Oireiden havaitseminen
On syytä alkaa tutkia asiaa jo ennen kuin oireita ilmenee.
- Fyysinen tutkimus: Lääkäri tarkastelee potilaan terveyttä yleisesti havaitakseen kyhmyjä tai mitä tahansa muuta epänormaalia. Tottumukset ja aikaisemmat sairaudet tai hoidot ovat myös oleellisia.
- Laboratoriokokeet: Verikokeet, virtsanäytteet ja muut kokeet, jotka voivat paljastaa syövän.
- Kuvantaminen: Näin lääkäri voi saada kuvia kehon sisäisistä alueista.
- Perintötekijöiden testaus: Näissä etsitään geneettisiä mutaatioita, jotka voivat liittyä eri tyyppisiin syöpiin.
Hoito

Keuhkosyöpään on tarjolla useita erilaisia hoitoja, ja sopiva ratkaisu riippuu sairauden vakavuudesta ja vahingon laajuudesta. Seuraavat ovat tavallisimmat hoitokeinot:
- Leikkaus: Tässä poistetaan syöpäkudos.
- Kemoterapia: Lääkkeiden käyttö (pillereiden tai suonen sisäisen), jotka vähentävät tai poistavat syövän.
- Sädehoito: Syöpäsoluihon kohdistetaan korkean intensiteetin säteilyä.
- Kohdistettu hoito: Lääkkeiden käyttö syöpäsolujen leviämisen pysäyttämiseksi.
Lue aiheesta lisää: Lievitä keuhkoputkentulehduksen oireita näillä kotihoidoilla
Keuhkosyövän ehkäisy
- Vältä tupakointia ja passiivista tupakointia.
- Lisää hedelmien ja kasvisten syöntiä.
- Urheile säännöllisesti.
- Älä polta puuta kotonasi, sillä se voi vapauttaa haitallisia aineita.
- Jos mahdollista, vältä teollisuusalueita.
- Vähennä alkoholinkäyttöä.
- Käy vuosittain lääkärintarkastuksissa, jotta poikkeavuudet voidaan havaita aikaisin.
Muista, että on aina parempi ehkäistä kuin hoitaa. Syöpää ei voi koskaan ehkäistä 100 prosentin varmuudella, mutta terveelliset elämäntavat kuten ruokavalio, liikunta ja paheiden (tupakointi, alkoholi) välttäminen voivat auttaa siinä suuresti.
Keuhkot ovat osa ihmisen hengitysteitä. Ilma, joka pääsee sisään nenän ja suun kautta, kulkeutuu henkitorven kautta molempiin keuhkoputkiin ja lopulta keuhkoihin.
- Kun hengität sisään, keuhkosi täyttyvät ilmasta – näin saat happea.
- Kun päästät tämän ilman pois, kehosi vapauttaa hiilidioksidia.
Keuhkosyöpä voi aiheuttaa kuoleman, ja siten tämä sairaus on syytä havaita jo varhain. Kuinka se sitten kehittyy? Kaikki alkaa soluista, jotka jakautuvat uusia soluja muodostaen. Kun solut vahingoittuvat tai vanhenevat, ne tulevat korvatuiksi toisilla.
Joskus tämä prosessi voi kuitenkin päästä “villiintymään”, ja keho tuottaa liikaa uusia soluja uudistumista varten. Keuhkosyövän kohdalla ei-pienisoluinen syöpä on tavallisin tyyppi, se on kyseessä jopa 70-80 % syöpätapauksia. Toinen keuhkosyövän tyyppi on pienisoluinen syöpä, joka on harvinaisempi.
Lue aiheesta lisää: Opi lopettamaan tupakointi ja puhdista keuhkosi

Riskitekijät
- Tupakoivilla on 90 % suurempi todennäköisyys sairastua keuhkosyöpään.
- Lisäksi tulee muistaa, että passiivinen tupakointi on aivan yhtä haitallista kuin tupakointi itsessään.
- Arsenikin, silikonin tai kromin kaltaisten aineiden hengittäminen on myös riskitekijä keuhkosyövän kannalta.
Diagnoosi

Ei ole mahdollista antaa tarkkaa kliinistä kuvausta keuhkosyövän oireiden havaitsemiseksi, mutta seuraavat oireet ovat kuitenkin tavallisia, vaikkakin ne voivat viitata moneen muuhunkin vaivaan:
- jatkuva tai paheneva yskä
- rintakipu
- hengitysvaikeudet
- verta yskimisen yhteydessä tai ruosteen värinen lima
- jatkuva uupumus
- kurkun käheys
- painon putoaminen ilman mitään selkeää syytä
- tulehdukset, kuten jatkuva keuhkokuume tai keuhkoputkentulehdus
- rinnassa viheltävä ääni
Lisäksi keuhkosyövän levittyä muulle kehoon saattaa ilmetä seuraavia oireita:
- ihon kellastuminen, jos syöpä leviää maksaan
- luukivut
- päänsäryt
- heikkous käsivarsissa ja jaloissa
- huimaus
- halvaukset
- turvonneet imusolmukkeet, johtuen solujen kertymisestä immuunijärjestemään
Jos nämä oireet jatkuvat yli kolmen viikon ajan, on hyvin tärkeää käydä lääkärissä ja tehdä rinnan röntgenkuvaus. Tuloksiin perustuen lääkäri voi pyytää tietoja terveydestäsi, tehdä perustutkimuksen sekä teettää laboratoriokokeita.
Lue aiheesta lisää: Rintasyöpä: eri tyypit, oireet ja hoito
Oireiden havaitseminen
On syytä alkaa tutkia asiaa jo ennen kuin oireita ilmenee.
- Fyysinen tutkimus: Lääkäri tarkastelee potilaan terveyttä yleisesti havaitakseen kyhmyjä tai mitä tahansa muuta epänormaalia. Tottumukset ja aikaisemmat sairaudet tai hoidot ovat myös oleellisia.
- Laboratoriokokeet: Verikokeet, virtsanäytteet ja muut kokeet, jotka voivat paljastaa syövän.
- Kuvantaminen: Näin lääkäri voi saada kuvia kehon sisäisistä alueista.
- Perintötekijöiden testaus: Näissä etsitään geneettisiä mutaatioita, jotka voivat liittyä eri tyyppisiin syöpiin.
Hoito

Keuhkosyöpään on tarjolla useita erilaisia hoitoja, ja sopiva ratkaisu riippuu sairauden vakavuudesta ja vahingon laajuudesta. Seuraavat ovat tavallisimmat hoitokeinot:
- Leikkaus: Tässä poistetaan syöpäkudos.
- Kemoterapia: Lääkkeiden käyttö (pillereiden tai suonen sisäisen), jotka vähentävät tai poistavat syövän.
- Sädehoito: Syöpäsoluihon kohdistetaan korkean intensiteetin säteilyä.
- Kohdistettu hoito: Lääkkeiden käyttö syöpäsolujen leviämisen pysäyttämiseksi.
Lue aiheesta lisää: Lievitä keuhkoputkentulehduksen oireita näillä kotihoidoilla
Keuhkosyövän ehkäisy
- Vältä tupakointia ja passiivista tupakointia.
- Lisää hedelmien ja kasvisten syöntiä.
- Urheile säännöllisesti.
- Älä polta puuta kotonasi, sillä se voi vapauttaa haitallisia aineita.
- Jos mahdollista, vältä teollisuusalueita.
- Vähennä alkoholinkäyttöä.
- Käy vuosittain lääkärintarkastuksissa, jotta poikkeavuudet voidaan havaita aikaisin.
Muista, että on aina parempi ehkäistä kuin hoitaa. Syöpää ei voi koskaan ehkäistä 100 prosentin varmuudella, mutta terveelliset elämäntavat kuten ruokavalio, liikunta ja paheiden (tupakointi, alkoholi) välttäminen voivat auttaa siinä suuresti.
Tämä teksti on tarkoitettu vain tiedoksi eikä se korvaa ammattilaisen konsultaatiota. Jos sinulla on kysyttävää, konsultoi asiantuntijaasi.







